CEREC 3D Case Study
In-office design, milling, and placement of indirect, all-ceramic chairside restorations
In late 1999, I decided to take my practice into the digital age. First, I switched to electric handpieces and digital X-rays. With computers in all of my operatories, the integration of electronic charting and practice-management software was a natural progression. Later that year, I moved to cosmetic imaging. With an emphasis on technology and cosmetic dentistry, I felt it necessary to reorient the delivery of my patient care. CEREC became the technological cornerstone of my new patient-centric, all-digital, esthetically oriented practice. It just logically fit right in with my new practice philosophy and goals for the future.
I had looked at CEREC technology through all the different stages, from its earliest introduction as CEREC 1 to its development into CEREC 2. During that time, I was curious, but not convinced it was something I would be comfortable with. However, when CEREC 3 was released, I realized that the jump Sirona had made in the technology was dramatic. At this time, the system had been proven successful in practices worldwide for more than 15 years, with hundreds of clinical studies confirming the strength, fit, integrity, and longevity of the restorations it produced. After conducting more research, visiting numerous CAD/CAM dentistry sites on the Internet, and speaking with other dentists who used the system, I decided to purchase a CEREC 3. Actually, I was one of the first of a handful of private practices to take delivery of the system, merely months after it was unveiled. Now, after using the system in my practice for more than four years, and having placed thousands of CEREC restorations, I have found them to be everything I expected.
There's no doubt in my mind that the in-office milling of esthetic, ceramic restorations is the wave of the future. The ability to provide patients with complete restorative treatment in a single visit dramatically enhances the quality of patient care. The kinds of things you can do for patients with CEREC are as big as your imagination. You can adapt this technology to practically all of the applications you are already doing with conventional dentistry. And I've found it has given me the opportunity to do many things I always wanted to do but couldn't with traditional restorative techniques. In the past, if I saw a patient and thought, "What he really needs is a ceramic inlay," I would need to take an impression, send it to the lab, and make a temporary. But I'd never actually do that, because it would be cost-prohibitive. With CEREC 3D, I can say, "That patient needs a CEREC inlay," and 30 minutes later, it's done! That's the reality with CEREC 3D single-visit, chairside, all-ceramic restorations.
Clinical case
A 42-year-old woman presented with pain in the lower right quadrant. A limited examination revealed broken amalgams in Teeth Nos. 30 and 31, and generalized periodontal inflammation with bleeding upon probing. She exhibited generalized clinical attachment loss with probing depths from 3 mm to 12 mm. The patient also had heavy staining, heavy supragingival and subgingival plaque and calculus, and suppuration. The patient was guided through a course of oral hygiene instruction in flossing and brushing technique, and given adjunctive hygiene aids as deemed applicable to her circumstances. She was given a significant "short course" in the etiology of dental disease. Consequently, her level of oral hygiene rapidly improved.
Antibiotics have proven effective in decreasing pathogenic bacteria implicated in the progression of periodontal disease. A course of doxycycline hyclate of 100 mg, twice a day for 10 days, was prescribed. Four quadrants of scaling and root planing were performed under local anesthesia. Teeth Nos. 1 and 19 were extracted due to mobility and a degree of bone loss. A periodontal re-evaluation was performed, revealing a dramatic decrease in pocket depths for all four quadrants. At the time of re-evaluation, the patient had no bleeding and little or no plaque. A restorative treatment plan was then developed. CEREC all-ceramic restorations were planned for Teeth Nos. 29 through 31.
null
null
null
null
null
null
null
Excellent restorative results have been obtained with all-ceramic CAD/CAM restorations. All-ceramic restorations fabricated with the CEREC System have been reported to have a 95 percent greater-than-nine-year survival rate.1 They are reported to be very comfortable restorations with very little postoperative sensitivity and very good marginal fit.2,3 In addition, the restorations can be prepared, fabricated, and cemented in one clinical visit. CEREC all-ceramic restorations (onlays) were placed in Teeth Nos. 29 through 31.
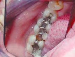
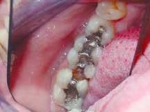
The patient presented with the mesial marginal ridge of Tooth No. 31 fractured, and the distal marginal ridge of Tooth No. 30 fractured. Secondary decay was present around the tarnished and worn amalgams in Teeth Nos. 29 through 31 (Figure 1). Following the placement of a rubber dam, the amalgam restorations and carious tissues were removed. The teeth were then prepared to proper cavity form for the placement of ceramic onlays. Next, the teeth were powdered with an optical contrasting agent (Vita) (Figure 2). A series of optical impression images were taken to record the entire lower right quadrant in the same impression (Figure 3).
