The role of tooth movement for aligning gingival margins in preparation of cosmetic restorations
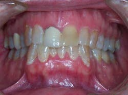
There is nothing like a wedding to expose a lifelong “blind spot.” That is especially the case when it’s your only daughter who’s getting married. Lori had let her discolored tooth fade into the background of her life ... until her daughter came home with the good news. It’d been a long time since she had felt confident smiling, and she was going to do something about the ugly front crown before the big day. See Fig. 1.
Fig. 1: Close-up smile
She figured it would be an easy fix, maybe a couple of weeks at the most. It was a complete shock to Lori when her dentist informed her that she would need 12 to 18 months of braces before he could even begin working on the crown.
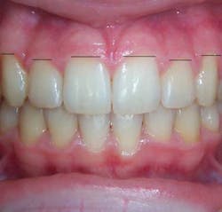
When patients present with misaligned gingival margins, orthodontics is a common treatment modality used to align the margins prior to cosmetic restorations. Fig. 2 displays ideal gingival level alignment in the maxillary anterior. Note how the margins of the upper central incisors are typically at the same height as the canines and the lateral incisors approximately 0.5 mm below that level.
Fig. 2: Ideal gingival margin levels
In the absence of periodontal disease, the position of gingival margins will correlate with the degree and direction of tooth movement. In Lori’s case, the goal was to intrude the maxillary central incisors with clear aligner treatment in order to raise the gingival margins. Note the virtual Invisalign set up in Figs. 3 and 4.
Another consideration to keep in mind when aligning gingival margins in anticipation of placing cosmetic restorations is the common presence of irregular incisal edges at the completion of orthodontic treatment. See Fig. 4 above. The patient should be made aware that this is a temporary situation preceding the placement of final restorations.
Although interdisciplinary dentistry often involves extra procedures and an increased treatment time, we can achieve an improved esthetic result that would not be possible with restorative treatment alone. Orthodontic treatment facilitated placement of proportionate veneers with improved gingival margin alignment.
In the end, Lori’s dentist was able to provide her with an esthetic outcome that she never felt was possible. See before-and-after photos in Figs. 5, 6, 7, and 8. For the first time in decades, she loved her smile and she proudly displayed her newfound confidence as she walked her daughter down the aisle.
ADDITIONAL READING |Orthodontics: It's not just cosmetics









