Hello, clinicians!
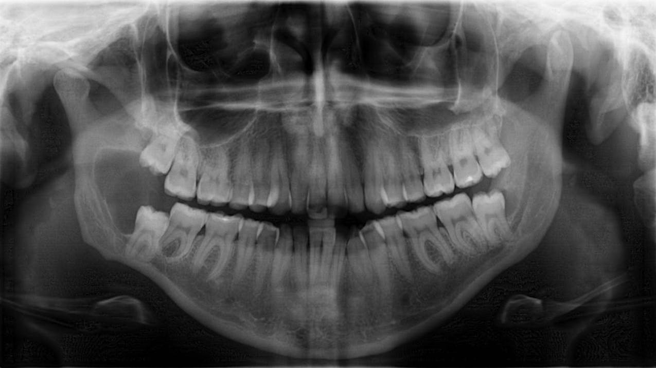
I challenge you to check out our pathology feature today! I can tell you that if my patient’s panoramic film looked like the one in the case study, I would be sweating a little bit. Learn how to navigate similar potential lesions by reading below.
Bethany Montoya, BAS, RDH
Editorial Director
In this issue:
🔍 Pathology case: Dangerous lesion if left untreated
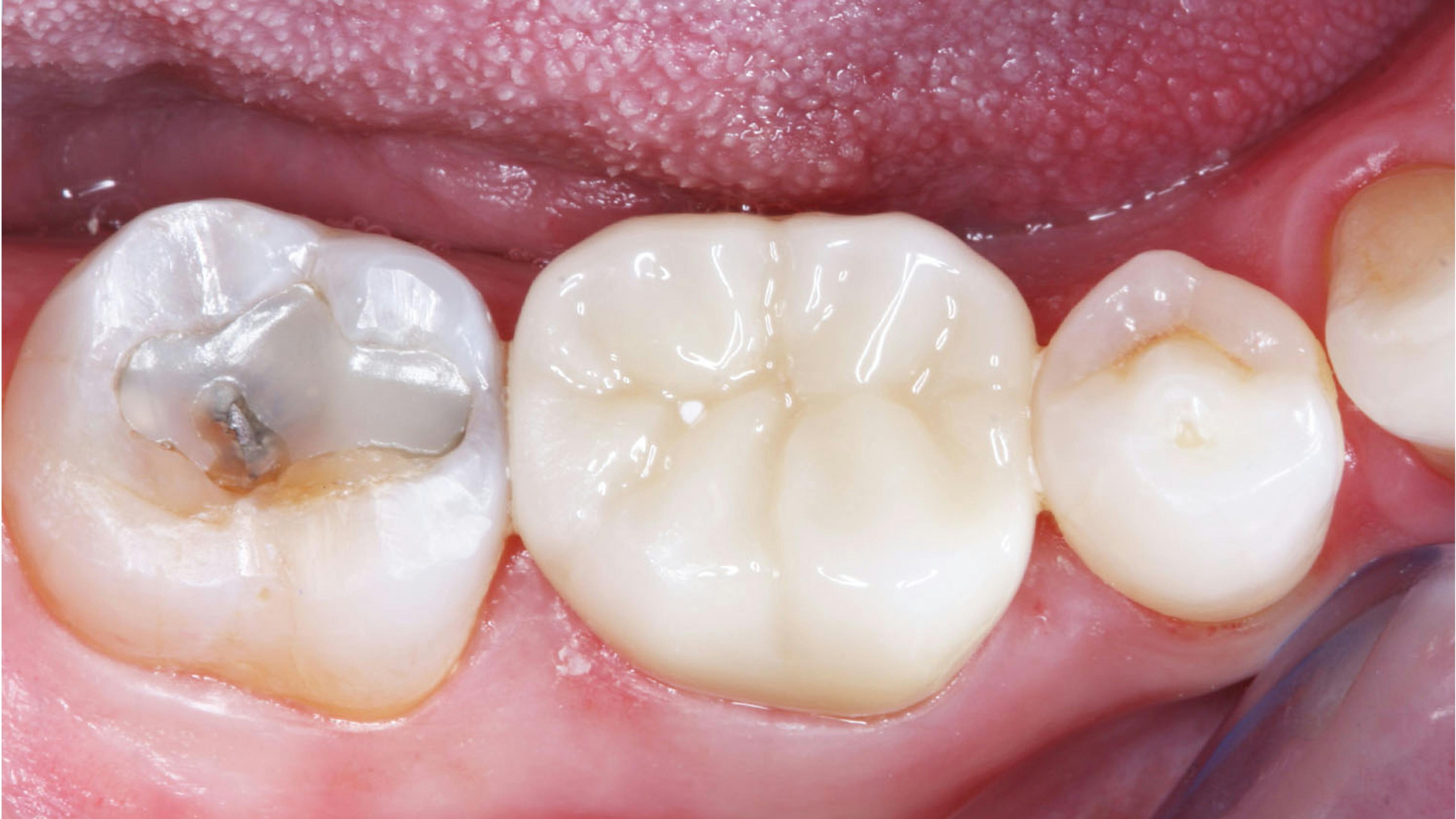
🦷 New restoration types make occlusion knowledge mandatory
💰 2025 RDH/DentalPost Salary Survey: The truth about income and benefits
CE course: The effects of sleep on oral health