Teeth whitening with predictable science: a case study
History
KöR Whitening was originally marketed as Deep Bleaching by founder Dr. Rod Kurthy, an Orange County, Calif.-based dentist and teeth whitening guru. With more than 30 years of teeth whitening research experience, Dr. Kurthy eventually developed his whitening system to be called KöR Whitening, manufactured by his company, Evolve Technology. After decades of research on the science of teeth whitening, Dr. Kurthy perfected KöR to become the standard go-to system for whitening simple and challenging cases.
How tooth whitening is marketed
When people think of professional tooth whitening performed at a dental office, it is assumed that teeth need to become whitened in-office first. Most associate a product with an hour-long session of in-office hydrogen peroxide placement with or without a light source as the standard method of whitening teeth. Chairside in-office whitening as the first step followed by take-home trays delivered via a nonrefrigerated whitening system with an alginate material created in a dental office as the second step has now become the norm for how tooth whitening is marketed.
RELATED READING |Landmark UK decision keeps whitening in the hands of dentists
KöR Whitening and the science behind it refutes this normalcy. With KöR, the first step is to have patients wear at-home trays for 14 to 21 nights with a unique carbamide peroxide system. The second step (KöR-Max) is a one-hour, in-office, chairside treatment with hydrogen peroxide.
The lack of detail with alginate impressions
Half of the science with KöR is the unique custom bleaching trays that are made using a detailed impression process; the other half of the science is the actual whitening product. Conventionally, in-office trays are made using an alginate impression poured up in the dental office lab via vacuum suckdown. After the models have set, an assistant cuts the whitening trays to the anatomy of the stone model. The alginate-based impressions almost never capture all of the detailed anatomy of the teeth, gumline, crevices, and sulci. The trays are cut by the assistant, but even with precision may not adequately capture every nook and cranny of the dentition and the crevices between them. When patients wear alginate-based trays with a standard at-home bleaching gel, in most instances an adequate seal is not created. The whitening gel gets washed out of the trays within several hours, if not earlier. Even if most of the saliva is blocked out with the precision of whitening trays, sulcular fluid can seep in and wash out the whitening gel that was inserted in the tray.
The KöR impression trays are taken with a PVS material and then ground out to create a smooth, custom tray. Specific acrylic burs are used to ground out dentition, with varying types depending if the teeth are located in the posterior or anterior.
A light-body PVS is then taken to capture the detailed anatomy of all the teeth, the sulci, gumline, crevices, facial, and occlusal surfaces. Compare the anatomy captured with the light-body/heavy-body impression with an alginate impression.The detail of the two-step heavy-body groundout then light-body impression captures the detailed anatomy of the dentition, sulci, and crevices, compared to alginate impressions which do not capture the detailed anatomy of the oral cavity. The discrepancy in detail can be seen once the bleaching trays are fabricated.
Alginate bleaching trays vs. KöR fabricated traysWhitening trays made by alginate and cut in a dental office lab do not capture the detailed anatomy of the sulci, gumline, or dentition. Often bubbles are captured in the impression, become part of the stone model, and can ultimately become part of the bleaching tray. The trays fabricated via vaccum suckdown in a dental office lab normally are not cut along the cervical edge of the dentition to capture the crevices and gumline. If the trays are not cut to the gumline, they may allow saliva and sulcular fluid to seep in. If a broad base is formed, even more saliva and oral cavity fluid will seep in while worn. Compare to the photo below demonstrating the Evolve Tech fabricated KöR trays.
Bleaching trays fabricated by KöR’s lab techs off of the detailed impressions are cut to the crevice of the gumline. The thickness of the trays increases from the cervical aspect to the occlusal. I refer to the detailed KöR trays as “Superman Costume” for the teeth. Oral cavity fluid, saliva, and sulcular fluid does not seep in the KöR fabricated trays. Thus the whitening gel stays in the trays for the entirety of the time that the trays are worn … up to eight hours. The specific, detailed trays made for KöR are half of the science behind the effectiveness of KöR Whitening.
Understanding the importance of blocking out saliva and sulcular fluid is imperative. KöR trays are sealed not to allow saliva or any other oral cavity fluid to seep in to wash out the bleaching material.
The other difference with KöR
KöR Whitening has redefined the science of teeth whitening because of …
- The superior seal provided with the custom, unique trays
- The refrigerated whitening at-home whitening gel manufactured by Evolve
In my opinion, KöR Whitening’s bleaching material is unlike any other whitening agent. It is manufactured refrigerated, shipped with cold packs, and refrigerated upon delivery. It’s almost as if it is an organ, with the strictest shipping standards of maintaining a cool temperature. The whitening material is always refrigerated, which allows ideal conditions for whitening.
