Smiles for Success
by Annette Skowronski, DDS, FAGD, PC
There are many times people have asked me why I chose dentistry as a career. Without one moment of hesitation, I describe it as not only a passion, but a calling. Having practiced for nearly 18 years, I have been able to see and be a part of many major transformations in people's lives. The impact of a beautiful smile certainly cannot be underestimated.
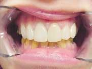
As all of us in the profession know, we often find patients in dire need of dental care without the resources to properly achieve oral health. Mary Ladowski was such a patient for me. Her mother referred Mary to me for her dental care. At that time, Mary was actively trying to obtain a job with little success. Due to her limited finances and dietary habits, her dental condition was in decline. She presented with rampant dental caries, traumatic occlusion, missing teeth, and tetracycline staining. Mary had been unaware of how much her diet and oral hygiene had an impact on the condition of her teeth. She was clearly headed toward the early loss of all of her natural teeth if left untreated. At any age this is unacceptable, but even more so at age 41.
Mary's smile was always beaming from the heart, not her mouth. She struggles to live independently and was very worried about any expenses, as she could budget only for monthly necessities. In search of a way that I could help Mary restore her dentition comprehensively and gain a greater confidence in her smile, I found the Web site for Smiles for Success. I was excited at the possibility of finding an organization that would partner with me to complete Mary's extensive dental needs. The day I told her mother she had been accepted into the program, we both wept ... then I got to work!
Mary was initially counseled on the importance of oral hygiene, improving her diet, and limiting the intake of carbonated beverages. She demonstrated great improvement with her oral hygiene at each appointment and was very motivated. A personal consultation with my dental lab technician, Linda Raveane, CDT, allowed Mary to take an active role in choosing her new smile. To date, multiple root canals, Empress crowns, and a bridge have been placed with much work left to be completed.
Mary now smiles brightly with her new teeth every morning at her job in a popular restaurant. She takes great pride in everything she does and is often asked to work overtime. All of us are very grateful for the opportunity to work with an incredible organization like Smiles for Success.
"How wonderful it is that nobody need wait for a single moment to improve the world." — Anne Frank
Mary — A Smiles for Success Story
null
null
null
null




