Today's pathology case is an interesting one! At first glance, one might assume the lesion is a run-of-the-mill amalgam tattoo, but let's look a little closer ...—Bethany Montoya, MBA, RDH, Editorial Director
If patients still need a nudge to act on your recommendations, Philips can help. Start in the chair with our easy-to-understand Path to Health guide, covering conditions, treatments, and much more. Then point patients toward a broad portfolio of innovative power toothbrushes and Power Flossers proven to help improve oral health. Together, these can help patients say “yes” to stronger oral care.
A patient presents with a 3 mm x 3 mm purple asymptomatic "bump" on the lower attached gingiva. What makes this case unusual is not the diagnosis itself, but the lesion's uncommon presentation with respect to its location.
Diseases of tooth-supporting tissues, such as severe gingivitis and periodontitis, appear to increase the risk of developing and rupturing a cerebral artery aneurysm, according to a recent doctoral study from Finland based on 13 years of follow-up data.
Burnt out or ready for a change? Attend RDH Under One Roof and leave with a renewed passion for your career. Make this your year to fall in love with your career again! Join us in National Harbor, MD, in July for THE dental hygiene event of the year!
This 3-credit course will review the underlying principles of periodontally accelerated osteogenic orthodontics, ideal case selection, typical case outcomes, and steps and armamentarium for surgery.
This dentist shares six proven principles for scaling your dental practice without sacrificing quality or values. From defining your mission to hiring for culture and planning for success, learn how to grow your business with purpose and confidence.
Streamline your hygiene workflow with Pac-Dent’s AntiSplatr system. Featuring the ProMate CL cordless handpiece, AntiSplatr prophy angle, and ProPaste One, this solution enhances ergonomics, infection control, and polishing efficiency.
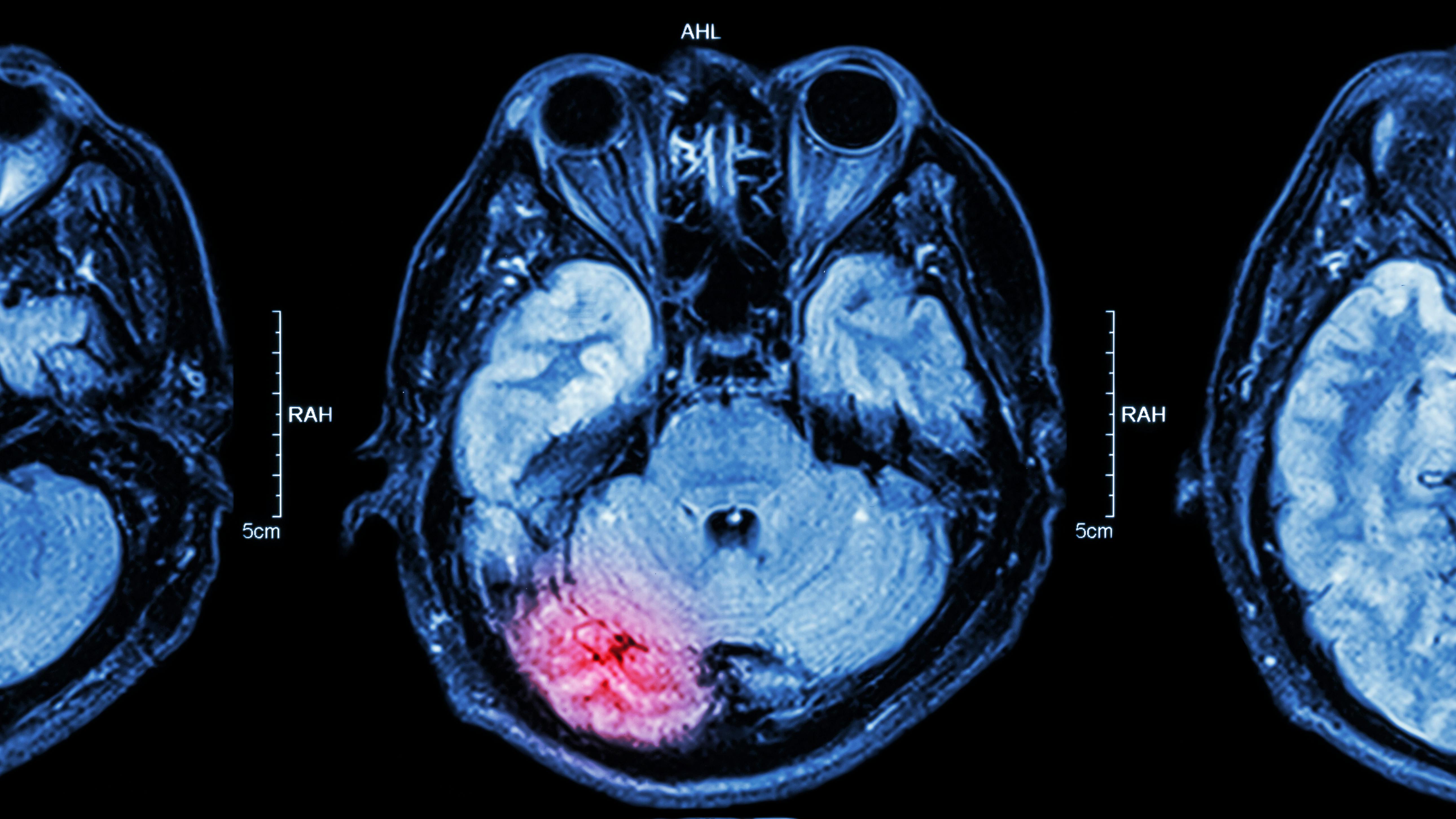
Is a patient's jaw injury hiding something more serious? New motion-guided imaging and brain-mapping technology are helping dentists pinpoint concussions and traumatic brain injuries in real time.