Quit smoking, start vaping: Good advice (or not)?
As a dentist, I have watched patients, friends, and family go through the challenge of giving up smoking. If ever there was a reason why quitting tobacco is so important, it’s the fact that half of all smokers die from a smoking-related disease. When you’re hooked on tobacco, it makes stopping smoking incredibly hard. In fact, less than one in 10 US smokers manages to successfully quit each year.1
E-cigarettes or vaping (with or without nicotine) is promoted as a solution to help smokers on their journey toward health, with headline reports that vaping makes it twice as likely for people to succeed in comparison to using other nicotine-replacement therapies. However, on closer inspection, the “twice as likely” claim is a bit misleading, as it sounds like a massive difference in the success rate of stopping smoking with vaping. The reality is that for every 100 smokers using vapes to quit smoking, only 14 might succeed; compare this with six who use other nicotine products like gum or patches. Sadly, both numbers are low and demonstrate the addictive potential of tobacco.2
So, as our local trendy vape shop displays, should we recommend “Quit smoking and start vaping” (figure 1)?
With the help of media and advertising campaigns, cigarette smoking has become less popular, yet young and old have taken up vaping routinely. Evidence shows that when people stop smoking by using vaping as an aid, the vast majority continue with the new vaping habit for the long term.2 Some continue smoking and vaping. But are all the people who are vaping former smokers?
My teenage daughter tells me almost everyone her age has tried vaping! And her experience is borne out by Public Health England’s recent report on nicotine vaping that shows a doubling in just the last year of 11- to 18-year-olds being occasional or regular vapers in 2022.3 Unfortunately, by making the products socially seductive the young, nonusers are taking up the addiction to nicotine with a vape. The vaping industry will quickly and correctly point out that nicotine in and of itself is not the biggest cause of harm to health from tobacco. Taking on a new perpetual habit of vaping is less damaging to health than smoking, but it is not the same as quitting. If you are a nonsmoker, beginning an addiction to nicotine should not be encouraged by suggesting that vaping carries minimal to no risks.
You may also be interested in …
- Teens and vaping: What dental professionals need to know
 - Vaping and dental decay: New research suggests strong tie
 - Vaping and oral health: It's worse than you think
 - Vaping and its link to COVID-19 severity
 
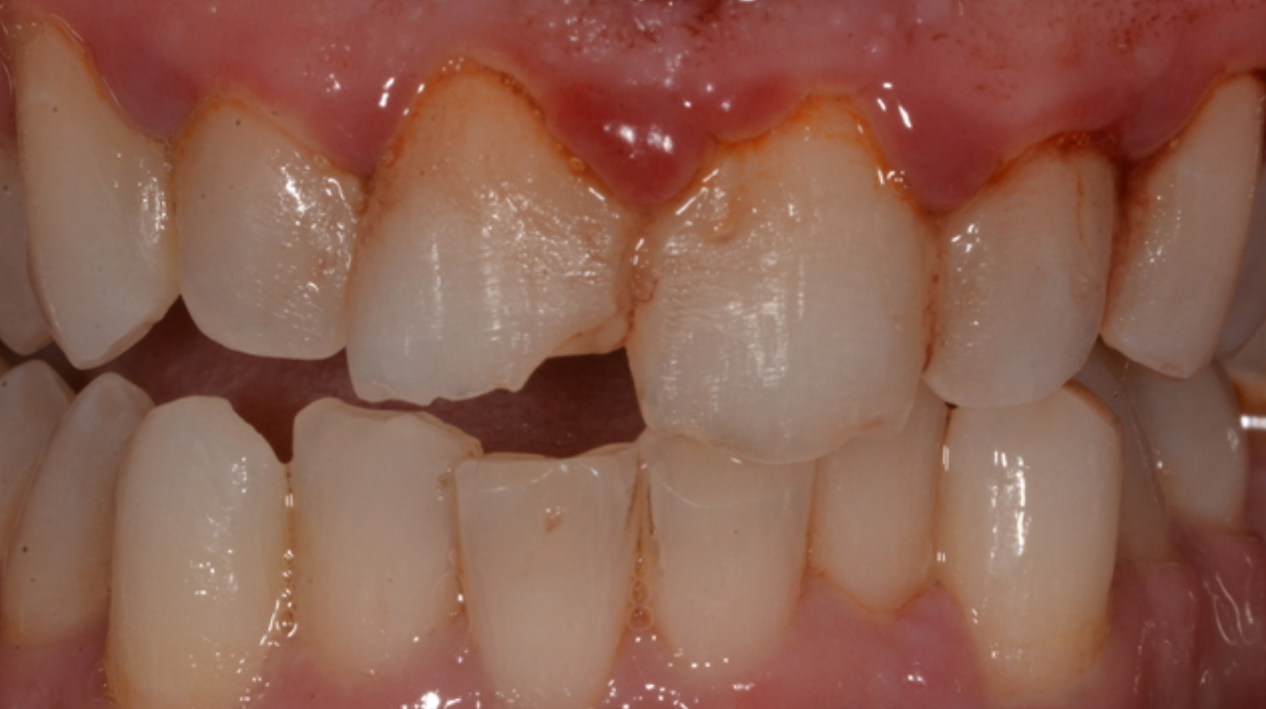
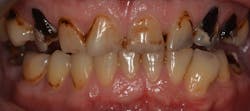
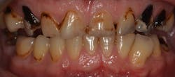
Tobacco risks
There is no doubting the harm tobacco causes to general health from the tar and carbon monoxide, but it also impacts five key areas in the dental sphere (figure 2):
- Increased risk of oral cancer
 - Periodontal disease/peri-implantitis leading to the loss of teeth and dental implants
 - Dry mouth (xerostomia)
 - Caries with reduced protection from saliva
 - Halitosis and tooth discolouration
 