The CEREC 3D software's automatic margin detector established a precisely fitting margin for the restoration of Tooth No. 31, and the occlusal morphology was also automatically proposed by the software (Figure 4). Minimal design adjustments were required, as the CEREC 3D software utilizes a comprehensive database of teeth to propose the most appropriate final anatomy for the case at hand. The restoration for Tooth No. 30 was virtually seated and the restoration for Tooth No. 29 was designed. The virtually seated Tooth No. 30 was utilized to help design and ensure the creation of an ideal proximal contact between Teeth Nos. 29 and 30 (Figures 5 and 6). All three restorations were milled by the CEREC 3D System using VITA ceramic blocks (Vident). This milling process took between seven and 12 minutes per restoration. All three restorations were milled and ready for try-in after about 30 minutes.
The teeth were once again isolated under a rubber dam. The restorations were tried in and the contacts evaluated and adjusted slightly as necessary. In preparation for cementation, the cavities were cleaned and the enamel and dentin were etched with 35 percent phosphoric acid gel for 15 seconds, rinsed, and then blotted dry. Optibond Solo Plus (Kerr) was placed in two coats with a microbrush and gently air-dried and light-cured for 10 seconds. The restorations were cleaned and etched with hydrofluoric acid porcelain etching agent (Vita). The restorations were cleaned in an ultrasonic bath of distilled water to remove the etching agent and dried thoroughly. Silane (Kerr) was applied with a microbrush, followed by two coats of Optibond Solo Plus. A dual-cured resin cement, Variolink II (Ivoclar), was placed and light-cured for 10 seconds. Following cementation, the occlusion was adjusted with diamond burs under a heavy water stream. The restorations were then polished with Ceraglaze points (Axis) (Figure 7).
Conclusion
Patients are requesting esthetic restorations. The dentist practicing in the new esthetic age should be aware of the advantages of all-ceramic inlays, onlays, partial crowns, and crowns. The CEREC 3D CAD/CAM System makes it possible to place all-ceramic restorations in one appointment. The restorative materials utilized in the CEREC 3D System have excellent wear characteristics and biocompatibility, are resistant to the forces of occlusion, and possess excellent esthetics. Bonded ceramic restorations offer the practitioner an excellent restorative choice for all regions of the mouth, and, as demonstrated in this case, are an excellent esthetic restorative option for replacing old, leaking, or fractured amalgams.
From a personal perspective, working with CEREC has given me — and my patients — greater treatment opportunities and better overall patient care. The technology allows me to offer my patients treatment options that are not viable using conventional dentistry. Simply put, CEREC provides very strong, very esthetic restorations that allow me to restore teeth that would otherwise have been condemned, since traditional restorative materials and techniques would not work. With a CEREC restoration in place, you are, in effect, strengthening the tooth. You are restoring it to a much greater strength than it had when somebody first put a bur to it. With CEREC, you can restore teeth that you could never restore with composites or amalgam. That's significant. But the part patients appreciate most is the time savings. Patients have had crowns, and they know what it's like to have a temporary — wait two weeks and then come back for the final restoration. So when I tell patients, "You're done now," they say, "Wow! That's fast ... that's really cool!" Little things like seeing patients so happy make it all worthwhile. The benefits of this new technology make me look forward to coming in to work each morning.
References
- Posselt A, Derschbaum T. Longevity of 2328 chairside CEREC inlays and onlays. Int J Computer Dent 2003; 6(3):231-248.
- CRA News, Nov. 1999; 23(11).
- Estefan D, Dussetschleger F, Agosta C, Reich S. Scanning electron microscope evaluation of CEREC 2 and CEREC 3 inlays. Gen Dent Sept./Oct. 2003.
Suzette Marie Stines, DDS
Dr. Stines owns and operates a private practice in Chadbourn, N.C., specializing in comprehensive general and cosmetic dentistry. She is a frequent lecturer to dental societies and study clubs regarding the techniques of computerized dentistry and all-ceramic restorations.








