Clinical dental mishaps, blunders, and learning from my mistakes in dentistry
In the spirit of learning, I will share with you some of my clinical blunders and the things that I have had to learn the hard way. The first one was, by far, my most expensive learning experience.
This article first appeared in the newsletter, DE's Breakthrough Clinical with Stacey Simmons, DDS. Subscribe here.
Not too long ago I was talking with Dental Economics Chief Editor Chris Salierno, DDS, about how any confidence that we have as clinicians gets knocked down a notch or two when we see the endless perfect cases presented at lectures—you know, those perfect implants, perfect dentures, perfect veneers, perfect crowns, perfect fillings (with tertiary anatomy, no less!), and perfect long-term outcomes. We all have moments in our career when we’ve done amazing work, and rightfully we should be proud of those outcomes. However, as I sit in these discussions, I can’t help but ruminate over my time practicing dentistry during the last 12 years and consider the blunders and mishaps that unfortunately I have had to experience to get to where I am today. The saying “hindsight is 20/20” couldn’t ring truer, so in the spirit of learning, I will share with you some of my clinical blunders and the things that I have had to learn the hard way. The first one was, by far, my most expensive learning experience.
READ MORE |Evaluating causes for success and failure in endodontics
Implant analogs are different for multi-unit restorations than they are for single-unit restorations, and it can make all the difference in the world. And, labs don’t always know everything.
I’ve restored several implants and my routine has always been the same: Remove the healing cap (or temporary), place the impression coping, take a radiograph to verify seating, make the impression, and send it to the lab. Depending on the implant system used, sometimes the analog would come as a set with the impression coping (Neoss); with others (Nobel, Straumann), it’s a separate order. Everything gets bagged and sent to the lab, and they just take care of it. No big deal, right?
When I first started restoring fixed hybrid and multi-unit restorations, I didn’t think that anything needed to change. And I also assumed that the lab knew what they were doing, because, well, they were the lab! They must know everything!
For this particular case, it seemed everything went wrong from the beginning. I had done an All-On-4 on the maxillary, and it opposed natural dentition. When it was time to begin the definitive, I took the initial impression (with the conversion impression copings) and sent it to the lab. It was a Neoss case, and I didn’t have the analogs because they were used in surgery at the time of conversion. Back came the wax rim, but with slightly bigger screws. At first, I thought that it was a bit strange, but I was rushing around seeing patients and I honestly didn’t give it much thought. Everything screwed in OK; I got the midline, vertical, and smile line just fine, so back it went to the lab for the next step.
READ MORE | Quick tips on how to be a better clinical provider within all disciplines of dentistry
The first try-in was bad. I didn’t know how things could be so off, but owing to the fact that human error plays a role into things, I had the lab reset the teeth and the patent come in for another try-in. And another, and another, and another, and finally, the teeth were in the right place. I will also mention that the shape/size of the teeth were changed out a couple times because the patient was very particular about esthetics (understandably so). Next, we splinted the implants and made an impression so the bar could be milled.
I was happy to finally be to this point, because this process had been going on for four months (yes, that’s right—four months!). We were so close to being done. Well, things couldn’t be further from the truth. The final try-in with the milled bar went horribly; the prosthesis moved everywhere. The screws were tight but there was movement of 3–4 mm in every direction. What was going on?
I called both the lab and implant rep to explain the dilemma. I was frustrated, the patient was frustrated, and here we were into this process way longer than we should have been. I wanted to pull my hair out, but of course I couldn’t do that. I had a patient in the chair, I had assistants who were looking up to me, and I was the doctor (and that meant I, of course, knew everything).
I started analyzing the entire case. The prosthesis fit well on the model, but not in the patient. I looked at the screws and thought, “Maybe it’s just the screws?” I tried different ones and it still didn’t work. Were there intermittent parts that I was missing? I really was at a loss, so the implant rep came to my rescue with a visit to my office. In 30 seconds, he told me what was wrong. Hand-to-forehead moment for Stacey . . .
Apparently, the lab used the wrong analogs and subsequently had to use different screws. I didn’t know this (or remember), and the lab didn’t either. This was a large, well-known lab too. As the case progressed, I didn’t think much of it because up until the final try-in, all previous try-in blunders were attributed it to poor teeth setup. Thick triad material and lack of casings compensated for the extra screw length.
For this particular implant system (Neoss), the multi-unit analogs are not internally hexagonal, but smooth and straight; the single-unit analogs are hexagonal (figure 1). The multi-unit analogs have short screws; the single units have long screws (figure 2).
Wow is right. I explained this to the patient and started over with all the right parts and pieces—even a new impression. Well, wouldn’t you know it; I got a call from the lab saying they couldn’t mill a bar for the size of implants that I used. “W&%#$!!” Five months into the case and now that the lab has the right parts, they are just now telling me they can’t mill a bar?! I didn’t know what to say to the patient. What could I say?
I called around to some colleagues and sent the case off to another lab. Start to finish, I finally finished the case in five weeks.
What did I learn from this? Clearly, you can’t assume the lab knows everything, and I humbly learned the same. I am now an expert on Neoss parts and pieces, and I can communicate better with the lab and execute these cases to completion quickly.