The quick message is that if you use tobacco, then vaping with nicotine appears to be far less harmful to your general health in the short and medium term. Therefore, with our current information, I would say “vape on” to tobacco smokers. E-cigarettes and nicotine vaping are far less harmful than tobacco and is a move toward health.2
Vaping risks
If you are starting from the other side and trying out vaping as a nonsmoker, recent reports into the effects of vaping on the mouth should be of concern. Vaping works by heating an e-liquid within the device to produce a water-based vapor. These are the main ingredients:
- Propylene glycol
 - Vegetable glycerine
 - Flavorings
 - Nicotine
 
There is another form of e-liquid called nicotine salt, which has benzoic acid as an added ingredient. Smokers may prefer this as it is thought to give a similar nicotine experience to smoking tobacco. Benzoic acid has a similar pH to citric acid (pH 3.2) and has been shown to be highly erosive in enamel erosion studies.4 However, with nicotine being alkaline, the overall pH of the vape can vary greatly; one study reports a pH 5.1–9.1.5
E-liquid manufacturers recommend these ingredients on the basis that they have been approved within the food industry. Concerns in dental research are that, when heated, these original ingredients create many by-products from thermal degradation. This affects the mouth in unpredictable ways, making studying the effects of vaping challenging.
The idea of these ingredients being generally recognized as safe (GRAS) in the food industry is not appropriate to the vaping situation. When we eat, we produce more saliva to neutralize and buffer acids, whereas when we inhale, we don’t produce the same quantity of saliva. Hence, the protection to our mouth can be less despite some of the ingredients of e-cigarettes being similar in cariogenicity and acidity to food products.6
Vaping’s suspected method of harm to the mouth
The vapor inhaled into the mouth can be quite viscous and stick to the teeth and mucous membranes. This alters the biofilm and moves the oral microbiome away from the protective commensal bacteria and toward a dysbiotic state for both caries and periodontal disease.7
Let’s look at the ways tobacco damages oral health (again listed below) and see if each applies to the risks of vaping:
- Increased risk of oral cancer
 - Periodontal disease/peri-implantitis leading to the loss of teeth and dental implants
 - Dry mouth (xerostomia)
 - Caries with reduced protection from saliva
 - Halitosis and tooth discolouration
 
Oral cancer
What’s the evidence at this stage that vaping is anything like the one in three cases of oral cancer that are attributable to smoking or chewing tobacco? Vaping toxicology studies have identified possible contributors to increased risk of oral harm from nanoparticles, volatile organic compounds, carbonyls, and heavy metals.6 However, a clinical study by Yang et al. in 2020 found cytological studies of oral mucosa scraping that cell damage was significantly decreased in the vaping group compared with smokers and similar to the healthy nonsmoking group.8 At this stage, therefore, oral cancer risk does not appear to be linked to vaping.
