November 2010 Ask the Expert — Christopher A. Warren from Carestream Health
Christopher A. WarrenTechnical Support EngineerImaging Consultant
Carestream Health, Inc.Exclusive manufacturer of KODAK Dental Systems
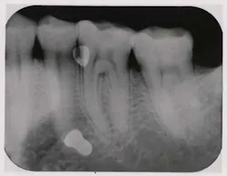
Last month we asked you to diagnose the X-ray below and send in your answers on what you think the operator may have done wrong. Today we provide you with the image’s diagnosis!Congratulations to Sarah L. Gresko, CDA, RDA, EMT-B, from Dental Studies Institute of New Jersey for correctly diagnosing last month’s image. Sarah will be awarded a $25 gift card. Great job, Sarah! Be sure to send in your diagnosis for this month’s Diagnose the X-Ray for a chance to win.
Fixer splashed on film prior to developmentX-ray answersFixer splashed on film prior to development A developed film exhibiting light blotches as shown would likely be caused from inadvertently splashing fixer on a film prior to processing, which is more likely to happen if films are manually processed. The chances of this problem occurring increase if films are removed from a packet and placed on a countertop or processor top on which fixer has not been cleaned off properly.Even if the fixer spill has dried, it can still partially or totally remove the emulsion. This may result in little or no silver left on the film to develop into an image, causing white, clear, or lighter areas on the film. To prevent this error, thoroughly clean the processor cover and countertops after processor maintenance and clean all chemical splashes up immediately. Continue reading for more tips on how to obtain high-quality images while processing manually.Tips and TricksTips for manual processorsFollow a set routineAt the beginning of each work day:
- Turn on water to begin stabilizing the solution temperatures.
- Uncover chemicals.
- Bring solutions to proper levels by adding and replenishing as recommended.
- Use a film hanger to check solution levels. Solutions must completely cover the section that holds the film; do not use clips that will not be fully immersed in the solution.
- Stir the solutions thoroughly to establish an even air temperature and concentration; use separate stirring rod for each solution (plastic or stainless steel rods — never wood)
Manual processing recommendations for intraoral radiographs
Quality radiographs begin with the selection of film and processing solutions. It is important to remember that Kodak products work best when used together. They have been the choice of dentists for many years.
The emulsion on Kodak dental film is a precise coating of dry chemicals waiting to interact with robust Kodak processing chemicals. Kodak InSight film and Kodak Ultra-Speed dental films used in combination with Kodak GBX developer and fixer were formulated to produce optimal image quality.
In manual processing, attention to good housekeeping practices and processing guidelines is essential.
Practice good housekeeping
- Wipe up spilled solutions immediately
- Wash hangers after each use (pay particular attention to hanger clips).
- Always use clean, dry hangers.
Be sure to look for the cause of the problem and Chris’s recommendation in our next issue!Contact usHave a question or concern about your KODAK dental film? If so, contact Chris.Looking for an authorized dealer?Need more information about KODAK dental film, call (800) 933-8031 or visit www.kodakdental.com.© Carestream Health, Inc.The KODAK trademark and trade dress are used under license from Kodak.




