My dad had a woodworking shop when I was growing up. To this day, the smell of sawdust makes me homesick. Dad’s shop was in the basement, full of lumber, tools, and memories. As a child, I loved making miniatures, and I kept carvers and old instruments in my own little toolbox.
I think dentistry and woodworking have some things in common. Both require manual dexterity and a love of working with fine detail. My dad’s project advice was to prep my workspace and have the right tools for the job. Those are tips I now follow for a successful day in dental hygiene. Cotton pliers have a place in my dental hygiene toolbox as an indispensable extra pair of hands when I need them most.
Read more from Holly Moons: Welcome to your new dental hygiene career! 11 tips to take to heart
Retrieval
Fighting oral and systemic inflammation involves early detection and intervention. Food and debris can get caught in sulcus spaces and around restorative work, which increases infection risk. Tears in the gingiva can allow for the penetration of harmful substances and viable pathogens.1 Access to cotton pliers makes removal of foreign invaders effortless. Items such as floss remnants, brush bristles, or popcorn kernels can all get stuck. In our office, the most unusual case was a patient with an entire Invisalign attachment stuffed into the sulcus.
Cotton pliers are a must during the postoperative healing phase. After an extraction or bone graft, the body can expel sequestra or pieces of “devitalized bone.”2 What the body doesn’t use rises to the surface of the tissue. These can vary from the size of a grain of sand to larger fragments. Large sequestra may prevent tissue from closing or lead to soreness when a removable appliance rubs against it. Hygiene appointments are excellent times for sequestra removal to expedite healing.
Application
The downside of a cotton-tipped applicator is that it can be bulky and cumbersome. Instead, cotton balls can fit in tight spaces, making detailed applications a breeze. Cotton balls can quickly dry a field before intraoral photos. Medicaments can be gently applied to wounds or sores.
Disclosing a patient is a powerful visual aid for the patient and the clinician. Under the time crunch of the dental hygiene appointment, there may only be time enough to review one oral hygiene aid. The priority becomes identifying the aid that can remove the most biofilm.
Transformational oral hygiene instruction happens with accurately stained biofilm. Cotton-tipped applicators must be wet, they require more product, and they’re hard to get around in tight or interproximal spaces. Using a cotton ball allows for more successful coverage. These absorb well, use less product, and dip into the smallest of spaces.
Threading
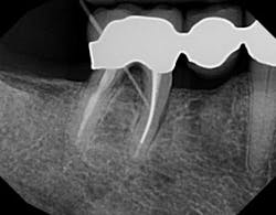
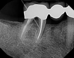
Floss threaders come in two basic styles: plastic loops and prethreaded. Plastic loops are sturdy but may be too large for tight spaces—lower lingual retainers placed too close to the tissues or impenetrable implant bridge come to mind. On the other hand, prethreaded versions are fragile and break easily, rendering them useless and requiring a new piece. Cotton pliers can assist in guiding the threaders and giving extra reach. If you trust the patient, those who have trouble threading may benefit from a pair of pliers for home use.Chronic dental infections, trauma, and dental implant complications can lead to dental fistulas.3 Fistulas are tracks of infection that originate from a source and extend to the surrounding soft tissue, dissecting through the path of least resistance.3 The head will look like a pimple and its presence should immediately trigger further investigation.
Most fistulas are endodontic or periodontal in nature. The appropriate specialist referral is possible with endodontic gutta percha (GP) points. As they appear radiopaque on x-rays, threading an open fistula can help confirm the origin of its source. Every office should have a vial of 30-gauge GP for this reason. First, break the point in half so that during an x-ray the patient does not accidentally bite down on it. Using cotton pliers, gently guide the point through the fistula until there’s resistance. A radiograph can then be used to determine the next course of action. Don’t be fooled and assume the source. Many times, a GP point will veer off in a surprising direction.
These same GP points can be used as a patient visual for probing depth. How many times have you probed an area of bone loss or potential fracture, only to have the patient respond, “But it’s not bothering me”? GP points can be directed into sulcus spaces and radiographed as a visual.
Taking that extra step to catch issues early will win patient trust and gratitude. Cotton pliers are fantastic multitaskers. Having a pair in your hygiene setup can help you deliver a more efficient and thorough dental hygiene appointment.
References
- Vitkov L, Singh J, Schauer C, et al. Breaking the gingival barrier in periodontitis. Int J Mol Sci. 2023;24(5):4544. doi:10.3390/ijms24054544
- Jennin F, Bousson V, Parlier C, Jomaah N, Khanine V, Laredo JD. Bony sequestrum: a radiologic review. Skeletal Radiol. 2011;40(8):963-975. doi:10.1007/s00256-010-0975-4
- Chouk C, Litaiem N. Oral Cutaneous Fistula. Treasure Island. StatPearls; 2022.
About the Author

Holly Moons, CRDH
Holly Moons, CRDH, has been a clinical hygienist in periodontics since 2000 and practices at the PreciDent Center for Facial and Dental Medicine. Dentistry is one of her greatest joys, as is furthering her education in oral systemic health, microbiology, and airway. Her latest passion is educating patients about nitric oxide. She’s served many roles on her local board, including president and Florida delegate. Her motto is, “When in doubt, check it out.” Connect with her at [email protected].
Updated July 24, 2023