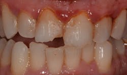
Periodontal disease/peri-implantitis
The polyethylene glycol and glycerol components of vaping have been shown to increase the biofilm volume and alter the oral microbiome.6 There appear to be differences in smokers, nonsmokers, and people who vape versus those who have never smoked. Given that many people who vape were originally smokers or are concurrently smoking and vaping, it’s challenging to identify implications for these differences in the three groups at this stage in the scientific literature.
We are aware that smoking tobacco is strongly associated with gingivitis, bone and tooth loss through periodontitis, and early failure of dental implants through peri-implantitis. There is greater plaque and calculus accumulation in smokers. The risk appears to be less with vaping but more than in nonsmokers.6 Where vaping sits in this continuum is currently difficult to assess, but there do appear to be clinical improvements in periodontal outcomes when patients change from smoking to vaping, and inflammation around implants is lower in those who vape compared with smokers—but higher in never-smokers (figure 3).9
We must remember that periodontitis is a chronic long-term disease. Vaping has only been around for a short time, so caution is warranted when measuring positive or negative periodontal/peri-implant parameters.
Dry mouth
Reports of xerostomia and oral irritation are common among people who use e-cigarettes, and this appears to be linked to the propylene glycol ingredients.10
Tobacco usage is associated with reduced salivary production and nicotine is known to have sympathomimetic effects, which are likely causes for hyposalivation. Both the chemicals in tobacco and the lower salivary protection from reduced saliva flow can change the oral microbiome and thus the biofilm on all mucous membranes, tongue, and teeth, resulting in localized dysbiosis with caries, periodontal disease, and halitosis.6
Despite the reports of reduced saliva (xerostomia) in tobacco smokers, there appear to be fewer reported effects in adolescents who use e-cigarettes, but this may be due to the variable amount of nicotine in vapes compared with tobacco (rather than the beneficial effects of vaping on saliva flow).11
Great concern remains as to the impact vaping has on the oral microbiome, with evidence that there may be similar or greater risks of harm than tobacco smoking, but we simply have not had enough data to show it yet.7
Caries
As we are aware that the risk of caries is multifactorial, a recent study showed a higher risk of caries in those who vape compared with nonvaping groups.12
It is likely that changes in saliva quality and quantity in the oral microbiome caused by e-cigarettes and tobacco result in a higher caries risk. It has been shown there is potential for the ingredients in e-liquids to be metabolized and offer advantages in the adherence of Streptococcus mutans to enamel.13,14 This will no doubt drive the biofilm toward a dysbiotic state that favors cariogenic bacteria.
Halitosis and tooth discoloration
Tobacco smoke leads to halitosis and tooth discoloration due to the tar, carbon monoxide, and aromatic hydrocarbons it contains. The effects of vaping on tooth staining are more challenging to pinpoint due to the diverse array of ingredients and flavorings. E-cigarettes can change the color of enamel enough to be perceived by the human eye, and this appears to be associated with the flavorings rather than the nicotine content.15 It is also likely in nicotine-based vapes, which have a sympathomimetic effect, that a decrease in saliva quantity and its lubricating effect will make staining more likely.
Smoker’s breath is well recognized and caused by an increase in volatile sulphur compounds (VSC) produced by bacteria favored in the dry-mouth conditions of a smoker. A pilot study (sponsored by British American Tobacco with their e-cigarette product) found that e-cigarettes did not cause the same bad breath as smokers and was not significantly worse than in nonsmokers. But given the support and small sample size care, care must be taken in reporting this result.16
Other gas chromatography results show that there are demonstrable differences in the breath of smokers, e-cigarette users, and nonsmokers. At this stage, it’s unclear what degree of harm can be quantified by the chemicals identified in the e-cigarette group.17
Passive exposure
Although fewer chemicals are produced by vaping compared to smoking tobacco, particulate matter is still released that can be inhaled by others through passive exposure. E-cigarette passive exposure can result in airway irritation and inflammation in as little as 30 minutes.18 Nicotine measured in the saliva of people who live with smokers and e-cigarette users (with nicotine vapes) were found to be similar, showing passive exposure occurs.19 Recent evidence also indicates that those who live with people who vape can suffer from worsened mental health similarly to those who live with smokers; and this may also be associated with the nicotine exposure.20
Much more information is needed to determine the risks of the different vapes, but in the meantime, it’s best to avoid vaping indoors or in areas of limited ventilation.
