The Perioscopy System, Part 2: Case studies by John Y. Kwan, DDS
By John Y. Kwan, DDS, and Suzanne Newkirk, RDH
Case #1: “Cleaning and disinfecting” #12 by Dr. John Kwan
Diagnosis: localized advanced periodontal disease. Initial probing depth 8mm MB, ML Treatment: Micro Ultrasonic/endoscopic debridement with adjunctive antibiotics Azithromycin (Zithromax) 500mg qd x 3d).
Case #1: “Cleaning and disinfecting” #12 by Dr. John Kwan
Diagnosis: localized advanced periodontal disease. Initial probing depth 8mm MB, ML Treatment: Micro Ultrasonic/endoscopic debridement with adjunctive antibiotics Azithromycin (Zithromax) 500mg qd x 3d).
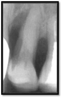
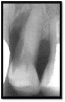
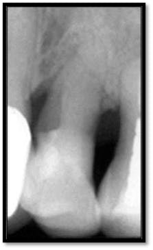
Initial perio charting (above left), Pretreatment radiograph (above right)
As you can see, the extent of bone loss on the mesial is significant, almost to the apex.14 months post treatment:
As you can see, the extent of bone loss on the mesial is significant, almost to the apex.14 months post treatment:
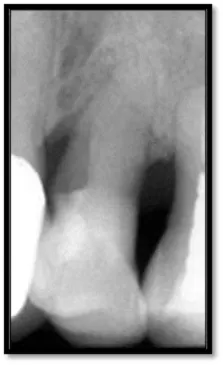
MB/ML #12 now probes 3mm (above left), Notice the nice bone fill on the mesial surface (above right)
Case #2: “Cleaning and disinfecting” #’s 29-31 by Dr. John Kwan
Diagnosis: Advanced periodontal disease. Initial probing depths 3-11mmTreatment: Micro Ultrasonic/endoscopic debridement with adjunctive antibiotics Azithromycin (Zithromax) 500mg qd x 3d).
Case #2: “Cleaning and disinfecting” #’s 29-31 by Dr. John Kwan
Diagnosis: Advanced periodontal disease. Initial probing depths 3-11mmTreatment: Micro Ultrasonic/endoscopic debridement with adjunctive antibiotics Azithromycin (Zithromax) 500mg qd x 3d).
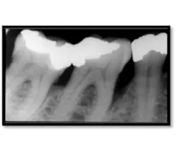
Initial perio charting (above left), Pretreatment radiograph (above right)
As you can see, calculus is visible on the mesial surfaces of both molars and the extent of bone loss mesial of # 30 is significant. 18 months post treatment:
As you can see, calculus is visible on the mesial surfaces of both molars and the extent of bone loss mesial of # 30 is significant. 18 months post treatment:
Pocket depths are now 2-5mm (above left), Notice the nice bone fill on the mesial of both molars (above right)
A one-year follow up of a retrospective analysis of patients receiving Micro Ultrasonic Endoscopic Periodontal Debridement shows a dramatic reduction in probing depths in all types of teeth, particularly in deeply pocketed posterior teeth, as the above case demonstrates. Some perioscopy users incorporate adjunctives and or other therapy into their non-surgical protocol, such as Arestin, Emdogain (an enamel matrix derivative), and lasers.
A one-year follow up of a retrospective analysis of patients receiving Micro Ultrasonic Endoscopic Periodontal Debridement shows a dramatic reduction in probing depths in all types of teeth, particularly in deeply pocketed posterior teeth, as the above case demonstrates. Some perioscopy users incorporate adjunctives and or other therapy into their non-surgical protocol, such as Arestin, Emdogain (an enamel matrix derivative), and lasers.
Dr. Kwan is a board-certified periodontist and maintains a private practice providing periodontal and implant care in Oakland/Berkeley, Calif. He is an Associate Clinical Professor at the University of California, San Francisco School of Dentistry. Dr. Kwan is also the President/CEO of Perioscopy Incorporated.
Ms. Newkirk graduated from the University of Alaska, Anchorage, in 1981 and has dedicated the last 30 years to excellence in clinical dental hygiene and periodontics. Suzanne is a periodontal therapist, dental hygiene coach and mentor. She is also a Perioscopy instructor and speaker. Ms. Newkirk is a member of the American Dental Hygienists' Association and Washington State Dental Hygienists' Association.










