Rosemary’s Story
A smile given back.
WRITTEN BY Anita Tonking Myers, DDS
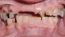
Her three missing anterior teeth did nothing to help Rosemary’s appearance. She became very self-conscious and quit trying to look nice, quit meeting people, and quit her job. She stayed home, watching the rest of the world on television, hiding from a society she feared would judge and ridicule her.
When she met the man she wanted to be with the rest of her life in 1977, Rosemary was still attractive. But some marriages go through a mysterious, awful change after the wedding vows, and this was the case for Rosemary. For 15 years she endured emotional abuse that she never reported. She had children and wanted to keep the family together. The violence escalated, but Rosemary still felt she could endure a bad marriage for the sake of the family. She harbored hope that her husband would abandon his desire for the drugs and alcohol that brought on his angry side. Instead, he abused stronger drugs. Sometime after their 25th anniversary, engulfed in a rage brought on by crack cocaine, he slapped her, punched her in the face and chest, and kicked her in the legs and torso. Besides multiple bruises and lacerations, his blows knocked out three of Rosemary’s front teeth, fractured another tooth, and caused hemorrhaging in one eye.
Rosemary finally got the help she needed to break free of her husband. After the divorce, she underwent counseling at a women’s center where she heard about the American Academy of Cosmetic Dentistry’s Give Back A Smile program. Even though she didn’t drive, she was willing to arrange transportation even out of state to find a dentist who would help.
That dentist happened to be me. I’ll be honest. I struggled with volunteering my time and materials to participate in the GBAS program. I didn’t consider the fact that my lab technicians would donate their skills and materials. I was concerned I would bear that expense as well. Like the cartoon character with a devil on one shoulder and an angel on the other, I weighed the pros and cons. Perhaps it was divine intervention, or perhaps the emotional factors outweighed the logical ones, but the angel won. That little voice in the back of my mind reminded me that I was truly blessed and that I had been given talents to help others less fortunate. I volunteered.
When Rosemary visited my office, she was reserved, shy, and rather plain. Her worn clothes and lack of make-up didn’t help the fact that she refused to smile or talk much. She avoided eye contact and looked down at her lap much of the time. But she was cooperative and eager to help us as we took radiographs and impressions.
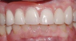
A few weeks later, the work began. After a five-hour appointment, Rosemary had a new upper arch and new smile. Something clicked inside her that day when she looked in the mirror. I’d like to think she recognized the woman she used to be and could become again.
By the time her case was completed, Rosemary had blossomed. Her hair was styled, she wore make-up, and she smiled constantly. She had tears in her eyes when she hugged me good-bye and thanked me for giving back her smile.
In a card she sent later, she wrote, “Words or actions cannot express how much I appreciate all you have done for me. Every time I look in the mirror and smile, I will always think of you and what you did for me. My outlook on life has changed dramatically for the good. To take time out of your busy schedule to help me meant more to me than you will ever know. Thanks go to you and your staff for all the kindness and respect they showed me.”
Yes, Rosemary received her smile and all the benefits that confidence brings. But Rosemary gave a gift as well. By receiving with gratitude, she let me experience giving: that warm sense of fulfillment that comes with sharing and caring for another individual. ■
Give Back a Smile™
Restore a Smile, Restore a Life
For more information or to make a donation, visit www.aacd.com/givebackasmile.
To apply for Give Back a Smile, call (800) 773-4227
Anita Tonking Myers, DDS
Dr. Myers, a 1983 graduate of the University of Texas Dental Branch in Houston, maintains a private practice in Spring, Texas. She is a member of the Greater Houston Dental Association, Texas Dental Association, ADA, AGD, AACD, and is an alumnus of the Pankey Institute for Advanced Dental Education. Contact her at [email protected].