Environmental cost of lithium/plastic in disposable vapes
Although the damage vaping causes needs to be better studied, we cannot ignore the fact that vaping carries an environmental cost too (figure 4). It is estimated that 5.4 million single-use vapes in the UK are thrown away each month, amounting to 10 metric tons of lithium each year as well as waste from plastics and other hazardous chemicals. Lithium is a key element in batteries and necessary for the shift away from fossil fuels, but at this stage, there is no onus on retailers to recycle the batteries, and single-use vapes are often disposed into landfills. Recommendations have been made in the UK Parliament to tackle the damage caused by disposable vapes.21
Recommendations for smokers and vapers
Vaping is still very new, and good long-term scientific research is limited. Unfortunately, this leaves dental care teams with only the beginnings of knowledge to make helpful recommendations to their patients who use tobacco and e-cigarettes.
Stopping smoking is hard, and vaping has been shown to be helpful in breaking the habit. Given the irrefutable evidence that tobacco is so harmful, the relative risks of vaping should be taken seriously. Ultimately, not vaping should be the goal as there are clear signposts of long-term risks from e-cigarettes to users, people in the vicinity, and the environment. Nonsmokers should be clearly discouraged from taking up the habit of vaping.
Non-nicotine alternatives can be offered to help with improving oral health throughout the day, as well as promoting fresh breath. Sugar-free gum or dental mints (such as Dr. Heff’s Remarkable Mints) can help stimulate saliva and reduce caries.22 All interactions dental professionals have with smokers should include an acknowledgement and record of tobacco/vape usage, an encouragement to stop smoking, and brief advice telling smokers that the best way to quit is with professional support.23
Disclosure: Dr. Michael Heffernan is cofounder of Dr. Heff’s Remarkable Mints. Research (reference 22) was also carried out independently by the University of Chicago Dental School and published in a peer-reviewed journal.
Editor’s note: This article first appeared in Through the Loupes newsletter, a publication of the Endeavor Business Media Dental Group. Read more articles and subscribe to Through the Loupes.
References
- Smoking cessation: fast facts. Centers for Disease Control and Prevention. Office on Smoking and Health. National Center for Chronic Disease Prevention and Health Promotion. Reviewed March 21, 2022. Accessed July 22, 2022. https://www.cdc.gov/tobacco/data_statistics/fact_sheets/cessation/smoking-cessation-fast-facts/index.html
 - Hartmann-Boyce J, Lindson N, Butler AR, et al. Electronic cigarettes for smoking cessation. Cochrane Database Syst Rev. 2022;11(11):CD10216. doi:10.1002/14651858.CD010216.pub7
 - Nicotine vaping in England: 2022 evidence update main findings. Office for Health Improvement and Disparities. September 29, 2022. https://www.gov.uk/government/publications/nicotine-vaping-in-england-2022-evidence-update/nicotine-vaping-in-england-2022-evidence-update-main-findings
 - Cardoso C, Branco AC, Serro AP et al. Evaluation of the effect of citric and benzoic acids on the enamel morphology and wear resistance. Presented at: The 10th International Conference BALTTRIB; November 14-16, 2019; Kaunas, Lithuania. doi:10.15544/balttrib.2019.46
 - Lisko JG, Tran H, Stanfill SB, Blount BC, Watson CH. Chemical composition and evaluation of nicotine, tobacco alkaloids, pH, and selected flavors in e-cigarette cartridges and refill solutions. Nicotine Tob Res. 2015;17(10):1270-1278. doi:10.1093/ntr/ntu279
 - Holliday R, Chaffee BW, Jakubovics NS, Kist R, Preshaw PM. Electronic cigarettes and oral health. J Dent Res. 2021;100(9):906-913. doi:10.1177/00220345211002116
 - Kumar PS, Clark P, Brinkman MC, Saxena D. Novel nicotine delivery systems. Adv Dent Res. 2019;30(1):11-15. doi:10.1177/0022034519872475
