Changing the patient experience: Using a CO(2) laser to remove an amalgam dental restoration without anesthesia
Dr. Joshua Weintraub presents a case using a CO2 laser to remove an amalgam dental restoration without anesthesia. He says the laser has made a huge difference in patients following through with treatment in his practice, as they no longer fear dental treatment. But the benefits don't stop there.
This article first appeared in the newsletter, DE's Breakthrough Clinical with Stacey Simmons, DDS. Subscribe here.
Ah, the dreaded shot. Do your patients ever tell you that they hate shots? This is one of the most common complaints—if not the most common—that I hear, regardless of the procedure I am recommending for treatment at the time. One of the first questions patients typically ask is, “Am I going to need a shot?” followed by something like, “Ugh, that’s the worst …” Like every other dentist, we all have patients who are no-shows, or they simply cancel their appointments. These occurrences can often be attributed to apprehension and fear. Of course, they will tell you that the cancellation is because of a flat tire or traffic ....
Benefits of a CO2 laser
Could you imagine being able to practice in a way where the use of injections and anesthesia were a rare occurrence in your practice for practically any procedure you perform? This is a reality with the use of the Solea laser (Convergent Dental), the only computer-aided, CO2 laser system cleared by the FDA for all tissue indications. Dentists can easily and reliably complete nearly any procedure traditionally performed with conventional instruments—but without the need for anesthesia.
Unlike other lasers that chip away at hard tissue, 9.3 µm CO2 lasers gently “vaporize” tissue, offering a virtually blood-free, suture-free, and pain-free patient experience. From a simple cavity prep, to gingivectomies and frenectomies, I use my laser for almost every procedure imaginable for most patients. Not only will your adult patients no longer dread coming to see you for their scheduled procedures, but you'll also find that the laser is a great alternative for use on pediatric patients.
This laser is a huge game changer over traditional instruments. Eliminating anesthesia greatly increases the comfort level of patients, especially those with anxiety and fear of needles. Restorative procedures take less time, and both kids and adults leave my office happy, without any numbness. Post-op healing time is dramatically decreased as well.
The use of a 9.3 µm CO2 laser makes patients more comfortable about accepting treatment while also bringing many time-saving and financial benefits to my practice. Previously, I had to perform most of my procedures by injecting patients with anesthetic, waiting for the anesthesia to take effect, and then managing the bleeding even on simple surgical procedures. Now, only rarely do I use a needle during most of my procedures; consequently, my productivity has reached new levels.
Moreover, because the laser I use is computer-driven, literally any dentist could raise his or her level of service to another level while providing the best dentistry available to patients. Unlike other all-tissue dental lasers, this one makes it possible to cut any tissue without changing settings. It’s as simple as turning on the laser, directing the beam at the desired tissue, and stepping on the variable-speed foot pedal. Though there are many dental lasers on the market to choose from, this one-setting-fits-all approach has significantly increased efficiency in my office.
Case example
Though my laser can be used on all tissue—hard, soft, and osseous—the following is just one example of how easy it can be to use a computer-driven 9.3 µm CO2 laser for a hard-tissue case.
Patient presentation
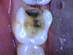
The patient presented with a fractured amalgam and recurrent decay on tooth No. 30 (figure 1). The clinical objective was to remove the amalgam and all decay, and then restore the tooth. The tooth was prepared using both my 9.3 µm CO2 laser and a high-speed handpiece. The total procedure time was less than 20 minutes.
Figure 1: Tooth No. 30, pre-op
The technique
This procedure was performed without injectable anesthetic using the Hard and Soft Tissue setting on the laser and 100% mist to effectively penetrate the enamel. The laser was first used at a nonablative cutting speed of 20% to establish analgesia and ensure the patient’s comfort. After 20 to 30 seconds, analgesia was reached and the laser cutting speed was increased to about 60% using the foot pedal to effectively penetrate the enamel. The laser was used to trough around the failed amalgam restoration, staying in the tooth structure (figure 2).
Figure 2: Tooth No. 30, laser trough
A high-speed handpiece and a 245 bur were then used to break up and remove the amalgam (figure 3).
Figure 3: Tooth No. 30, partial prep
Decay was removed and the preparation was completed, using the laser with cutting speed between 40% and 60% (figure 4).
Figure 4: Tooth No. 30, prepped
The cavosurface margin was beveled with a diamond bur, and the tooth was restored with composite (figure 5).
Figure 5: Tooth No. 30, restored
The difference
Truly as simple as it sounds and looks, the total procedure time—from start to finish—was less than 20 minutes. That same procedure would take me approximately 40 minutes with anesthesia and traditional instruments. The laser eliminated the steps associated with local anesthetic—injecting the patient and waiting for the area to become numb. The time involved in multiquadrant dentistry and follow-up appointments to adjust the bite that potentially could have been performed were eliminated too.
The best part
The best part of using a laser is when I see the look on a patient’s face after I’ve finished a procedure without anesthesia. The laser truly changes the way dental appointments are perceived. I’m able to remove everything patients hate about dental visits. Since we began using the Solea laser, fewer patients cancel their appointments due to fear. My production has increased, and the downtime from cancellations and no-shows has been reduced. Referrals have also multiplied, with happy patients telling their family and friends about the great experiences they've had at our practice.
This article first appeared in the newsletter, DE's Breakthrough Clinical with Stacey Simmons, DDS. Subscribe here.








