Be a Patient Sometime!
If you are convinced that your patients are receiving the best possible care while experiencing the least amount of discomfort, then this exercise may be an eye-opening event for you. Place yourself in the hands of another dental professional and enjoy the full experience. Become a patient. Have radiographs taken, an exam performed, and a prophy. Even if no restorative work is necessary, be brave and have anesthetic administered, a rubber dam placed, and keep your mouth open for at least 30 minutes. Although you may deliver the care a bit differently than your caregiver, you will still have a better understanding of how your patients feel as they lie helplessly at your mercy. You will probably become very creative from then on about relieving patient stress and employing TLC-focused techniques.
We do not usually take into account that some X-rays are uncomfortable, particularly periapicals. Try swabbing some topical anesthetic on the palate as well as the floor of the mouth prior to taking X-rays. Of course, the X-ray experience is significantly overshadowed by a much greater fear and discomfort for many of our patients — the injection associated with anesthetic.
Due to some unusual circumstances, I was forced to anesthetize myself recently. I was amazed and grateful at what I discovered. Prior to this event, I was convinced that the injection was going to be painful no matter what, and therefore, I would go right in with my lidocaine and be done with the unpleasant task. Through personal experience, I found that applying topical anesthetic on a saturated cotton swab left in place for two to three minutes is extremely helpful. A 3 percent Carbocaine plain (that has been warmed in a cup of hot water) can be used not only as the initial anesthetic, but often as the only anesthetic. It is much more comfortable than other anesthetics due to its low acidity. Patients are often unaware that the anesthetic has been given when this method is used. Lidocaine and Marcaine are more acidic than Carbocaine plain, and when used as the initial anesthetic, they can produce a stinging sensation that the patient mistakes as pain from the penetration of the needle into the tissue.
null
null
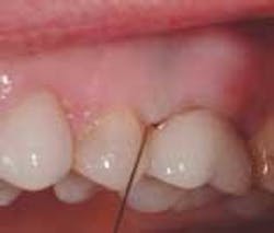
An easy way to avoid the discomfort of a palatal injection is to administer a PSA, MSA, or ASA first, using warmed 3 percent Carbocaine plain. Wait a minute and then use a PDL technique from the facial, which should be nice and numb already. Angle the needle so the anesthetic delivers to the palatal tissues (Figure 1). The palatal tissues will blanch as the anesthetic reaches the area (Figure 2). If you're expecting the procedure to last more than 30 minutes, you can follow up with longer-lasting anesthetics (e.g., lidocaine, Articaine, Marcaine, etc.) after the 3 percent Carbocaine plain has had time to anesthetize the area.
Who would have thought that being a patient could make you a better care provider? Quality service goes a long way in our patients' eyes. Keeping them comfortable even during delivery of anesthetic will help cement the relationship and keep them in your practice. Like Harry Beckwith said in his book, Selling the Invisible: A Field Guide to Modern Marketing, "If you're selling a service, you're selling a relationship."
Jaimee Morgan, DDS
Dr. Morgan practices orthodontics, family, and cosmetic dentistry in Salt Lake City, Utah. She has presented numerous scientific papers, is a published author, and lectures internationally on aesthetic dentistry. Contact her at (801) 569-2600 or jaimeemorgan@ mindspring.com.