 - Franco T, Trapasso S, Puzzo L, Allegra E. Electronic cigarette: role in the primary prevention of oral cavity cancer. Clin Med insights Ear Nose Throat. 2016;9:7-12. doi:10.4137/CMENT.S40364
 - ArRejaie AS, Al-Aali KA, Alrabiah M, et al. Proinflammatory cytokine levels and peri-implant parameters among cigarette smokers, individuals vaping electronic cigarettes, and non-smokers. J Periodontol. 2019;90(4):367-374. doi:10.1002/JPER.18-0045
 - King JL, Reboussin BA, Wiseman KD, et al. Adverse symptoms users attribute to e-cigarettes: results from a national survey of US adults. Drug Alcohol Depend. 2019;196:9-13. doi:10.1016/j.drugalcdep.2018.11.030
 - Chaffee BW, Halpern-Felsher B, Cheng J. E-cigarette, cannabis and combustible tobacco use: associations with xerostomia among California adolescents. Community Dent Oral Epidemiol. 2023;51(2):180-186. doi:10.1111/cdoe.12721
 - Irusa KF, Finkelman M, Magnuson B, Donovan T, Eisen SE. A comparison of the caries risk between patients who use vapes or electronic cigarettes and those who do not: a cross-sectional study. J Am Dent Assoc. 2022;153(12):1179-1183. doi:10.1016/j.adaj.2022.09.013
 - Benedetti G, Campus G, Strohmenger L, Lingström P. Tobacco and dental caries: a systematic review. Acta Odontol Scand. 2013;71(3-4):363–371. doi:10.3109/00016357.2012.734409
 - Kim SA, Smith S, Beauchamp C, et al. Cariogenic potential of sweet flavors in electronic-cigarette liquids. PLoS One. 2018;13(9):e0203717. doi:10.1371/journal.pone.0203717
 - Pintado-Palomino K, Barros de Almeida CVV, Oliveira-Santos C, Pires-de-Souza FP, Tirapelli C. The effect of electronic cigarettes on dental enamel color. J Esthet Restor Dent. 2019;31(2):160-165. doi:10.1111/jerd.12436
 - Dalrymple A, Coburn S, Brandt M, Hardie G, Murphy J. Pilot study to determine differences in breath odour between cigarette and e-cigarette consumers. Sci Rep. 2022;12(1):2204. doi:10.1038/s41598-022-06047-4
 - Papaefstathiou E, Stylianou M, Andreou C, Agapiou A. Breath analysis of smokers, non-smokers, and e-cigarette users. J Chromatogr B Analyt Technol Biomed Life Sci. 2020;1160:122349. doi:10.1016/j.jchromb.2020.122349
 - Tzortzi A, Teloniatis SI, Matiampa G, et al. Passive exposure to e-cigarette emissions: immediate respiratory effects. Tob Prev Cessat. 2018;4:18. doi:10.18332/tpc/89977
 - Ballbè M, Martínez-Sánchez JM, Sureda X, et al. Cigarettes vs. e-cigarettes: passive exposure at home measured by means of airborne marker and biomarkers. Environ Res. 2014;135:76-80. doi:10.1016/j.envres.2014.09.005
 - Farrell KR, Weitzman M, Karey E, Lai TKY, Gordon T, Xu S. Passive exposure to e-cigarette emissions is associated with worsened mental health. BMC Public Health. 2022;22(1):1138. doi:10.1186/s12889-022-13470-9
 - Smith L, Sutherland N. The environmental impact of disposable vapes. House of Commons Library. Debate Pack. November 28, 2022. https://www.drugsandalcohol.ie/37611/1/The%20environmental%20impact%20of%20disposable%20vapes.pdf
 - Zamperini CA, Bedran-Russo AK. Remineralization potential of mints containing bioactive agents in artificially induced root caries. Caries Res. 2018;52(4):331-338. doi:10.1159/000485982
 - Very brief advice (VBA) on smoking: the evidence. National Centre for Smoking Cessation and Training. 2022. https://www.ncsct.co.uk/publication_very-brief-advice.php
 
About the Author

Michael Heffernan, BDS, MS
Michael Heffernan, BDS, MS, graduated from Guy’s Hospital (UK) and completed his master’s degree in prosthodontics at the University of Iowa. His research won the prestigious John J. Sharry Research Prize from the American College of Prosthodontists. He was awarded a scholarship at the University of Florida in a dedicated implant fellowship. He practices in the UK, is a clinical lecturer at the Eastman Dental Institute (UCL), and cofounded Dr. Heff’s Remarkable Mints. For more information, email [email protected].
Updated June 13, 2023






