What's My Doctor Doing In There? Root Canals Explained: Part 1
By Richard Mounce, DDS
Pain relief through being prepared and efficient in delivering root canal treatment builds trust with patients. A prepared and educated staff can go far toward making this happen. Preparation and efficiency occurs from the first phone call through the treatment, right up to the six-month and hopefully two-year recall, which should take place post treatment. The doctor, while one component of the treatment experience, is by no means the only determinant of the final result. The staff members who assist the doctor are a vital addition in creating an excellent result. This article was written to aid the staff to provide their doctors the best possible support in delivery of care.
Endodontics for the Front Desk
Achieving an excellent endodontic result has its beginning in the initial phone call to the practice. How does the receptionist know if the patient needs a root canal and if the patient must be seen right away? What options does the staff member then have for dealing with that patient, i.e., should the patient be referred or should the patient come in for an immediate access procedure (pulpotomy or pulpectomy)? If possible, can the tooth be finished in one visit? Are the staff and doctor willing and able to fit emergencies into the schedule and actually perform the needed treatment for the patient in a safe, efficient and comfortable manner? All good questions that fortunately often have simple answers.
Knowing what a root canal is and what it can and cannot do is often key to understanding the answers to these questions. The pulp which occupies the root canal space of a tooth when it is insulted by drilling, decay, cracks, cementation, impressions, etc. can, when a given threshold of insult is surpassed, inflame the pulp irreversibly and ultimately the pulp can die. This irreversible inflammation is known as an irreversible pulpitis. When the pulp reaches this state of disease, it will not heal and will not become healthy once again.
In the most general sense, teeth that need root canals fit into three categories: vital irreversibly inflamed pulps, necrotic (dead) pulps, and retreatment cases (failed root canals). Due to space limitations, diagnosis of failed root canal treatment will not be addressed. In general practice, patients who are in the midst of treatment plans often have irreversible pulpitis as a diagnosis. This situation would be typified by a tooth that has had a new crown or filling (most often close to the pulp or a direct pulp cap) and the patient develops symptoms. These symptoms are lingering pain to cold and/or hot, pain with biting, and sharp spontaneous pain (usually this is manifest as pain that wakes someone up or arises on its own during the day). If the patient calls with these symptoms, he or she needs a root canal and no amount of time will reverse the dying pulp condition. It is possible that a tooth with these symptoms could become pain free, but in fact this means that the nerve has most likely died without symptoms. Such a dead pulp will later become infected, most often accompanied by an apical abscess, swelling and significant pain. For example, if a patient has had a crown cemented or a filling recently and suddenly the tooth becomes sensitive to hot and cold (a sharp sensitivity that lingers) and spontaneously painful, the tooth needs a root canal without exception. Telling the patient that he or she should give it time is counterproductive and often the precursor of lost trust and a lost patient.
Necrotic pulps that become symptomatic usually have dull pain associated with them that is perceived as a pressure pain, especially to biting. Asking the patient if the pain is sharp or dull, present to hot and cold and lingers, painful when chewing, bad enough to wake him or her up, or is spontaneous tells the staff if the problem needs immediate attention and evaluation for root canal treatment, or immediate referral if the doctor does not do his or her own root canal treatment. These symptoms are clear indications for root canal treatment.
Endodontics for the Assistant
In the empirical opinion of the author, there are two things the assistant can do to best aid the doctor in root canal treatment: 1) anticipate the doctor’s next step during treatment, and 2) have all the needed supplies and equipment ready. While these may seem similar, in fact they are substantially different .
Having all the equipment ready means knowing exactly what materials are used by the clinician at any given stage in any given endodontic procedure. It is especially important for new assistants to have a detailed discussion with the doctor and existing staff about the clinical steps that are to be carried out. Endodontic procedures can be very different events if they are carried out with hand files and cold lateral condensation, carrier based (there are warm and cold carrier techniques), or performed with warm techniques under a surgical microscope. While the choice of the technique is the doctor’s and the doctor’s alone, it is valuable to understand the basic technique that the doctor is using in detail.
For the assistant, knowing what is clinically occurring during root canal treatment can go a long way toward making the procedure more efficient and comfortable for the patient, staff and doctor. In the most general sense, endodontic equipment is broken down into two general areas -- instruments for cleaning and shaping root canal systems, and instruments for obturating (filling) them. A comprehensive discussion of every system is not possible, but it is instructive to discuss the empirical choices of the author as to the chosen armamentarium, and also how this is used with an eye toward universal strategies that can be applied to all instrument systems and techniques.
