Message in a Bottle Mailbag: Presenting comprehensive treatment plans
THE MESSAGE IN A BOTTLE MAILBAG is a monthly feature of the e-newsletter, Pearls for Your Practice: The Product Navigator. Each month, Editorial Director Joshua Austin, DDS, MAGD, answers reader-submitted questions to help you navigate your dental product decisions (and more!).
This month, he responds to a question about presenting comprehensive treatment plans and explains how it can be done using Digital Smile Design.
Question
Jeff from Texas asked: At my study club meeting a few weeks ago, there was an in-depth conversation about presenting patients with comprehensive treatment plans. What are your thoughts—any ideas about the best way to do that?
Answer
What a question. I can tell you I have no idea what the best way is because every person will have a different way that works best. For me and my practice, photography is the best way to discuss complex needs with patients. There is no way to have certain discussions without showing patients what their conditions are. I think a digital single-lens reflex (DSLR) camera is the best way to photograph teeth, but I know many people are intraoral camera fans.
Personally, I don’t think intraoral camera photographs are as high in quality as the photographs that can be taken with a DSLR camera. And in my opinion, the key here is quality—the higher the definition of the photos, the better. It's hard to get patients to accept treatment if they don’t understand the problem.
I also think looking at static photos on these cases will be antiquated soon. I think Christian Coachman is going to change it all. Digital Smile Design and the Motivational Mock-up are particularly useful for cases that involve esthetic issues, and most complex comprehensive treatment plans do.
Author's note: If you aren’t familiar with Digital Smile Design, check out some of the videos about it on YouTube. You will see some great examples of the process.
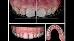
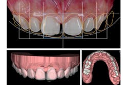
The process starts with some photos and video recording using the Digital Smile Design app. Using this imaging, models or an intraoral scan, and a CBCT (if implants are involved), a DSD-certified laboratory builds the restorative dentistry digitally with its software.
Merging photographs with an intraoral scan, ideal form and contour can be planned with Digital Smile Design, providing a road map to a beautiful final result.
The lab overlays the restored teeth and smile on current photos of the patient so you can illustrate the changes possible with restorative dentistry. That digital wax-up then gets transferred to a model and is shipped back to your office with a putty stent.
The stent is used for the Motivational Mock-up. When the patient comes in to review the photos, you can use the putty stent to close the case. Fill the stent with bisphenol A-glycidyl methacrylate (bis-GMA) provisional material and seat it in the patients mouth. After it sets, remove the matrix and show the patient how restorative dentistry can change his or her smile. I don’t think there is a more powerful way to demonstrate the potential of dentistry than the Motivational Mock-up.
Check out Digital Smile Design for yourself. I think this will be the key to getting patients to agree to treatment. It is the next step for digital dentistry!
Editor's note: Do you have a question for Dr. Austin? Is there a product you'd like to see him review? Or would you like to submit your own Pearl? Send an email to [email protected]. You might just see it in the e-newsletter, Pearls for Your Practice: The Product Navigator! If you're not a Product Navigator subscriber, click here to sign up.
More reading
Using an intraoral scanner for implants, creating veneers with Lava Esthetic
Is long-term use of loupes unhealthy?
Can curing light exposure cause vision problems?
For the most current dental product articles, click here.
For the most current dental headlines, click here.
About the Author

Joshua Austin, DDS, MAGD
Joshua Austin, DDS, MAGD, writes the Pearls for Your Practice column in Dental Economics. After graduating from the University of Texas Health Science Center Dental School, Dr. Austin associated for several years. In October 2009, he opened a solo general practice in a suburban area of San Antonio, Texas. Dr. Austin is involved in all levels of organized dentistry and can be reached at [email protected].




