Laser procedures for dental hygienists: Herpetic lesions and desensitization
Along with laser-assisted periodontal therapy (LAPT) and laser bacterial reduction (LBR), there are a few other important procedures that dental hygienists can perform with lasers, such as treatment for herpetic lesions or aphthous ulcers and desensitization.
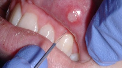
Herpetic lesions
Using lasers to arrest herpetic lesions is one of the best practice builders we can have. Of course, the best time to treat a herpetic lesion is from its onset, but that doesn’t always work within our patients’ schedules. I may see my patient at any stage of the lesion: from the time the patient feels tissue tightness and discomfort, to the time the lesion blisters and ulcerates, or as it heals. By placing laser energy into these lesions, discomfort is eliminated almost instantly, allowing the area to heal quickly. Typically, instead of the area taking 10-14 days to resolve, it typically heals in three to five days.
Treatment process for herpetic lesions
To treat these areas, I start with a very low laser power setting of .3W and hover about 2 mm over the lesion. I move the laser in a cross-hatching motion over the lesion without touching it. Move the laser energy horizontally and then vertically to cover the entire area. I follow with a power setting of .5W, moving on to .7W, and then finishing up with .9W and 1.0W. Use a cross-hatching movement in all these instances.
Read more about lasers in this series …
So, you want to be a laser dental hygienist?
Which dental laser should I choose, and what can I use it for?
What type of training do dental hygienists need to use lasers?
What is the difference between LAPT and LBR?
Laser safety eyewear: It’s nonnegotiable
How do you find the best laser for your dental practice?
The length of time needed to treat herpetic lesions will depend on the size of area. For example, a small lesion may only take 20 seconds per setting, whereas a larger area may need 60 seconds per setting.
Remember that you aren’t lasering off the lesion itself; it will look the same as it did when you started the procedure since you’re only arresting the area. However, healing will begin immediately. To complete the procedure, I place vitamin E over the lesion.
Inform your patient that herpetic lesions are extremely contagious and that they must make sure not to touch the area. Tell them to take care when applying lipstick, lip gloss, and makeup so they don’t spread the lesion to other areas.
When using the laser on an aphthous ulcer, the settings are the same. The pain from the ulcer will be eliminated, and the area will heal quickly.
Desensitization
Lasers can also be used for desensitizing. Many patients have recession around the gumline, making their teeth sensitive. We have seen great relief from using the laser in these cases.
Treatment process for desensitizing
The settings for desensitizing are similar to those used for herpetic lesions. In other procedures, the tip of the laser is pointed at the tissue. With desensitizing, you’ll point the laser at the area of recession.
Holding the laser about 2 mm away from the area of recession, use the cross-hatching motion described above. Start with a low power setting of 0.3W and spend about 30 seconds on area of concern. Then adjust the power to 0.4W, followed by 0.5W, then to 0.6W, moving on to 0.7W, and then finishing with 0.8W. From here we can test the area by asking the patient how it feels. Repeat the laser process if needed.
To get the best results on desensitizing tooth surfaces, place fluoride varnish on the area you’ll be lasering. As you lase the areas, the fluoride varnish travels into the tubules of the root surface. You may need to reapply the varnish a few times during the procedure. This application has had very promising clinical results.
The articles in this series continue to describe applications that dental hygienists can regularly perform with lasers. Make sure you always have a laser ready so you can use it throughout the day on your patients.
Author’s note: The Academy of Laser Dentistry is a good resource.
Editor’s note: This article first appeared in Through the Loupes newsletter, a publication of the Endeavor Business Media Dental Group. Read more articles and subscribe to Through the Loupes.
About the Author
Angie Wallace, RDH
Angie Wallace, RDH, has been a clinical hygienist for more than 35 years. She is a member of the Academy of Laser Dentistry (ALD), where she obtained her advanced level proficiency, educator status, Recognized Course Provider status, and mastership. Angie is the chair for education on the ALD Board of Directors and serves on both the Regulatory Affairs and Auxiliary committees. She has a laser education consulting company, Laser Hygiene, LLC, and has been recognized as a worldwide speaker. Contact her at [email protected].




