Orthodontic case study using the Differential Straight-Arch Technique yields remarkable results without surgery, extractions, or headgear
This article first appeared in the newsletter, DE's Breakthrough Clinical with Stacey Simmons, DDS. Subscribe here.
Zach, a healthy, 11-year-old male, came to my office wanting to have a nice smile and his deep bite corrected.
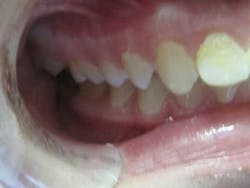
A clinical exam, along with a model and cephalometric analysis, showed that he had +12 mm of overjet, 100% overbite, and bilateral Class II Division I occlusion (see figures 1-3). In fact, his lower anterior teeth were in occlusion with his hard palate. And, as would be expected with a severe Class II Division I occlusion, he had a convex facial profile with a retruded mandible.
Due to the severity of his overjet and overbite, the Class II occlusion, and in order to improve his profile, orthognathic surgery was recommended. An alternative of extraction of all four second premolars was also presented, with the reservation that it would most likely compromise the esthetics of his profile.
ADDITIONAL READING | Periodontally accelerated osteogenic orthodontics reduces treatment times in comprehensive orthodontic cases
Upon discussing the plans of orthognathic surgery or extraction of the four premolars with the patient and his mother, it was clear that they were not satisfied with either plan. They wanted to know if there was any other way to improve Zach’s bite and correct his profile. Fortunately for Zach, there was another way: the Differential Straight-Arch Technique.
The Differential Straight-Arch Technique, first introduced by Dr. Peter Kessling in 1986, uses a modified straight-wire bracket called the Tip-Edge bracket. This bracket resembles a straight-wire bracket with diagonally opposed corners cut out. Although this modification in the bracket may seem minimal, it allows teeth to tip freely using very light forces.
A very cursory summary of the Differential Straight-Arch Technique is that it first tips the crowns into alignment. And then, in the final stage of treatment, it uprights the roots and corrects torque without round-tripping. With patients who are still growing—such as Zach—the Differential Straight-Arch Technique has had much success in eliminating large amounts of overjet and overbite, while achieving a Class I molar relationship and requiring little anchorage. Because little anchorage is required, treatment is usually successful without even using headgear and is often completed in relatively short periods of time. (1)
ADDITIONAL READING | Orthodontic options for the ectopic eruption of a maxillary first molar
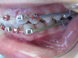
In June 2015, Tip-Edge Plus brackets were placed from canine to canine on both arches, along with bands on the first molars, with the understanding that Zach may require extraction of all four premolars in order to complete treatment. Ideal anchor bends were placed in both the maxillary and mandibular arch wires, just mesial to the buccal tubes, in order to open the bite. Bumper sleeves were placed between the distal of the canine brackets to the mesial of the molar tubes in all four quadrants, to prevent the premolars from being displaced off the arch. Right and left Class II elastics were placed from a hook on the mandibular molar band to the ipsilateral circle located 1 mm mesial to maxillary canine bracket on the maxillary arch wire. These elastics provided 2 oz. of force, used to close the overjet. The patient was instructed to continuously wear the Class II elastics if he wanted any chance of not needing surgery, extractions, or headgear.
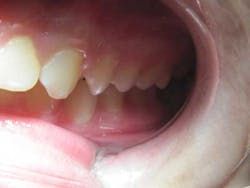
Zach was appointed to return monthly to evaluate his progress. At his third recall appointment, overjet and overbite were corrected (see figure 4). Thanks to the efficiency of the Differential Straight-Arch Technique, patient compliance with continuously wearing the Class II elastics, and the fact that Zach was still growing, these goals were accomplished without surgery, headgear, or extractions.
In October 2015, at the end of the first stage of treatment, another cephalometric radiograph was taken and analyzed. Clinically and radiographically, Zach was found to now have a Class I occlusion bilaterally (see figures 5-6). And, when his profile was evaluated clinically, it was found to be straight, rather than convex.
Reference
1. Parkhouse R. Tip-Edge Orthodontics and the Plus Bracket. New York: Elsevier Ltd.; 2003.







