Lighter is better
A "how to" guide for efficiently streamlining the bleaching process
By Jack D. Griffin, Jr., DMD, FAGD
Are the days of profitable bleaching over? Have we reached the pinnacle of in-office tooth-whitening? Will A-3.5 ever be the "average" shade again? In our practice, the answer to these questions is a resounding NO!
The competition for the bleaching dollar has certainly grown. Everywhere from Wal-Mart to 7-Eleven sells some sort of "bleaching" material. There is talk of Taco Bell developing the new 8-layer Burrito with a carbamide peroxide layer between the beans and lettuce — one shade lighter for every burrito eaten. Even local dentists run ads in the paper giving away bleaching if a new patient would put a fanny in their practice chairs.
So how do we make bleaching an everyday, predictable, and desired treatment in our offices? Becoming more efficient with bleaching is really quite simple. There is no reason every office can't average a case a day by having a staff that promotes bleaching, by training the staff to deliver materials quickly and knowledgably, and by having a predictable routine.
The way to promote whiteness "Have you consideredU?"
I hate to be high-pressured to buy Ginsu knives, timeshare condos, or a new phone service. Using high-pressure sales lowers our professionalism to that of telemarketers. Our best untapped source of business are our existing patients who already like and trust us. What we have to do is get them to want and then ask for treatment. We don't have to stick hot needles in their eyes to get them to say "yes" for treatment. Sometimes we just have to plant a "professional seed" in their minds.
Basically, there are three internal marketing pieces that a fairly busy practice needs to promote bleaching. They are easy, low-pressure, and cost the office almost nothing.
- Question: "Have you considered whiter teeth?"
- Example: Have the staff show their bleached teeth
- Reinforcement: Show high-quality before-and-after photos of your cases
The first is a slam dunk. It is just a few potent words — "Have you considered bleaching?" Hygienists should ask this question at every recall appointment when a patient mentions dissatisfaction with the color of his or her teeth. If we treatment-plan several anterior composites, a diastema closure, or a single large composite, we first ask if they have thought about lightening their teeth. We let them know that if they lighten their teeth first for several weeks, then take two weeks off, we can match the new filling material to their newly lightened teeth. Many patients choose to do this.
If the entire staff learns to consistently ask this question, there will be a dramatic increase in procedures accepted. "Have you consideredU?" will fill those openings in your schedule. It will change what you always thought would be a "no" into a "yes."
null
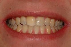
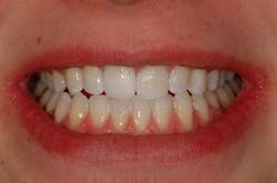
Specifically, with bleaching, most of the bleaching is "sold" in the hygiene department. Each hygiene room should have before-and-after photos of your patients so the patient can see what your esthetic results look like (figure 1, below). That way, patients know what you can deliver, not what some Hollywood dentist in Beverly Hills can do. The staff will be much more excited to promote what they have seen you do.
With high-quality digital cameras and inkjet printers, it is easy for dentists to promote their own work. In our treatment rooms and reception areas, we have before-and-after 8"x11" smile photos on nice felt boards. These are photos of "normal" cases, not the abnormal (figures 2 and 3, below). When the dentist arrives in the hygiene room, we usually just reinforce what the hygienist has already shown and told the patient.
null
null
As cool as "smile art" and photos are these days, walking billboards are even better. The entire staff should bleach their teeth; not only will their pearly whites glow, but they will gain personal experience that will help them answer the majority of the patients' questions. This will make the entire procedure more efficient.
MATERIALS
Bleaching democracy
So many bleaching materials, so little time (figure 4, below). Our choice of materials is based on perceived sensitivity, speed of bleaching, viscosity of material, independent evaluations, and persuasion of the advertising. Most of us have tried several different brands and have our own reasons for what we use. Our office practices bleaching democracy and we always give the patient three choices when it comes to bleaching — two types of take-home and in-office high-speed bleaching.
Bleaching choices:
*All-night take-home = 15%-20% carbamide peroxide (CP)
- Twice-a-day take-home = 9.5% hydrogen peroxide or 30% CP
- Fast in-office bleaching = 25%-38% hydrogen peroxide
Take-home bleaching
For take-home bleaching, we ask patients if they would prefer to bleach overnight or one to two times a day. Some patients just can't handle sleeping with a bleaching tray in place while others have TMJ or bruxism appliances that are worn every night. For these patients, it is nice to have materials that are stronger and bleach well with less tray-in-the-mouth time. So what determines which material we give to a patient? The answer to the question: "Do you want to bleach overnight or twice a day?"