The refrigeration is part of the uniqueness of the whitening gel. The carbamide peroxide is designed not to have excess anti-fluid agents to ensure that the major component in the bleaching material is to whiten teeth.
Other bleaching agents do not contain pure whitening agents; they are packed with anti-saliva and anti-fluid agents. Other whitening products do not have pure whitening agent properties because of these fillers. Many other bleaching gel manufacturers do not demand the strict seal with bleaching trays. When a percentage of the whitening gel is comprised of anti-fluid agents, and a limited amount of the whitening gel is actually made up of pure whitening factors, the amount of stains removed is limited and the time the gel is kept in the trays is limited.
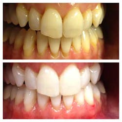
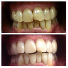
Dr. Iman Sadri’s KöR before-and-after cases
Patient M.M., a woman in her mid to late 30s, came to me wanting to do a one-hour, in-office procedure. However, after educating her that teeth whitening occurs when stains deep in the teeth’s core have to be removed first, she decided to try KöR. She wore the KöR trays for 23 consecutive evenings followed by one in-office treatment.Patient R.R., a gentleman in his 50s, came to me after hearing about KöR Whitening. We took custom impressions. The patient wore KöR for 30 consecutive evenings, followed by a one-hour, in-office whitening procedure. Mr R.R. also eventually went from grey-yellow teeth to pear white. He also ended up getting a full-mouth debridement to remove the plaque and calculus from the lower anterior dentition.
Patient A.K. came for a routine dental cleaning and presented an interest in teeth whitening. The patient wore custom KöR trays for 28 consecutive evenings, followed by a one-hour, in-office teeth whitening session. The brightness of the light created an appearance of greater brightness with the dentition.
Note the difference along the cervical of No. 22 in shade where the bleach did not reach.
Stains from food/drink/debris over decades darken teeth
Stains that can build into teeth over time include anything that can stain a white shirt. Common foods include, but are not limited to, red wine, coffee, chips, soda, berries, juices, sauces, and sports drinks.
Because it has taken decades to build up stains, they aren’t going to be removed in a one-hour, in-office whitening session and revert back to when the teeth were erupted. The stains need to be removed over time.The science of whitening teeth
Just as dental professionals become well versed in the science of materials and why certain cements work for certain restorations, as an example, the process of teeth whitening also relies on predictable science. Teeth become their color due to stains that are built up over time. As patients age, larger stain molecules become clumped together in the microstructure of teeth. These stain molecules that have become chain links need to be broken down and removed.
Tooth whitening depends on bleaching factors to penetrate deeply within the microstructure of teeth. It takes substantial, continuous time for effective removal of micro-debris. If there are many stains in the way of the free radical to penetrate deep in the tooth to remove large chains of stain molecules, teeth will become white. Single-visit whitening sessions do not allow for adequate removal of stains.
Sensitivity
Of the multitude of cases that I have treated, no patients have experienced any sensitivity lasting more than one day. KöR comes with desensitizers that are applied daily.
Conclusion
Discolored teeth have attained a yellow discoloration over time. Nevertheless, stains need to be removed over time. KöR Whitening works by allowing a tight seal with trays worn at night for several weeks first. The tight seal with the KöR Whitening Gel (refrigerated at all times) allows for the science behind the product. The whitening gel stays on the teeth removing the surface stains and deep stain molecules over the several week period. Optimum conditions are created to allow maximum teeth whitening with the proper environment for peroxide to be broken down in its most optimum state.
Peroxide gel with conventional at-home bleaching trays loses the majority of its effectiveness after only 25 to 30 minutes. That is not enough time to allow for removal of accumulated micro-debris from tooth structure. The short duration of action is due to the loss of whitening gel from the trays due to an inadequate seal, in addition to contamination from saliva and sulcular fluid into the bleaching trays.
KöR whitening allows for a proper seal so the whitening gel can remain on the dentition for up to eight hours each night. After being worn for two to three weeks, most large stains are removed properly over time. Get to the KöR of the teeth and remove stains to whiten teeth with predictable science.
ALSO BY DR. IMAN SADRI ...
Meth mouth and the ravages of an addiction: from a dental perspective
The economics of ergonomics: 3 steps to maintain longevity throughout your dental career
An argument for clear aligners and clear braces
Interview With a Dental Icon: Dr. Bill Dorfman
Interview With a Dental Icon: Dr. Larry Rosenthal
Do you ask your dental patients if they snore?
5 creative ways to get new patients
The Invisalign key: underpromise and overdeliver
Disclaimer: Dr. Sadri does not have an endorsement with KöRWhitening or Evolve Technology.













