Ya gotta love what you do to make the magic happen
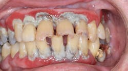
Stacey L. Simmons, DDS, editorial director of Breakthrough Clinical, says, "When my hygienist told me that her fingers were itching to remove the buildup on this patient's teeth, it blew my mind! After a minute, I realized that outside of dentistry, most of the general population regards our profession with a certain amount of 'yuck' factor."
Editor's note: This article first appeared in DE's Breakthrough Clinical with Stacey Simmons, DDS. Find out more about it and subscribe here.
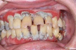
WHEN MY HYGIENIST told me that her fingers were itching to remove the buildup on this patient's teeth (figure 1), it blew my mind! After a minute, I realized that outside of dentistry, most of the general population regards our profession with a certain amount of “yuck” factor. We must really love what we do to stick our fingers in people’s mouths, right?! Well, thank goodness we do, because when we step in and perform our “magic,” the results are gratifying on both sides of the equation (figure 2).
This segues nicely into what new author Marc Johnson, DDS, goes through when he takes on what many would consider an impossible, for-sure denture case and turns it around for the patient—not only to maintain her natural dentition but to make her smile. Heroic dentistry? Oh, yes. Take a read, because we all have cases like this that walk through our doors.
Extractions. Implants. Tooth-supported guides. How do you marry all this together? Murtaza Paghdiwala, DMD, provides the answers to what are often considered really difficult cases—edentulous implant overdentures. He demonstrates how we can be creative and resourceful to make it happen.
Hand, foot, and mouth disease, or just a bunch of red dots all over this kiddo’s mouth? What are your thoughts about this month’s pathology case?
Summer’s almost over, my friends. Keep on, keepin’ on! Cheers!
Stacey L. Simmons, DDS
Editorial Director, DE’s Breakthrough Clinical with Stacey Simmons, DDS
LAST MONTH . . . Smiles don't have expiration dates
Editor's note: This article first appeared in DE's Breakthrough Clinical with Stacey Simmons, DDS. Find out more about it and subscribe here.
For more articles about clinical dentistry, click here.
For the most current dental headlines, click here.
About the Author
Stacey L. Simmons, DDS
Editorial Director of DE's Breakthrough Clinical e-newsletter
Dr. Stacey Simmons grew up in Hamilton, Montana. She did part of her undergraduate work at Purdue University and then received her bachelor’s degree in exercise physiology from the University of Utah. After applying to both medical and dental school, she decided that dentistry was her career of choice. She received her DDS degree from Marquette University School of Dentistry in Milwaukee, Wisconsin, in 2004. In private practice, she focuses her care on prosthodontics and cosmetic dentistry. She is a guest lecturer in the Anatomy and Physiology Department at the University of Montana. Outside the office, she trains for triathlons and spends time with her family. You may contact Dr. Simmons by email at [email protected].
In 2015, Dr. Simmons became the editorial director of DE's Breakthrough Clinical with Stacey Simmons, DDS, an e-newsletter focused on breaking through plateaus in clinical practice. Subscription information may be found here.
Updated May 4, 2016