As a starting place, a discussion of how many and what type of digital pictures should be taken in advance of treatment is worth noting. Ideally, the clinician would want to take at least 2 films from different angles and more ideally 3 angles, mesial, distal and straight on from the buccal. Taking such multiple images from different angles with digital radiography is most ideal for ease of capture, timesaving and ability to interpret the various images using software. DEXIS is the chosen imaging system of the author (DEXIS digital radiography, Alpharetta, GA, USA). Patients will appreciate the reduced radiation and the lack of developing chemicals being used.
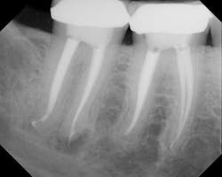
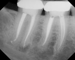
The author utilizes the K3 rotary nickel titanium (RNT) system and the elements obturation unit to deliver a RealSeal bonded obturation (SybronEndo, Orange, Calif.) with the SystemB obturation technique. The goal of these materials and technique is the 3-D cleansing, shaping and obturation of the canal space from the orifice to the apical foramen. In the empirical opinion of the author, these materials and technique choices are the state-of-the-art choices for endodontic treatment at the present time. See Figures 1 through 4.
Irrespective of the particular instruments used, to the greatest extent possible the goal is to achieve for the patient the net effect of extracting the tooth. Extraction works because the diseased pulp is removed and as such the patient heals. If the pulp space is properly cleansed and shaped the patient can heal because the irritated, inflamed or dead (in all cases, pathologic pulp) has been removed. See Figure 4.
RNT root canal files make enlarging root canal systems far easier than doing them by hand. For an assistant to have all the needed files and equipment arranged on the working surface in the order that they will be used has great value in allowing the most efficient treatment process. Discussing with your doctor the materials used and the order of their use prior to treatment is essential. Such dry runs and explanations from your doctor will go far toward making sure that all of the needed supplies and equipment will be available. The worse situation is an operatory which is not ready and during the treatment the staff member has to get up and get needed materials from plastic bins on shelves. The patient knows that such delays are due to a lack of preparation and this does not inspire confidence on their part.
Ideally, all the needed materials are laid out in a logical and agreed upon order. File sponges for both hand files and RNT files sponges should be laid out in agreed upon order in advance of the patient being seated. The author’s file sponge is pictured in Figure 5. This file sponge is used from left to right where the hand files are used for canal negotiation, and to create space for the rotary nickel titanium files that will come after the canal is open and negotatible. In the most general sense endodontic treatment with RNT files is preceded by hand filing first, with small hand K files (sixes and eights) preceding their larger counterparts.
Cold lateral condensation is a time-honored technique where a single master point of gutta percha is inserted into the canal cold, and other pieces of gutta percha are compacted next to them. Carrier based delivery techniques have had some acceptance with general dentists and very little, if any, within the endodontic specialty community for a host of reasons. In both cold and warm carrier based techniques the idea is similar; the gutta percha is taken down into the canal by means of a holder or carrier. Warm obturation techniques that do not rely upon a carrier have gained significant and growing popularity around the world over the past two decades. In these methods, a master cone is placed into the canal and condensed with heat and pressure into the prepared canal shape. SystemB and the vertical compaction of warm gutta percha are the two primary warm obturation techniques, along with other lesser-known hybrids of these two. The author is a strong advocate of the SystemB technique because it is predictable, safe, economical, creates post space as needed in a single down pack of the canal, does not leave a carrier, is easy for both clinician and assistant, allows excellent visualization of the obturation as it unfolds, and is simple in terms of materials and technique.
Knowing exactly which of these techniques your doctor has chosen and being very familiar with them can go far toward making you as effective as possible. As mentioned, having to get up and obtain new supplies and materials several times during a procedure is distracting and deters from the mental focus that the clinician can bring to the procedure. Having written lists of what is needed to refer to that are updated as changes are made is most ideal.
In summary, the office staff can go far toward helping the clinician deliver excellent endodontic therapy. If informed and attentive, the front desk staff can more accurately assess the needs of the patient over the phone and have an idea when a patient needs to come in immediately for evaluation and treatment and when it is less urgent. The back office staff can be best prepared for the treatment by having all the needed equipment out and ready before treatment commences and once it does, allowing it to proceed efficiently and uneventfully. I welcome your feedback and questions.
Biographical Sketch
Richard Mounce, DDS lectures globally and is widely published. He is in private practice in endodontics in Portland, Ore. Among other appointments, he is the endodontic consultant for the Belau National Hospital Dental Clinic in the Republic of Palau, Korror, Palau (Micronesia). He can be reached at [email protected].
Dr. Mounce does not have any commercial interest in any of the products mentioned in this article.






