Anterior dental implant cases: Fixed temporaries for greater case acceptance and better soft-tissue outcomes
by C. Mike Meek, DDS, FAGD
The logic of a dental implant for tooth replacement is obvious and makes converting patients away from a treatment plan of a fixed bridge one of the simpler consultations I conduct. That is, unless the tooth is in the esthetic zone.
Consent for a dental implant over a bridge . . . a three- to five-minute discussion. Whether the patient will have a removable temporary or be without a tooth during the 12- to 16-week osseointegration period is the real consultation challenge, and cases are won or lost on the issue of temporization.
In years past, I have made Essix-style retainers, used unreliable bonded temporary pontics, and had labs fabricate acrylic partials. None of the three offer patients the quality of life or confidence of a fixed, implant-supported provisional. I became convinced that the only path to success in consistently treatment planning dental implants in the esthetic zone was to master immediate temporization. It was only when I became willing to work with the implant on the day of surgery that my implant practice exploded.
ADDITIONAL READING | A 'mini' extreme dental makeover: Implants with a double-arch All-On-4
Patients are not willing to “get along” with some old-fashioned prosthetic solution for temporization. Not one of my patients has ever displayed excitement over any of the three temporization modalities listed above. Besides that, we often compromise the architecture of the interdental papilla when it is allowed to collapse around a nonanatomical healing abutment or with two-stage “slept implant” protocols.
My surgeon and I realized that for our practices to succeed, we had to work together to provide the gold standard of tooth replacement. A patient enters the practice with a compromised root and leaves the same day with a new, implant-supported tooth. Yes, there are situations where infection has destroyed the osseous structures that provide the primary stability that is the most basic requirement of this kind of case. Yes, there are functional situations (deep overbite with limited overjet) where immediate loading of a dental implant is risky or contraindicated, but a great majority of our cases allow this technique to be employed.
ADDITIONAL READING | Interdisciplinary management of a complex maxillary implant restoration
The result of incorporating this technique has been twofold. First, case acceptance is overwhelming when patients are not threatened by the idea that they will have to go toothless or wear a removable restoration. Second, we support their existing interdental papilla from extraction to final impression with a customized, full-contour, screw-retained temporary. In my mind, this is a perfect example of the proverbial win-win.
Case study
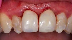
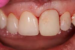
Failing endodontically treated centrals. Nos. 8 and 9 to be extracted and NobelActive Conical Connection implants to be placed with immediate temporization.Prior to surgery, a pre-op matrix using a clear polyvinyl impression material, such as Heraeus Kulzer Memosil, should be recorded.
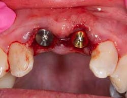
On the day of surgery, the patient will present from the surgeon’s office with healing abutments in place on the implants.
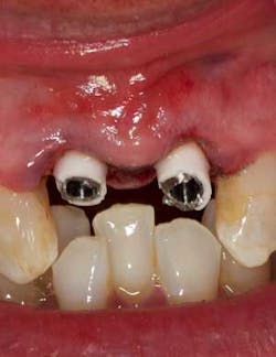
Remove the healing abutments and place your titanium temporary abutments that have been opaqued with your favorite composite. I like Cosmedent Pink Opaque Flowable. When opaquing the abutment, place it on an implant replica so you have a handle.
Hand tighten the opaqued abutments onto the implants.
Trim the abutments to allow for adequate inter-arch clearance, and place Teflon tape in the chimneys to occlude them from composite entering the abutment.
Fill the pre-op matrix with your favorite auto- or light-cure composite, and reseat the impression over the abutments; fully cure.
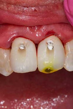
Remove the impression and reopen the access for the abutment screws. Remove the temps from the mouth and screw onto implant analogs to provide working handles.
Use a highly filled and polishable composite to build out the abutment portion of the temporary.
Take care not to overbulk the abutment portion of the temporary. If the abutment is too large in diameter, it will push the gingival crest up too high. In the photo to the left below, the abutment is too bulky and the gingival crest is asymmetrical compared to the contralateral incisor. The photo at right below shows the corrected abutment with a more favorably supported gingival crest.
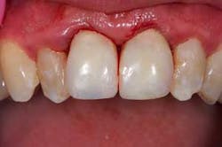
Trim, smooth, and polish the units before trying them in the mouth to observe soft-tissue contour. The abutment portion must be smooth and polished to prevent irritating the tissue and causing inflammation that could interfere with implant healing.
Seat the temporaries after making adjustments to contour and place Teflon tape over the abutment screws after torquing to the appropriate manufacturer-specified torque. In this case, 35 N-cm is correct for Nobel Biocare Conical Connection fixtures.
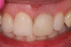
Close the accesses with matching composite and polish. Remember to adjust so there is no functional contact or guidance on your temporaries. This is of paramount importance when temporizing implants!
Immediate temporization of anterior implants has provided two major benefits for my practice. First and foremost, the soft tissue is supported from the day of surgery to the final restoration. This is the most significant clinical impact of the procedure. The second benefit is that patients are more eager to embrace the benefits of implant therapies. No longer are they threatened with a removable temporary that traditionally has gone hand in hand with the challenge of tooth replacement.
Once I became comfortable with immediate temporization, my implant practice grew substantially. It is my opinion that for a general practice to thrive and be competitive in the marketplace, competency with this technique is essential.
ADDITIONAL READING | Pumpkin on a toothpick


















