Treating a diabetic patient with periodontal disease using the LANAP protocol: A case study
Introduction
This report describes the advantage of the LANAP protocol (laser-assisted new attachment procedure) with the PerioLase MVP-7 digitally pulsed Nd:YAG dental laser (1) in treating diabetic patients with Type IV periodontitis.
Diabetes mellitus (DM) affects an estimated 29.1 million of the US population, with 8.1 million of them undiagnosed. (2) Type 1 diabetes affects 5%–10% of the population, and is classified by the autoimmune destruction of beta cells in the pancreas. This leads to total loss of insulin secretion, and type 1 diabetics must take insulin to remain alive. Type 2 diabetes affects 85%–90% of the population who become insulin-resistant without destruction of pancreatic beta cells, and patients retain some capacity for insulin production. Their hyperglycemia can gradually increase without symptoms.(3)
ADDITIONAL READING |Salivary diagnostics: The future of health care
Diabetes and periodontitis
Long-established evidence suggests diabetes predisposes to periodontal disease, (4) and periodontal disease adversely affects diabetes outcomes. (5) A study by Chapple and associates (6) found consistent evidence that severe periodontitis adversely affects glycemic control in diabetic patients and causes glycemia in nondiabetic patients. The study concluded that diabetes and periodontitis are complex chronic diseases with established bidirectional relationships.
ADDITIONAL READING |A fundamental shift in our understanding of periodontal disease progression
Nd:YAG laser in periodontal treatment
Aemaimanan et al. (7) reported a significant prevalence of red complex bacteria in subgingival biofilm of patients with poor glycemic control. These pathogens associated with periodontitis were significantly higher in DM patients compared to control groups with good glycemic control. Recent studies have shown the bactericidal efficacy of the Nd:YAG laser. De Andrade and colleagues (8) noted the Nd:YAG laser combined with conventional treatment significantly reduced bacteria in Class II furcations. McCawleyand associates (9) reported immediate suppression of bacterial pathogens following LANAP treatment.
LANAP procedure
The LANAP surgical procedure for periodontal therapy has been shown to provide new bone growth and stability in patients with Type IV chronic periodontitis, reestablish new cementum-mediated periodontal ligament attachment, and induce periodontal regeneration.(10–12)
ADDITIONAL READING |How do you get off the dental roller coaster? Get risky.
Case study
A 62-year-old male was referred due to gingival swelling and bleeding. The patient reported tender gums. He indicated he was a Type 2 diabetic with glycated hemoglobin (HbA1c) levels “out of control” at 11.7% (normal is 4.5%–6.0%). He was taking medications to control cholesterol, hypertension, and diabetes.
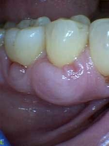
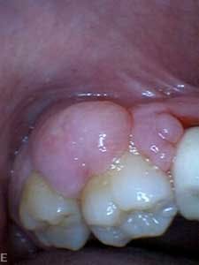
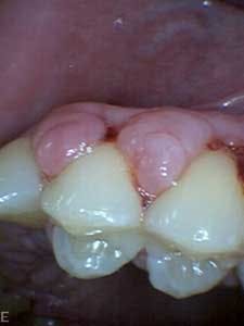
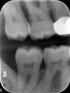
Dental examination revealed gingival swelling and bleeding on probing. Periodontal probing showed moderate-to-deep pocket depths in all posterior teeth (figures 1–3). Generalized bone loss was observed on radiographs (figures 4–6). Tooth vitality and percussion tests were negative. Teeth 2, 3, 31, 14, and 15 had Class III mobility. The patient was diagnosed with Type IV chronic adult periodontitis. Treatment options were discussed, and, after explanation, the patient agreed to the LANAP procedure.
The LANAP protocol was performed in September 2014 with use of nitrous oxide analgesia and local anesthetic. A first laser pass was performed with the fiber inserted into the pocket and moved circumferentially around each tooth. The fiber was angled parallel to the root surface to remove long junctional epithelium and ablate bacteria. Tooth roots were then thoroughly scaled using a piezo-electric scaler with 0.12% chlorhexidine gluconate irrigation. The fiber was used for a second laser pass to obtain a hemostatic seal. Occlusal adjustment was performed to eliminate premature contacts and balancing interferences.
