A 'mini' extreme dental makeover: Implants with a double-arch All-On-4
This article first appeared in the newsletter, DE's Breakthrough Clinical with Stacey Simmons, DDS. Subscribe here.
We had been at the surgery center for nine hours, and the moment was upon us as we handed her the mirror. Anticipation was written all over her face. She looked at me, the nurses, the surgeon, and then herself. The dam that had pent up years of tears suddenly released emotion that was so tangible that there was not a dry eye in the room. The effects of surgery, numbness, and effort of the day did nothing to dampen her joy.
The events and efforts leading up to this moment were the culmination of several things: hopelessness, despair, pain, anxiety, doubtfulness, and anticipation. Let me tell you her story.
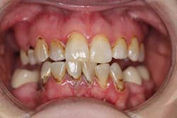
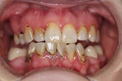
Sara (name changed) was 37 years old when she first walked into my office because of a toothache (figure 1). A review of her health history included: Crohn’s and celiac disease, depression, asthma, and several surgeries; her prescriptions included: antiseizure, depression, insomnia, and OCD (obsessive-compulsive disorder) medications. The cocktail of these drugs were a necessary evil; dry mouth ensued and rampant caries took over. Due to lack of financial resources, instead of restoring her teeth she had them removed one by one, including the tooth she came in about that day (No. 13).
It was evident that Sara knew the status quo needed to change, because in all reality if the current course was maintained, it was only a matter of time before she lost all of her teeth. Constant pain and the inability to chew and smile with confidence were eroding her quality of life. I recommended that she come in for a comprehensive exam to more fully evaluate her situation.
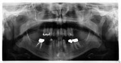
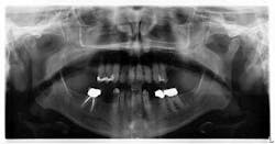
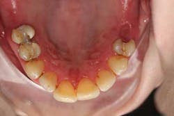
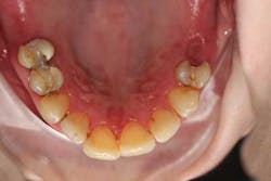
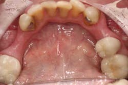
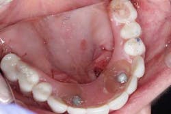
After a complete assessment, it was apparent that Sara’s options were limited with her existing dentition. The caries present were large and apple-cored around the teeth, making the long-term restorative prognosis questionable or guarded at best (figures 2-5). Several key teeth for partial abutments were either missing or grossly carious.
Options were discussed at a consultation appointment: full/full, partial/full, partial/partial (not ideal), or the use of implants. Two things were apparent at that consultation: (1) She didn’t want dentures. (2) Finances were such that they dictated her ultimate decision, because fixing and maintaining her teeth long term were things she just couldn’t afford. She recognized the fact that her health and subsequent need for medications were just one of the factors contributing to her current situation, and she couldn’t foresee that getting better in the near future. Sara, therefore, opted to go with double-arch full/full dentures; she made her decision knowing that dentures would present her with a new set of challenges. Because her lower teeth were bothering her the most, we commenced treatment on the lower arch, with plans to proceed with the maxillary at a later date.
A lower interim denture was fabricated, extractions and alveoplasty on the lower arch were done, and the prosthesis was delivered. Sara returned for a few adjustments and then, for whatever reason, I didn’t see her for nine months. A lot can happen in nine months, and it was during that time that Sara’s challenges were not only limited to functional issues with her lower denture. Her self-esteem became affected to the point that depression set in. Her family, seeing this change in Sara’s overall demeanor, decided that drastic measures must be taken and began investigating restorative options that included the use of implants. A trip to Mexico for a double-arch All-On-4 (AO4) full-mouth restoration was scheduled.
Sara’s parents had been patients of mine for years, and it was during a recare appointment that they mentioned Sara’s situation to my front desk scheduling coordinator. Concern for Sara’s pending treatment was passed along to me, and I recommended that Sara be contacted for a consultation appointment to see how she was doing and, subsequently, to make sure her decision to go to Mexico to receive care was comprehensively based.
Five minutes into the consultation, it was obvious that Sara was devastated about her situation. She didn’t want to do a maxillary denture because of what she was going through with her lower. Yet, she knew that the problems with her top dentition needed to be addressed soon. Her teeth had continually gotten worse and were starting to get painful. Sara was determined to get a double-arch AO4 fixed prosthesis, and in order to achieve this, she believed that her only option was to get it done in Mexico.
The irony behind all of this is that while implants were discussed at the initial appointment, they were not a viable option at that time. Sara’s parents, who observed their daughter go through those difficult nine months, lovingly stepped in and were providing her with the financial means to turn her situation—and her life—around. Their initial reluctance to seek care for the AO4 prosthesis here in the States was simple: It was more expensive.
I felt it imperative for Sara to understand all aspects of the potential what-ifs with regard to her situation when she came back to the US. What-if she got an infection and one of the implants didn’t integrate? What-if she didn’t like the look? What-if the vertical dimension was not right and her speech was affected? These were just a few of the questions I asked. Her time in Mexico would have been one week (start to finish), and this included initial impressions, prosthesis fabrication, surgery, and postsurgical care. I believed that my concerns for her long-term well being were valid because these procedures take time to plan and coordinate; follow-up care is imperative! Sara needed to know that if difficulties did arise, geographics would not allow her to seek treatment from the attending dentists in Mexico.