All-night bleaching
If they choose all-night bleaching, we normally use the 16% Carbamide Peroxide (CP) solution, Night White Excel 3Z (Discus Dental). This material also has potassium nitrite and fluoride to help reduce sensitivity, and the marketing materials and kits are terrific. The bleaching trays are made with no reservoirs using the 1 mm bleaching material provided in the Discus kit. This material is thick, causes very little sensitivity, and the taste is pleasant (figure 5, below).
Predictable bleaching occurs in one to three weeks and patients are reappointed for one to two weeks to answer questions and reevaluate the procedure. If bleaching is going to too slow for the patient, we will substitute unused material for stronger material. For example, we will go from the 16% CP to 20-30% CP depending upon sensitivity. Should sensitivity be an issue on the gingiva, we trim the tray in that area. If it is on the teeth, we have the patient do one to two nights of 1.1% neutral sodium fluoride gel in place of the bleach. Bleaching is then resumed (figure 6, below).
null
null
Twice-a-day bleaching
If they would rather do bleaching twice a day for 30-45 minutes while getting ready for work, school, bed, or yoga, we use 9.5% Hydrogen Peroxide, Day White (Discus). This kit is also well-stocked with everything an office needs for an efficient, effective procedure (figure 7, below). Both take-home methods work very well, and offering the choice gives patients some flexibility and control according to their personalities.
Hydrogen peroxide bleach is generally about three times stronger than carbamide peroxide at the same percentage. Carbamide peroxide is broken down into hydrogen peroxide and urea on the teeth and works by an oxidation/reduction action and uptake by the enamel. Potassium nitrate and fluoride can reduce sensitivity and may work by reducing fluid flow through the tubules, so these may be important ingredients in your selection of materials for patients to use instead of bleach when sensitivity develops.
null
Alternative materials
There are many excellent bleaching materials along with the Discus products. We have been fortunate to sample many products from articles we have written, and we have determined that most materials seem to work well. Name recognition, viscosity, taste, marketing materials, and price determine what we buy and recommend for our patients. Opalescence (Ultradent), Nupro Gold (Dentsply), and Rembrandt (Den-Mat) all have worked well. These companies provide great kits that have all of the bleaching materials, shade guides, tray cases, carrying cases, and other goodies.
An excellent though less popular bleach is JC White Bleach (JC White). This bleach is very viscous, has a pleasant taste, is very inexpensive, and bleaches as well as other, more popular bleaching materials (figure 8, below). It costs less than $2 per tube and comes in 15%, 20%, and 30% CP strengths (figure 9, below). Because this material is both inexpensive and effective, its use may be prudent when giving away bleaching, to help office overhead control, or if lowering the bleaching fee for marketing reasons is considered.
null
Keep your inventory low. There is no need to buy every concentration or flavor of bleach material sold, or to replace your current system because of some article like this one. More importantly, you and your staff should thoroughly know your material and take the time to train on case presentation, treatment instructions, tray construction, and post-op follow-up.
null
EFFICIENT TECHNIQUES
Utilizing the staff
The best time to give a patient a service they really want is right now! The staff should be able to deliver the tray, instructions, and bleaching material about 15 minutes after the order was taken. This gives the patient much less time for the brain to try to rationalize the emotion out of the treatment. Also, the fewer appointments needed for any procedure, the more efficient the office can run.
Impressions and models
The hygienists take the majority of the bleaching impressions in our office because the hygiene rooms are where the bleaching is sold. Hygienists are often excellent at taking them and it provides some variation to the day from cleaning teeth. However, some hygienists are just "too darned busy" to mess with that alginate crud and feel that job is "beneath them." Teach them, compliment them, and then they should be willing to do it.
The first key to bleaching efficiency is to take a great impression — fast. We always want impression trays clean, handy, and in-stock so the right size is easy to find. If your office is like mine, alginate trays may soak in alginate dissolver for days before being cleaned and disinfected. This limits the number of trays from which to choose. We must have an abundance of trays so the staff isn't scrambling to pick out chunks of old alginate before slapping it in the patient's mouth. Several of each size of metal perforated or rim-lock trays will ensure good impressions quickly.
null
null
null
Since bleaching is often first mentioned in the hygiene room, the hygienist takes most of the bleaching impressions. If the hygienist is behind schedule, an assistant is asked to come in and take the impressions. The assistant is usually given the impression to pour up in Speed Stone (Discus) because of its 5-minute set (figure 10, left). She then makes the bleach trays on a simple suck-down machine (figure 11, left).
