Performing a one-minute crown buildup
Time is of the essence in any dental practice. With this in mind, sometimes procedures such as crown buildups — which require time-intensive layering of restorative material — can seem tedious and inefficient. However, with the recent introduction of 3M™ ESPE™ Filtek™ Bulk Fill Flowable Restorative, I have found an optimal way to make crown buildup procedures fast and effective. Using this new product, the restorative placement and light-curing steps can be completed in approximately one minute with the following technique:
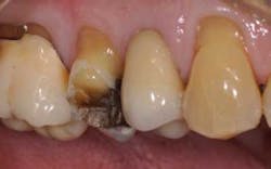
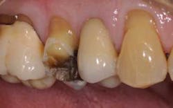
- Remove the old restoration and any areas of decay.
- Apply 3M™ ESPE™ Adper™ Scotchbond™ SE Self-Etch Adhesive and light cure for 10 seconds with a light such as the Elipar™ S10 LED Curing Light.
- Place a small layer of Filtek Bulk Fill flowable restorative and follow with a one- to two-second light cure. This brief light cure has a quick-set effect on the restorative material and helps freeze it into place. The remainder of the buildup can then be completed with the same steps of placing it in small layers, followed with quick light-curing bursts. When the total thickness is achieved, light-cure the build-up as indicated in the IFUs.
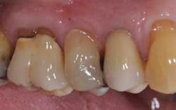
- Once the entire buildup has been completed, a longer light cure can be performed to set the entire area.
In this technique, the short light curing stops the flow of the material, making it easy to control and facilitate incremental building. In some cases, using this procedure can help eliminate the need to place a matrix band.
Filtek Bulk Fill flowable restorative is an ideal material for this procedure; its easy handling helps provide good adaptability without being too fluid — a common complaint with other bulk fill restorative materials. It can also be placed in one 4 mm increment if desired. Because it has less shrinkage stress than other flowable materials, it can be used predictably in these increments. As shown here, even if the material is placed in small increments, the quick light-curing technique means the procedure can be completed efficiently. Data shows that this restorative material is both strong and wear resistant, so it can also be used with confidence that it will last over the long term.
This flowable from the most trusted restorative name in dentistry is an ideal buildup material that enables quick and simple use and provides lasting strength to support the final crown.
Author bio
Chris Marchack, DDS, a prosthodontist, is an associate clinical professor at the University of Southern California and adjunct assistant professor at the University of Pennsylvania, School of Dental Medicine, Department of Preventive and Restorative Sciences. He serves on the editorial board of the Journal of Prosthetic Dentistry and the International Journal of Oral and Maxillofacial Implants. Dr. Marchack maintains a private practice in Pasadena, Calif.



