Pathology case: Medical history remarkable for mental delay and recent excision of basal cell carcinoma
Editor's note: Originally published May 2017. Updated September 2024.
Case presentation
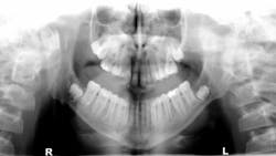
A 14-year-old male was referred to the oral and maxillofacial surgeon to evaluate his lower third molars, each of which appeared on the panoramic radiograph to have significant well-circumscribed, expansile radiolucencies around the impacted teeth.
The patient's medical history was remarkable for mental delay and recent excision of a basal cell carcinoma from the patient's chest.
Diagnosis and discussion
Removal of the lower third molars and the associated cystic lesions produced an expected histopathologic diagnosis of bilateral keratocystic odontogenic tumors. Because of the high suspicion of this diagnosis, surgery included aggressive removal of the lesions with peripheral ostectomy and treatment with Carnoy's solution.
The patient was determined to have Gorlin syndrome, which affects approximately one in 31,000 people. Often referred to as nevoid basal cell carcinoma syndrome, individuals suffering with this syndrome often have significant mental disability; macrocephaly; skeletal abnormalities of the spine, ribs, and skull; and pits in the palms of the hands and soles of the feet.
Affected individuals will be a high risk for development of multiple keratocystic odontogenic tumors starting in adolescence and continuing into their thirties, and will require continuous observation and management for this issue. They are also at higher risk for various types of cancer, most significantly basal cell carcinomas of the face, chest, and back.
About the Author

R.F. John Holtzen, DMD
R.F. John Holtzen, DMD, is a board-certified oral and maxillofacial surgeon with private practices in Missoula, Montana, and Las Vegas, Nevada. He is a graduate of Temple University School of Dentistry, and completed internship and residency programs at Johns Hopkins University, St. John’s Mercy Medical Center, and MCP-Hahnemann University Medical Centers. He is a previous associate clinical professor at the University of Nevada School of Medicine and has lectured on a variety of topics related to his specialty. Dr. Holtzen is a diplomate of the American Board of Oral and Maxillofacial Surgeons, a diplomate of the American Board of Dental Anesthesiology, and a fellow of the International Association of Oral and Maxillofacial Surgeons.




