The dos and don'ts of silver diamine fluoride
The New York Times recently published an article that discussed the use of silver diamine fluoride as a minimally invasive treatment option for dental caries in children. (1) The article discussed many benefits of silver diamine fluoride, including treating carious teeth without a drill at a lower cost to patients, fewer pediatric hospital visits due to dental emergencies, and improved oral health for nursing home residents. (1) They only cited one negative: silver diamine fluoride will cause carious tooth structure to turn black. (1)
Commercially available as Advantage Arrest by Elevate Oral Care (i), 38% silver diamine fluoride is approved by the Food and Drug Administration (FDA) for the reduction of dentinal hypersensitivity, but it has also been shown to reduce bacteria and matrix metalloproteinases (MMPs), which are responsible for the degradation of dentin, and it is believed to arrest carious lesions. (2–6) In addition to using it to treat dentinal hypersensitivity, dentists are using it off-label to arrest carious lesions and as a diagnostic indicator. (7) Silver diamine fluoride will only stain defects in the tooth structure, such as carious lesions and restorative margins; sound tooth structure will not be stained by silver diamine fluoride. In addition, silver diamine fluoride is very cost effective as one drop can be used for multiple teeth.
Although this sounds like the magical product we all have been waiting for, we still need to be practical and careful when using silver diamine fluoride (or any product surrounded by sensationalism). No clinician should use any dental material without understanding what to do and what not to do with it—and this clear liquid is no different.
The dos of silver diamine fluoride
- Read the instructions.
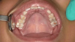
- Educate your patients. Silver diamine fluoride will stain carious tooth structure a dark brown or black color. Caution should be used on other tooth surfaces and near the margins of composite restorations or crowns. Explain the risks of discoloration to tooth structure before application. If a restoration is stained, the stain should polish off, but staining around margins may remain.
- Protect your patients. Have your patients wear protective eyewear and cover exposed clothing in the head and neck area.
- Be careful. This product is colorless and odorless (figure 1). Although it looks like water, it can stain skin, clothing (figure 2), countertops, flooring, and instruments. If silver diamine fluoride contacts skin, absorb as much as possible with gauze. Do not wipe it; wiping can spread it and result in a larger stain. Instead, blot the area of any excess material, and wash the area thoroughly with soap and water, 3% peroxide, or an iodine tincture. Staining on skin will fade, like a henna tattoo. Wash operatory surfaces, instruments, and dappen dishes thoroughly.
Silver diamine fluoride 38% has been shown to be effective for on-label uses, such as treatment of dentinal hypersensitivity, as well as some off-label uses, such as caries diagnosis and arresting caries in children and adults. The practical use of it is extremely encouraging, as long as the material is used correctly and with respect for its chemistry. This material can be applied to tooth surfaces routinely in clinical practice, but in our opinion, more research is needed before deciding whether this material should be used during restorative procedures, especially on anterior teeth.
Notes
i. Learn more about Advantage Arrest silver diamine fluoride 38% at elevateoralcare.com.
ii. Courtesy of Elevate Oral Care
References
1. Saint Louis C. A Cavity-Fighting Liquid Lets Kids Avoid Dentists’ Drills. New York Times website. http://www.nytimes.com/2016/07/12/health/silver-diamine-fluoride-dentist-cavities.html?_r=0. Published July 11, 2016.
2. Introducing Advantage Arrest, the first and only silver diamine fluoride available in the United States. Elevate Oral Care website. http://www.elevateoralcare.com/dentist/AdvantageArrest.
3. Castillo JL, Rivera S, Aparicio T, et al. The short-term effects of diammine silver fluoride on tooth sensitivity: a randomized controlled trial. J Dent Res. 2011;90(2):203–208.
4. Featherstone JDB, Horst JA. Fresh approach to caries arrest in adults. Decisions in Dentistry website. http://decisionsindentistry.com/article/fresh-approach-to-caries-arrest-in-adults/. Published October 5, 2015.
5. Mei ML, Li QL, Chu CH, Yiu CK, Lo EC. The inhibitory effects of silver diamine fluoride at different concentrations on matrix metalloproteinases. Dent Mater. 2012;28(8):903–908.
6. Mei ML, Chu CH, Lo EC, Samaranayake LP. Fluoride and silver concentrations of silver diammine fluoride solutions for dental use. Int J Paediatr Dent. 2013;23(4):279–285.
7. Horst JA, Ellenikiotis H, Milgrom PL. UCSF Protocol for Caries Arrest Using Silver Diamine Fluoride: Rationale, Indications, and Consent. J Calif Dent Assoc. 2016;44(1):16–28.
Brian Nový, DDS, is the director of practice improvement at the DentaQuest Institute and an adjunct associate professor in the division of general dentistry at Loma Linda University. He served on the ADA Council of Scientific Affairs from 2010–2014 and as chair of the CAMBRA Coalition from 2010–2015. In 2009 Dr. Nový's office was named the Adult Preventive Care Practice of the Year by the American Dental Association. He practices in Westborough, Massachusetts, at the DentaQuest Oral Health Center.