If possible, do screw-retained implant crowns. If you can’t, then please don’t use permanent cement.
What’s worse than having a loose implant? One that is cement retained that you have to cut into to get it off. Before I knew better, I used the same cement for just about everything, and implants were no exception. After cutting a few of these off for various reasons (some mine and some done by other practitioners), the ease of retrievability puts you at an advantage when treating whatever it is that necessitates removal.
Never ever tell patients that you can make them a denture (or partial) that will be fabulous. Chances are, you may disappoint.
I’ve done several dentures and partials—some of which were extraction cases and others were replacing Betty’s 30-year-old dentures that were smoother than porcelain and had teeth that were virtually worn down to nonexistence.
I’ve only dismissed two patients from my practice, both of whom ironically I made dentures for. I followed protocol to the T—impressions, try-ins, the patient OKs processing, etc. Just because I take all the necessary steps, however, does not mean the patients will love their denture or partial. It’s inevitable that they come back saying, “I can’t chew,” or “You don’t know what you’re doing,” or my favorite, “My friend has had dentures for 25 years and can eat corn on the cob. Why can’t I?” One patient even threatened to sue me. Yes . . . sue me.
There’s a saying, “A patient without eyes cannot see and a patient without legs cannot run, yet a patient without teeth expects to eat and act with dentures as they do with natural teeth.” Every time I get started with a denture case now (after trying to talk patients into implants instead), I have patients sign a consent form and tell them that they more or less are getting a piece of plastic in their mouth . . . and not to set their expectations too high. “Sad but true, Mr. Jones, you likely will never be able to eat a steak or salad the same way again.”
Other miscellaneous and embarrassing things I’ve done:
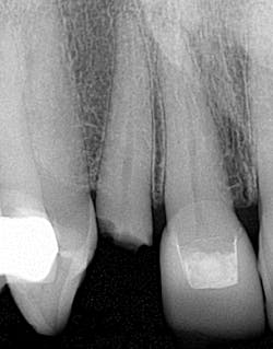
• I have prepped crowns on insufficient tooth structure and then the patient came back six months later with crown in hand (figure 3). It’s one of those moments when you realize a pin and a buildup just weren’t enough. Perhaps a post would have been helpful. I also could have told the patient that he needed to look at alternative treatment options. Now, when I am in those situations, I take a photo of the tooth, show the patient, and tell them what I can and can’t do with the tooth. Patients may not want to hear that their tooth needs to be pulled, but in the long run it’s better for everyone involved.
• I have prepped the wrong tooth. I think we’ve all had this happen at one time or another (hopefully I’m not the only one!). In this case, it was a filling and after I was done, the only thing I could do was be completely honest with the patient.
• I have sent a patient to the hospital because he swallowed a piece of wire I was splinting to the lower anterior teeth. Saliva makes things slippery and the wire just slipped out of my forceps and into the back of the throat. The patient swallowed it, and it was gone. I sat there with my eyes wide open and my assistant just looked at me. Oy vey! Thankfully the patient didn’t aspirate it but since it was sharp, I was concerned about it getting lodged somewhere in his digestive track. I sent him to the hospital to have it checked out, and when all was said and done, I paid for his medical visits, radiographs, and the time that he missed out on work. Necessary? One could debate that point, but in the event something had happened, I didn’t want to be accused of being negligent.
Now, whenever I work with implants, cut off crowns, or do anything involving small parts and pieces that have the potential of being aspirated or swallowed, I use a throat pack. A simple 2x2 is cheap, and it will work. I speak from experience!
These are just a few of the blunders and mishaps I’ve had to learn the hard way—but trust me, there are more! Although my successes and clinical work that I take pride in definitely outnumber the bad, it is humbling to know that we’re not all perfect doctors and that unexpected and unfortunate things really do happen to all of us. The take-home lesson is what’s important.
Who knows, maybe someday in the future you’ll see me with my crazy and amazing editorial counterparts, Dr. Chris Salierno, Dr. Scott Froum, and Dr. Josh Austin lecturing on this very topic. Wouldn’t that be a sight to behold?! What do you say, boys?
This article first appeared in the newsletter, DE's Breakthrough Clinical with Stacey Simmons, DDS. Subscribe here.
For the most current dental headlines, click here.
About the Author
Stacey L. Simmons, DDS
Editorial Director of DE's Breakthrough Clinical e-newsletter
Dr. Stacey Simmons grew up in Hamilton, Montana. She did part of her undergraduate work at Purdue University and then received her bachelor’s degree in exercise physiology from the University of Utah. After applying to both medical and dental school, she decided that dentistry was her career of choice. She received her DDS degree from Marquette University School of Dentistry in Milwaukee, Wisconsin, in 2004. In private practice, she focuses her care on prosthodontics and cosmetic dentistry. She is a guest lecturer in the Anatomy and Physiology Department at the University of Montana. Outside the office, she trains for triathlons and spends time with her family. You may contact Dr. Simmons by email at [email protected].
In 2015, Dr. Simmons became the editorial director of DE's Breakthrough Clinical with Stacey Simmons, DDS, an e-newsletter focused on breaking through plateaus in clinical practice. Subscription information may be found here.
Updated May 4, 2016





