The Perioscopy System, Part 4: Case studies by Robert Gottlieb, DDS, and Suzanne Newkirk, RDH
By John Y. Kwan, DDS, and Suzanne Newkirk, RDH
Case #5: Perioscopy and LPD (laser pocket disinfection) with an Nd:YAG by Robert Gottlieb, DDS, and Suzanne Newkirk, RDH
Case #5: Perioscopy and LPD (laser pocket disinfection) with an Nd:YAG by Robert Gottlieb, DDS, and Suzanne Newkirk, RDH
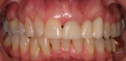
Probing depths 3-9mm with generalized BOP
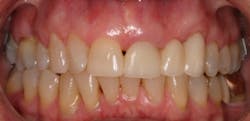
9 months post treatment
9 months post treatment
Probing depths 3-4mm, no BOP
Provisional bridge 9-11 placed 3½ months post treatment
Dr. Bob Gottlieb received his Certificate in Periodontics from the University of Washington. Practicing for 35 years, he was voted one of Seattle’s Best Dentists. Dr. Gottlieb mentors and directs numerous study clubs.
Dr. Kwan is a board-certified periodontist and maintains a private practice providing periodontal and implant care in Oakland/Berkeley, Calif. He is an Associate Clinical Professor at the University of California, San Francisco School of Dentistry. Dr. Kwan is also the President/CEO of Perioscopy Incorporated.
Ms. Newkirk graduated from the University of Alaska, Anchorage, in 1981 and has dedicated the last 30 years to excellence in clinical dental hygiene and periodontics. Suzanne is a periodontal therapist, dental hygiene coach and mentor. She is also a Perioscopy instructor and speaker. Ms. Newkirk is a member of the American Dental Hygienists' Association and Washington State Dental Hygienists' Association.








