The Marriage: Periodontal Health and Crowns
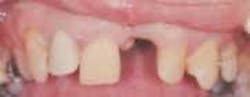
As dentists, we all wish for motivated patients to walk through our doors every day, ready to begin dental work. On one particular day, Mark, a 48-year-old patient, did just that. Mark was missing Tooth No. 9 and had an esthetic reason for seeking care (Figure 1). Besides the missing anterior tooth, what he didn't realize was how much his periodontal health had deteriorated.
Mark's primary motivation for treatment was to improve his smile for his upcoming wedding. My concern was not only to satisfy his immediate goal, but to improve his periodontal health, offer tissue-compatible restorative options, and finally, educate him about his treatment needs, thus maintaining his smile and periodontal health for years to come.
Initial treatment
Upon clinical evaluation, reviewing radiographs, periodontal charting, preop photos, and study models, Mark was found to have generalized Type II periodontal disease, with pockets ranging from 3 to 6 mm and bleeding upon probing.
At first, Mark was resistant to discussing his periodontal disease and its effect on his tissues and general health. After extensive education, he came to an understanding of the damaging effects of periodontal disease. Furthermore, he made a commitment to tackle the disease by recognizing the importance of maintaining a healthy condition with effective home care and regular hygiene visits.
Initially, scaling and root planing were performed. The patient was then referred to a specialist for further care to eliminate localized pocketing via periodontal surgery.
Treatment plan
A post-periodontal surgery exam and restorative reassessment was performed to be certain that our immediate treatment goals could be met. Treatment plan options included a removable partial denture, crown and bridge, and implant therapy to replace Tooth No. 9. It was Mark's choice to have his smile restored using a fixed bridge. He also wanted to improve the appearance of his other anterior teeth. Crowns were planned for Teeth Nos. 6, 7, and 11 in addition to the bridge.
Also, as an adjunct to smile design, crown lengthening was needed on Tooth No. 8. Slight gingival recontouring of Teeth Nos. 6 through 11 was to be performed by the treating periodontist. This treatment was done to accentuate the final esthetic outcome.
Healing and periodontal re-evaluation would follow.
Prerestorative phase
Study models and a diagnostic wax-up were used as a guide for treatment and esthetic communication.
The restoring material of choice was porcelain fused to Captek™ (Figure 2). The health potential of Captek was a major contributing factor in the material selection process. Other attributes of this material reinforcing the decision were the esthetic potential and the ability to predictably bridge Captek units. Due to the subgingival margin placement, cementability of the Captek system was also a plus.
Cases like this are sometimes a mixed blessing for the restoring dentist. Even though the patient's motivation to seek treatment was esthetically based, one must consider utilizing materials that help in the long-term periodontal health. Captek, a unique, internally reinforced composite metal, has a total composition of 88 percent gold and 11 percent palladium/platinum and 2.3 percent silver. Forsyth Research Center (Boston, Mass.) reported that sites restored with Captek composite metal harbored 71 percent less plaque and bacteria in the sulcus as compared to natural healthy tooth structure in the same patients. This research points to the composite metal structure as being responsible for the plaque-resisting potential.
Restorative phase
Local anesthetic (3.5 carpules of 2 percent Septocaine) was administered. Teeth Nos. 6, 7, 8, 10, and 11 were prepared with a variety of coarse diamonds. A chamfer finish line was created using a Brasseler No. 5847KR black diamond. This diamond produces a smooth, consistent margin (Figure 3).
Gingival retraction was achieved using Gingiknit No. 0. Full-arch Impregum impressions were taken and a bite registration was recorded using Blue Mousse.
Vita shade B-1 was selected for the porcelain shade. Temporization was done using Luxatemp.
Laboratory fabrication
The case was sent to MicroDental Laboratories to fabricate the substructure copings.
Though all porcelains can be applied to and used with the Captek composite metal, the fabrication of the copings is unique. It is called a composite metal, because, just like resin composites, there are pure particles suspended in a filler. In the case of Captek, the particles are Pt and Pd, and the filler that binds them is Au with traces of Ag.
A cross-section of the composite metal is shown in Figure 4. Platinum and palladium particles arrange as a reinforcing network of particles that support the gold filler. The result is highly reinforced, high gold copings with no (black) oxides, and a predictable warm, natural appearance that is the hallmark of Captek reinforced porcelain crowns.
Cementation
A try-in visit was performed to ensure great marginal integrity with the single-unit Captek copings and one, three-unit bridge.
The patient then returned for final cementation. Temporaries were removed, a coating of Gluma (Heraeus Kulzer) was applied to each tooth, and then air-dried. The teeth were cemented with Vitremer (3M).
Result
The patient could not believe the outcome of the case and was very pleased. Figure 5 shows a pleasing postoperative smile on eight-month recall. Notice in the retracted view (Figure 6), the healthy tissue, and dento-gingival junction.
The ideal case plan called for restorations of the upper right quadrant; however, the patient chose not to restore that section at this time.
Dr. Sanya Sweeney
Dr. Sweeney maintains an esthetic practice in Riverton, N.J. She is a member of the ADA, AGD, and AACD, and is also a clinical instructor for Dr. Larry Rosenthal's Aesthetic Advantage. She travels extensively with her husband and two daughters to her native Croatia.







