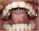
Prolonged thumb-sucking can cause a dental and even a skeletal open bite
Many of us can picture this scenario: a crying child driving you and everyone around you to the brink of insanity. What finally gets the child to stop? Sucking happily on his or her thumb. But this temporary relief can have serious consequences.
RELATED |Pacifiers and thumb sucking
Most children stop sucking their thumb by 2 and 1/2 years of age, and thumb-sucking is even considered normal until age 3. However, when the finger habit persists beyond the toddler years and into the adolescent years, there can be significant effects on the teeth, gums, jaws, and even facial form.
Prolonged thumb-sucking turns into a habit that can cause a dental and even a skeletal open bite. If the habit ceases while the child is still growing, the dental open bite can self-correct, but sometimes the help of a dentist or an orthodontist is required to correct the position of the teeth and align the jaws. Oftentimes the actual thumb-sucking may stop, but the child develops a tongue-thrusting habit while eating, speaking, and swallowing. This tongue-thrusting then perpetuates the deleterious force on the dentition and jaws. If the open bite is not corrected while the child is growing, then jaw surgery may be required to correct the bite.
RELATED |Ankyloglossia (tongue tie) release using dental lasers
It is important to note that this is a collaborative effort by the dental professional, parent, and patient in order to break the habit and prevent some of the ill effects and eventual jaw surgery.



