Periodontitis and a perfect dental laser for the LANAP protocol: Making a direct effect on patient care and profit
The marriage of technology and dentistry has produced significant improvements in patient care. The most rewarding investment in dental technology I’ve made over the years is the PerioLase® MVP-7™ and LANAP® protocol. No other investment — including digital radiography, practice management software, or biologics — has had such a direct effect on my patients’ care and my dental office’s profit. If your focus is prevention and improvement in the health and support of either teeth or dental implants, then the LANAP protocol will be easy to incorporate into your practice. Goodwill, case acceptance, and less patient fear are other important aspects of the LANAP protocol that cannot be underestimated.
Simply stated, the LANAP protocol is a series of steps that allows surgical access to the supporting structures of the teeth via an incision made with the PerioLase MVP-7. Thorough debridement of the root surface with piezo scalers is accomplished along with bone modification. Hemostasis for control of bleeding and flap adaptation is then done with the PerioLase MVP-7. Occlusal adjustment is also part of the protocol. To fully learn the details of the protocol, Millennium Dental Technologies offers on-site training with direct patient care.
Three cases come to mind that demonstrate the many benefits of the PerioLase MVP-7 and LANAP protocol. They demonstrate the wide range of patients who can benefit from the LANAP protocol.
Case No. 1 — Mrs. High Anxiety
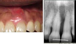
A 67-year-old African American female presented in 2001. Her diagnosis was chronic periodontitis and diabetes. Fear and anxiety resulted in refusal of osseous surgical care for bone regeneration and pocket reduction. Scaling was performed and the patient did not return for five years. She then presented with an abscess on No. 9 with significant bone loss that was not evident five years ago. Tooth No. 9 tested vital. The patient accepted the LANAP protocol. Treatment was done in January 2012.
Mrs. High Anxiety before the LANAP protocol.
Case No. 2 — Miss Novice
A 12-year-old African American female presented for treatment of localized rapidly progressive periodontitis on No. 19 and No. 30 prior to orthodontic treatment. Prior dental care included prophys and sealants. The LANAP protocol was performed at one appointment with local anesthetic.
Miss Novice before the LANAP protocol.
Case No. 3 — Mr. First Time
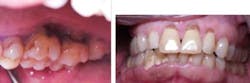
A 79-year-old African American male was diagnosed with chronic periodontitis. He had no prior dental care and presented with full dentition, no caries, and advanced bone loss with tooth mobility in molar areas. His chief complaint was a loose upper right tooth. The LANAP protocol was performed over two appointments with local anesthetic. Treatment was done in August 2012.
Mr. First Time before the LANAP protocol.
Results
Outcomes for all cases have been similar to the results I would have expected from the standard protocol of scaling followed by surgical care inclusive of osseous recontouring, bone grafting, membrane placement, and biologics for the enhancement of regeneration. Bone regeneration of varying amounts occurred in vertical defects. The LRPP case is three years post LANAP protocol and probing depths recorded show pocket reduction remains.
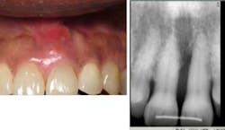
Mrs. High Anxiety has returned for all postop appointments this time around. Her abscess has resolved and a small amount of bone regeneration is noted on the eight-month postop radiograph. If the bone fill is not better at one year, a retreatment of the site will be suggested. Tissue height, which was a major esthetic concern, has remained at an acceptable level for the patient.
Mrs. High Anxiety after treatment.
Miss Novice showed radiographic evidence of bone regeneration seven months post LANAP. She completed orthodontics and shows stable bone three years post LANAP.
Miss Novice after the LANAP protocol.
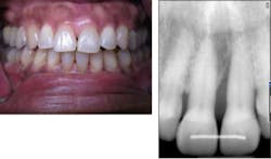
Mr. First Time is very pleased with his care despite his initial trepidation. Tooth mobility has lessened, and sensitivity is minimal despite the significant amount of calculus removal that was done and the resulting root exposure. The tooth with +3 mobility was removed. The patient realizes other teeth may need extraction, but at this time no additional extractions are planned. (November 2012)
Mr. First Time after treatment.
Discussion
To be able to complete care in a short span of time with minimal trauma and postop morbidity is a significant improvement to my prior approach. Most importantly, treatment has not resulted in increased fear of dental care. The physical and mental stress on both the clinician and patient is less than with conventional flap/regenerative surgery.
For dental practices that serve patient populations with the greatest prevalence of periodontal diseases, the LANAP protocol is ideal. It provides the benefit of minimally invasive surgical care without compromising the desired outcome of bone regeneration and new periodontal ligament attachment. If additional surgical care is needed, patients are more accepting based on their first experience with LANAP. The return on investment of the PerioLase MVP-7 allows for affordable surgical treatment of periodontal diseases.