The patient tolerated the procedure well, and was prescribed medications for pain control and chlorhexidine rinses twice daily. No oral antibiotics were prescribed. At the one-week postoperative checkup, the patient reported only mild discomfort following surgery. His tissues appeared less inflamed, and gingival swelling was greatly improved. Two weeks later, the patient was continuing to heal well, his gingival swelling was decreasing, and he reported no discomfort. An occlusal guard was fabricated to help alleviate bruxing trauma.
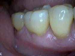
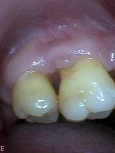
At the three-month periodontal maintenance appointment, the patient’s gingival color was pink with no sign of inflammation (figures 7–9).
The patient also reported his HbA1c level had dropped from 11.7 to 8.2. He reported feeling better generally and more energetic. He was then rescheduled for regular periodontal maintenance at three-month intervals.
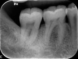
At nine months, the patient’s tissues appeared pink with no inflammation. Radiographs revealed new bone growth, especially around teeth Nos. 3, 15, and 31 (figures 10–12). The patient reported his HbA1c level stable at 8.2.
Conclusion
This clinical case demonstrates the efficacy of the LANAP protocol in treating adult periodontitis in a patient with diabetes mellitus. It also demonstrates the correlation of uncontrolled DM and its effect on chronic adult periodontitis. The patient’s HbA1c levels and periodontal health exhibited marked improvement after LANAP treatment.
Patient presentation before LANAP treatment (figures 1–6)
Clinical presentation three months after LANAP treatment (figures 7–9)
Radiographs nine months after LANAP treatment (figures 10–12)
References
1. Millennium Dental Technologies, www.lanap.com, (888) 638-5262.
2. Centers for Disease Control and Prevention. National Center for Chronic Disease Prevention and Health Promotion. Division of Diabetes Translation. National Diabetes Statistics Report, 2014. http://www.cdc.gov/diabetes/data/statistics/2014StatisticsReport.html. Accessed September 14, 2015.
3. Mealey BL. Periodontal disease and diabetes. A two-way street. J Am Dent Assoc. 2006;137 Suppl:26S–31S.
4. Kıran M, Arpak N, Ünsal E, Erdoğan MF. The effect of improved periodontal health on metabolic control in type 2 diabetes mellitus. J Clin Periodontol. 2005;32(3):266–272.
5. Borgnakke WS, Ylöstalo PV, Taylor GW, Genco RJ. Effect of periodontal disease on diabetes: Systemic review of epidemiologic observational evidence. J Periodontol. 2013;84(4 Suppl):S135–S152.
6. Chapple ILC, Genco R. Working group 2 of the joint EFP/AAP workshop. Diabetes and periodontal diseases: Consensus report of the Joint EFP/AAP Workshop on Periodontitis and Systemic Diseases. J Periodontol. 2013;84(4 Suppl):S106–S112.
7. Aemaimanan P, Amimanan P, Taweechaisupapong S. Quantification of key periodontal pathogens in insulin-dependent type 2 diabetic and nondiabetic patients with generalized chronic periodontitis. Anaerobe. 2013;22:64–68.
8. de Andrade AKP, Feist IS, Pannuti CM, Cai S, Zezell DM, De Micheli G. Nd:YAG laser clinical assisted in Class II furcation treatment. Lasers Med Sci. 2008;23(4):341–347.
9. McCawley TK, McCawley MN, Rams TE. LANAP immediate effects in vivo on human chronic periodontitis microbiota. J Dent Res. 2014;93(Spec. Issue A):Abstract 428.
10. Long CA. New attachment procedure: Using the pulsed Nd:YAG laser. Dent Today. 2008;27(2):166–171.
11. Yukna RA, Carr RL, Evans GH. Histologic evaluation of an Nd:YAG laser-assisted new attachment procedure in humans. Int J Periodontics Restorative Dent. 2007;27(6):577–587.
12. Nevins ML, Camelo M, Schupbach P, Kim S-W, Nevins M. Human clinical and histologic evidence of laser-assisted new attachment procedure. Int J Periodontics Restorative Dent. 2012;32(5):497–507.













