Conservative gum disease treatment helps patient avoid dental surgery
March 5, 2013
5 min read
ST. LOUIS, MO — March 4, 2013 — Dr. Craig Buntemeyer and hygienists Selena Murtaugh and Candice DeHues of Tulsa, Okla., received the Orkos Award for successfully treating a patient with severe gum disease using minimally invasive dentistry.
The patient had not seen a dentist for several years and presented with bleeding gums, deep pockets, and very inflamed tissue. The conservative and effective minimally invasive approach helped the patient avoid surgery and arrested the disease.
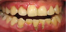
The Orkos Award was founded by Perio Protect, LLC to encourage and recognize the contributions of individual dental professionals in the fight against gum disease. According to Dr. Tanya Dunlap, program development director of Perio Protect, “Orkos, translated from ancient Greek, means ‘Hippocratic Oath,’ and this award celebrates those in the dental field who share our passion and our vision for effective, minimally invasive oral care.” To receive the award, doctors and hygienists submit documentation demonstrating significantly improved clinical outcomes for a patient after treatment. This case was particularly noteworthy because the dental team helped the patient avoid surgery. While the earliest possible intervention can help arrest gum disease nonsurgically, once the disease has progressed to such a serious state as this patient’s condition, surgical intervention is a standard option. For moderate cases, the most common treatment involves intensive cleaning of the teeth above and below the gum line, a repetitive practice (every three to six months) that often requires a local anesthetic. While these treatments may be necessary, both are understandably unpopular with patients, many of whom would rather leave their disease untreated than undergo such invasive procedures. Perio Protect offers a minimally invasive approach designed to reduce the need for repetitive invasive procedures. The method combines professional dental cleanings with a prescription Perio Tray® delivery of medication below the gum line where bacterial communities thrive. The comfortable customized tray is used daily at home between office visits to effectively apply medication. Medication, when delivered with the Perio Tray, fights the infections that cause the disease and, as in this case, may help patients avoid extensive invasive procedures (Figure 1).
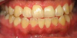
Figure 1 With any treatment plan, it is important for patients and the dental team to work together. Dr. Buntemeyer and his hygiene team discussed treatment options with the patient. The patient elected to start the Perio Protect Method® to treat the gum disease. The prescription trays were fabricated and medication (Perio Gel with 1.7% hydrogen peroxide) were delivered on February 28. After three weeks of use, the patient returned for a cleaning that removed bacterial plaque and calculus above the gum line. He was given revised instructions for Perio Tray usage and reappointed for a cleaning with anesthetic to clean and treat the tooth surfaces and periodontal pockets below the gum line. The patient returned August 30 for his routine maintenance and checkup and had visible improvements (Figure 2).
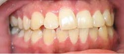
Figure 2 According to Dr. Buntemeyer, "There are several advantages using the Perio Protect Method for the dental team, as well as increased comfort for the patient. Using the Perio Trays for the two- to three-week period before any cleaning was done made the initial cleaning above the gumline significantly easier for the hygienist, due to the softening effect the Perio Gel has on the calculus. With Perio Gel," Dr. Buntemeyer continues, "there is less bleeding and inflammation, making the procedure easier for the the hygienist, and the patient has almost no discomfort." At his most recent periodontal maintenance visit, the patient has maintained his results (Figure 3). Bleeding sites were reduced from 100% to 27%. His pocketing over 3 mm was reduced from 74% to 25%. With continued routine hygiene appointments and good home care, the doctor, the hygienists, and the patient are looking forward to maintaining or even improving on these excellent results.
Figure 3 Treatment is crucial. Gum disease has been described by the U.S. Surgeon General as a silent epidemic, starting with an inflammatory response to a bacterial infection in the gum tissue. Millions of Americans have it. In fact, the Centers for Disease Control estimate that half of all Americans have it. The disease is not only the leading cause of adult tooth loss but has also been linked to heart disease, upper respiratory disease, and other inflammatory infections. Dr. Buntemeyer and his team take the disease seriously and advocated for early, noninvasive intervention whenever possible. According to the doctor, “We do everything possible to make patients comfortable, while maintaining their healthy smiles.”
Dr. Buntemeyer has been in practice since 1978. He values advanced dental technology that is balanced with professional expertise and exceptional patient communication. Perio Protect confers this award for his team’s efforts to educate the patient, for their expertise and their excellent nonsurgical treatment. Additional information about Dr. Craig Buntemeyer’s and his dental team can be found at www.tulsagreatsmiles.com. Orkos Award winners and their case studies (including this one), with before and after pictures and periodontal probings are posted at www.theorkosaward.com. To learn more about Perio Protect® go to www.perioprotect.com.
About the Author
Sign up for our eNewsletters
Get the latest news and updates