I suggested that since we never did a treatment plan for an AO4, why not go see a local oral surgeon and coordinate care with all involved parties locally? She would be out her time and if she still decided to move forward (with going to Mexico), she would do so arming herself with knowledge that all avenues of potential care had been explored. As it turned out, the reason for her going to Mexico (finances) was invalidated. We were able to coordinate and develop a plan that not only fit with Sara’s budget, but also made sure access to care from attending doctors would be available.
And so the process began. Impressions were taken, the dentures (that were to be converted) were fabricated, and the surgery date was set. Given what Sara had gone through and anticipating the change that was going to take place, it was decided that we would do a "mini" extreme makeover for Sara, which would not only include a new smile, but a new cut/color for her hair, a new outfit, and her hair/makeup professionally done for a photo shoot. Sara was beginning to smile. Her presurgery photo is in figure 6.
The day of surgery finally arrived. Sara was nervous—not so much for the surgery itself, but because she told me, “My life is going to be different from this point on.” Simple yet profound … truer words could not have been more eloquently spoken.
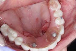
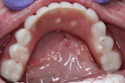
Surgery commenced. Implants on the lower arch were placed first (figures 7 and 8) and then we switched to the maxillary. The teeth were removed (figures 9 and 10) and the ridge was evened out (figures 11-13). The implants were aligned with the denture (figure 14) and then placed accordingly (figures 15-17). Healing caps were put on, and we were ready to start the restorative phase (figures 18-19).
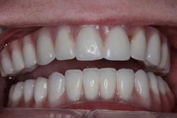
The maxillary arch was indexed first as there was support from the palate to reference position (anterior/posterior) (figure 20). Then the lower was put into position to gain proper vertical dimension and occlusion. It, too, was then indexed; both upper and lower were given to the lab technician to start the conversion process. Next, impression copings were placed (one arch at a time) and secured with paperclips; a full-arch PVS impression was taken and likewise sent to the lab (figures 21-23). Finally, after the conversion process was completed, the bridges were secured in place on the multiunit abutments, torqued to 15nCm, and covered. Bite was adjusted and follow-up care was arranged (figures 24-26).
We were done. Sara looked into the mirror and cried; extreme contentment and relief washed over her face. Our team assembled for a postsurgical photo before she was released (figure 27). The first time her parents saw her, they, too, were overcome with sentiment and the tears came again. Dr. John Holtzen and I walked back into the surgery center and smiled at each other. Words didn’t need to be spoken because Sara and her parents had said it all.
Follow-up went well. Sara’s healing was satisfactory; she will continue with this long-term provisional that will eventually be replaced with a reinforced definitive restoration.
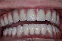
Next, Sara went shopping. She got her hair and makeup professionally done (figure 28) and then she smiled like she had never smiled before in front of a camera, radiating confidence and inner beauty that is without question, beyond words (figures 29-31).
One day I asked her how her life has changed since the procedure. “Simple. I smile, I interact, I am confident in who I am, and I know that everything will be OK.” Undeniably, it will definitely be OK.
What did I learn from this "mini" dental/life makeover?
- Why were there nine months of no contact with Sara? This was an eye-opener to me to put a better system in place to follow-up with my patients.
- Never, ever underestimate the astute ability of staff members and their opportunity to interact with patients. A lending ear from my scheduling coordinator was all it took to set things in motion.
- We may think that what we do not have an impact on people’s lives, but we do. Don’t let the monotony of our days drown out the little things that can count big.
Benjamin Franklin once said, “An investment in knowledge pays the best interest.” Indeed, except sometimes the interest gained is priceless.
Acknowledgement: The author would like to extend a thank you to the following for their expertise and contributions to this case:
- R.F. John Holtzen, DMD—Oral surgeon
- Remi Berube—Lab technician
- Markus Trotter—Hair
- Debbie Trotter—Makeup
- Bella’s Boutique—Clothing
- Double Exposure Photography—Photo shoot
- Staff, nurses, and auxiliary at Surgical Arts Centre (Missoula, Montana) and Canyon View Dental (Hamilton, Montana)
This article first appeared in the newsletter,DE's Breakthrough Clinical with Stacey Simmons, DDS. Subscribe here.
MORE BY DR. STACEY SIMMONS …
The fight for the white: Bringing whitening back into the office
Why implementing a system of checks and balances in orthodontics is important
Evaluating causes for success and failure in endodontics
About the Author
Stacey L. Simmons, DDS
Editorial Director of DE's Breakthrough Clinical e-newsletter
Dr. Stacey Simmons grew up in Hamilton, Montana. She did part of her undergraduate work at Purdue University and then received her bachelor’s degree in exercise physiology from the University of Utah. After applying to both medical and dental school, she decided that dentistry was her career of choice. She received her DDS degree from Marquette University School of Dentistry in Milwaukee, Wisconsin, in 2004. In private practice, she focuses her care on prosthodontics and cosmetic dentistry. She is a guest lecturer in the Anatomy and Physiology Department at the University of Montana. Outside the office, she trains for triathlons and spends time with her family. You may contact Dr. Simmons by email at [email protected].
In 2015, Dr. Simmons became the editorial director of DE's Breakthrough Clinical with Stacey Simmons, DDS, an e-newsletter focused on breaking through plateaus in clinical practice. Subscription information may be found here.
Updated May 4, 2016


































