Orthodontics case study: treat 'the face' not 'the teeth'
As dentists, we focus much of our attention on the oral cavity. However, the treatment we perform within this confined space often affects the whole facial structure. For this reason, it is imperative to look beyond stone models. In general, whenever a dentist performs an initial evaluation, it is fundamental to begin with an evaluation of the face. For example, in cases where a patient has a “flat” profile, one may be more inclined to pursue a nonextraction approach with the goal of maintaining or accentuating lip support. The opposite is true for patients with excessive lip strain. Rachael’s case is a good example.
ALSO BY DR. G. ROSS SEGAL |The role of tooth movement for aligning gingival margins in preparation of cosmetic restorations
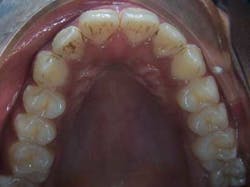
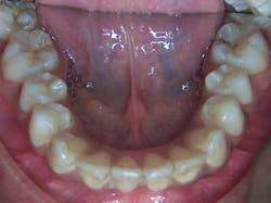
From the beginning, Rachael’s dad wasn’t convinced that his daughter needed orthodontic treatment. After all, her teeth were already relatively straight, as can be seen in the photos below.
Rachael’s dad was reluctant to even schedule a consult appointment, but his dentist insisted that significant improvements could be made to Rachael’s appearance. The fact is that both Rachael’s dad and the dentist were correct in their assessments. In other words, the teeth won’t look much straighter, but Rachael’s appearance would be significantly improved. How could that be?
Upon initial examination, it was evident that Rachael could not close her lips without displaying a significant degree of mentalis strain. In addition, Rachael was not happy with her protruded lower lip.
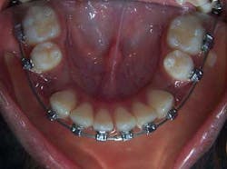
Therefore, the treatment plan for Rachael was based mainly on her facial appearance as opposed to any tooth irregularity. Despite the fact that there was no crowding, extraction of four bicuspids was still indicated, with the goal of creating space for retraction of the incisors.
Uprighting the incisors resulted in better facial balance, elimination of mentalis strain and retraction of the protruded lower lip.
Rachael’s dad never imagined that dental treatment could have such a positive influence on her appearance. A couple of weeks ago, I saw him at the local coffee shop, and he shared with me how happy his daughter is with her facial transformation. When he walked away, an older lady sitting in the adjacent lounge chair had overheard this discussion about improving facial appearance and asked me if I was a plastic surgeon. She was more than a little surprised to hear I was a dentist.