The impression is rinsed and poured with a fast-setting stone — Speed Stone (Discus) — because it sets hard in 5 minutes and is hard enough to pour in a horseshoe shape so we don't waste time trimming the model. This is usually done by the assistant, who takes over the case from here (figure 12, left).
Tray construction
Tray construction should be altered according to the strength of the bleaching material used. Take photos and place them on the wall so that all staff members know how you want the trays trimmed — the stronger the material, the less the tray should cover or be close to the gingiva. With 30% CP or 9.5% Hydrogen Peroxide, it is wise to cut the tray 0.5 mm away from the gums to prevent tissue burns and irritation. With 20% CP, cut the tray at the free gingival margin. For 15% CP or less, overlap soft tissue up to 0.5 mm. This will help reduce gingival irritation while providing consistent bleaching.
Reservoirs have been shown to be of little (if any) help in bleaching, so we do not use them. The greater the distance the tray is away from the tooth, the greater the space for saliva to wash out the material. Plus, a "thicker" layer of material may not speed up bleaching at all and it just wastes more material.
The fastest way to trim a great tray is with the Tray Magic Soft Tray Trimmer (Premier). This gizmo trims the tray accurately, quickly, and smoothly by using a tip that heats up and melts the tray where it is to be cut. The tip comes to a point and allows the assistant to scallop the tray to follow the papilla much easier, more precisely, and faster than scissors (figure 15, below). It makes the assistant's job much easier and increases the consistency of tray production.
It also helps to have photos posted of what you want your bleaching trays to look like. Use your digital camera to illustrate how you want things done in the office. This will help the staff remember what it was that you forgot that you told them.
Patient education
The assistant usually explains the bleaching procedure while the Speed Stone is setting. Show the patient photos of how much material should be put in the bleaching tray. Most people think that if a little is good, a lot must be better. Bleach is kind of like fertilizer or Michael Jackson — a little is good but too much of it is a bad thing. Show the patient that a small drop on the facial side of each tooth will be more than enough to whiten the teeth.
Take the time to explain possible side effects and what to do about them. With gums that turn white or are painful, have them put less material in the tray at those areas and bring the tray into the office for trimming. Should gum irritation continue, use a material that has a lower concentration of bleaching agent or dispense take-home desensitizer, sodium fluoride, or potassium nitrate to put in the tray instead of bleach for a night or two before resuming bleaching.
Follow-up appointments
We dentists think that bleaching is best done in a dental office because of our supervision and expertise. If we aren't doing follow-up appointments, what's the difference if patients use our office bleaching or the one from the bleaching department at Home Depot? Let's do our part to ensure professional care by seeing the patient one to two weeks after insertion and again at four to six weeks. This will allow us to evaluate tooth sensitivity, gum irritations, smooth tray roughness, answer questions, and take a shade.
PRACTICE MARKETING
Give it away
There is a Biblical principal that says the more we give, the more we get. That certainly can apply in dentistry. Schools, ladies clubs, charities, ball teams, and many other groups are always looking for things to auction off or sell to raise money. Giving away bleaching is a terrific marketing tool, and it lets the community know just how cutting-edge your practice is. Donate a "free arch of bleaching" certificate.
Bleaching is a great thing for an office to give because people want it, it is easy and quick for the office, and it is a low-overhead procedure. Raffling off a free molar endo for the third grade field trip may not be as good of a practice-builder. When you donate the bleaching, you may earn new patients U if you and your office impress them. Welcome the patient to the office, give him or her a tour, be pleasant, and don't do any hard dental selling. Just being friendly and professional will give you a good name in the community and help grow the practice.
Some offices hold a "drawing" once a month for those patients who maintain regular recalls. The office pulls out a name, the patient is called, and a free arch of bleaching is done as a reward for being a faithful patient. How about a free bleaching to the patient who refers the most new patients for a six-month period? There are greater rewards in dentistry than just a bigger bank account; give all the money you raise from bleaching for one month and give it to a local charity. Also, if you inconvenience a patient in any way — running very late, lost impression, messed-up billing — offer a free bleaching as compensation. Just the gesture will impress them.
The staff is the key to bleaching efficiency and marketing. Train them well, encourage them, and thank them daily for doing a terrific job.
Dr. Jack Griffin Jr. describes himself as an "average dentist, limiting my practice to all phases of general dentistry." He has













