Case study: perioscopy-only use for a nonsurgical treatment plan
Case #1 reflects a non-surgical treatment plan and outcome utilizing only Perioscopy based on clinical findings and the patient’s low risk.
Case 1:
Female, age 47
No health issues, no social habits
Medication: Vivelle (Estradiol Transdermal) dot patch for hormone replacement therapy
PreViser Risk Analysis:
Risk 2
Disease state 9
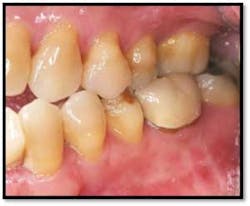
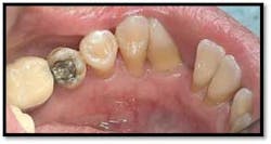
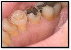
Generalized 4-5mm pockets with BOP
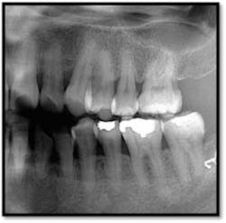
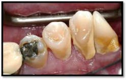
UL/LL reflected in a mirror and UL/LL radiograph
Treatment: FM Perioscopy completed in two, 2-hour sessions with local anesthetic and micro ultrasonics. No hand instruments are necessary during Perioscopy.
Note: When instrumenting “blindly,” the end point is unknown and debris is left behind. Visualization via the Perioscopy System ensures effective treatment is rendered because the bioburden is completely removed. Ultrasonic instrumentation is not only effective and efficient for thorough bacterial removal, but is an easier therapy to tolerate for the patient, with less sensitivity post treatment.9 months Post Treatment:
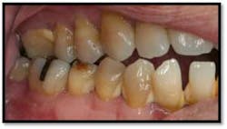
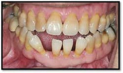
Tissue is light pink, tight and firm. All pockets are 1-3mm, no BOP
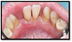
LR lingual post Tx and LL lingual post
Tissue is light pink, tight and firm. Pockets 1-3mm no BOP
Charting shows that all pockets are now generalized 1-3 mm with no BOP
Conclusion:
The patient is thrilled with her outcome and now has a stable dentition.
She is ready to move forward with orthodontia and will continue with periodontal supportive therapy every 3 months.
To read another article in RDH eVillage FOCUS from Suzanne Newkirk, go to Newkirk.

















