Endodontic case study: Hybrid technique on 90-degree curve
Clinician: Nathaniel Behrents, DDS, MS; Fayetteville, AR
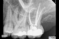
Description of the tooth, its position, and its root morphology: No. 15. Buccal inclination with four canals and the apical third curved slightly over 90 degrees to distal.
Diagnosis: Irreversible pulpitis with long roots and greater than 90-degree curvature.
Technique: To navigate a long 90-degree curve, Dr. Behrents took a hybrid approach: ProTaper® Universal files, Lexicon® C-Files, PathFiles, and PROTAPER NEXT™ files.
Dr. Behrents used a ProTaper® Universal S1 shaping file to begin coronal shaping after achieving patency with a #10 Lexicon® C-File. He proceeded through the PathFile® sequence, using all three files to length, and followed with the ProTaper Universal S2 to two-thirds length.
Dr. Behrents then began the PROTAPER NEXT sequence using the X1 and X2 to length in the MB1 and DB canals, while maintaining patency with the #10 Lexicon C-File. Because the MB2 joined the MB1 at midroot, it was instrumented with the X1 only.
He instrumented the P canal using the PROTAPER NEXT X2, X3 and X4. The apical segment of the P canal was finished by hand using a 20/08 GT® hand file.



