The Orthodontic Referral: Why and When?
WRITTEN BY
Diane J. Milberg, DDS, MSD
There are many whys to address when one is considering an orthodontic referral. If dentists systematically search for clues during routine exams, they can easily determine the need for orthodontic treatment. The when is equally important. For young patients, early identification of developing orthodontic problems can prevent severe malocclusions and future periodontal problems.
Checklist #1
First, evaluate the patient’s facial pattern, overall dental health, and eruption sequence of permanent teeth:
✔ From the frontal view, examine the patient’s face for overall facial symmetry and balance. See if the chin is properly aligned with the maxillary facial bones and upper incisors. If not, there may be a mandibular functional shift or an asymmetrical mandibular growth pattern.
✔ Examine the patient’s profile with the lips at rest. Young children should have a convex profile. A flat profile may indicate a lack of maxillary horizontal growth or a mandibular prognathism.
✔ Look at the lip posture. Do the lips comfortably close around the teeth at rest? Are the upper incisors exposed and do they protrude onto the lower lip? If so, wearing a mouthguard during active sports will protect the upper incisors from fracture or trauma.
✔ Notice the patient’s smile. Does he/she smile with the lips covering the front teeth? Are crowded, spaced, or protruding maxillary incisors an esthetic issue with the patient? Even at a young age, improved self-confidence can result from well-aligned maxillary incisors.
✔ Consider overall dental health, especially the texture and color of the gingival papilla around the maxillary incisors. Mouth breathers often have hypertrophied gingival tissue due to dryness from air exposure. Check the patient’s medical history for allergies, airway problems, enlarged tonsils, and loud snoring. A referral to an allergist or ear, nose, and throat doctor may be in order.
✔ Look at the width of the tissue attachment on the labial and lingual aspects of the teeth. An overall broad area of attached tissue is essential when considering dental expansion to alleviate minor crowding problems. Patients with severely crowded teeth and a thin band of attached gingiva can experience gingival recession.
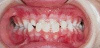
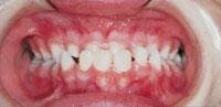
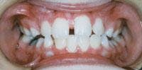
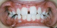
✔ Check for broad frenum attachments between the maxillary central incisors, which insert into the attached gingiva. If the attachment blanches when the lip moves and a radiolucent line is visible on a periapical X-ray, a frenectomy may be indicated. Orthodontic tooth movement will be necessary to close large midline diastemas.
✔ Look for areas of decalcification and decay. A high rate of decay may lead to a loss of arch length. Ask the patient about brushing and flossing frequency. Good oral hygiene is essential prior to the initiation of orthodontic treatment.
✔Count the teeth in the mouth and on the X-rays to be sure that they are all present. This may seem unnecessary, but it is easy to miss a congenitally absent lower incisor or an extra tooth.
✔ Is there spacing between the primary teeth? Interdental spacing of the deciduous teeth is ideal, since the permanent incisors and canines are larger than their predecessors. Think of the deciduous teeth as “natural space maintainers.”
✔Crowded deciduous incisors lead to crowding of the permanent incisors. Consider an orthodontic consultation to determine how to avoid future crowding of the permanent incisors. Early extraction of deciduous teeth can be a quick fix for crowding of the permanent incisors. Patients with crowded permanent incisors and ectopic eruption of permanent first molars will probably need permanent teeth extracted in the future.
✔ Take periapical or occlusal X-rays of patients who are seven years old or younger to compare the size difference between the deciduous and permanent incisors. Look for congenital absence of permanent teeth. Maxillary lateral incisors, mandibular second bicuspids, and mandibular incisors are the most common congenitally absent teeth. Look closely for supernumerary teeth, which will often prevent eruption of a permanent incisor.
✔ A panoramic X-ray by the age of nine or 10 will reveal the eruption angle of the permanent canines to identify a potential impaction. Early extraction of the deciduous canines is indicated when a permanent canine is erupting at an unfavorable angle. Continue to monitor the eruption of the permanent canines in cases when the eruption angle is questionable. Refer to an orthodontist if an unerupted permanent canine is overlapping the lateral incisor root. Early surgical exposure of an impacted canine will allow it time to erupt into the mouth with fewer problems, such as pressure resorption of adjacent teeth.
Checklist #2
The second part of the checklist involves indications for a first phase of orthodontic treatment. Parents often question the value of a first phase of orthodontic treatment. They do not understand why their child “has to wear braces two times, instead of once.” Early orthodontic treatment will intercept developing problems and guide the eruption of the permanent teeth. Early orthodontic treatment can reduce the treatment time of full braces. Patients with anterior and/or posterior crossbites, developing arch length deficiencies, or severe maxillary incisor protrusion benefit a great deal from early treatment.
A typical orthodontic treatment sequence is Phase I, removable appliance and retainer wear, and observation of tooth eruption and retainers, which is less than 16 months, and Phase II, full braces. The timing of Phase I should take into consideration the patient’s ability to cooperate with appliance care and oral hygiene.
Functional appliance and headgear wear is better in younger patients with Class II skeletal patterns, due to better parental supervision. Protraction headgear in conjunction with palatal expansion is an effective technique to reduce the severity of maxillary deficiencies associated with Class III skeletal patterns.
Ectopically erupting permanent first molars can often be uprighted into an ideal position without extraction of deciduous second molars. A deep anterior overbite is easier to correct in growing children than after facial growth is completed.
An anterior open bite indicates a thumb- or finger-sucking habit, forward tongue posture, flaccid tongue muscle, or mouth breathing due to airway issues. Watch the patient swallow. Look for a hyperactive mentalis muscle, tongue thrust, or lip strain.
Listen to the patient’s articulation with the th, s, and r sounds. Parents may dismiss their child’s slurred pronunciation because they are accustomed to hearing it. Early referral to a speech or myofunctional therapist can help improve muscle balance and close anterior open bites.
Correction of lingually positioned maxillary central incisors will prevent labial stripping of the lower incisor gingival attachment. Palatally erupted maxillary laterals are more easily aligned prior to eruption of the maxillary permanent canines.
Taking a few extra minutes during the dental exam to evaluate the patient’s facial and dental development is time well spent. Early referral to an orthodontic specialist will facilitate timely corrections to reduce time in braces and prevent future dental problems. ■
Diane J. Milberg, DDS, MSD
Dr. Milberg is an orthodontist in private practice in San Diego and Coronado, Calif. She attended the UCLA School of Dentistry and the University of Washington Orthodontic Program. She is a member of the Edward Angle Society and is board-certified with the American Board of Orthodontics. Contact her at [email protected].











