New Article
By Gregori M. Kurtzman, DDS, MAGD, FAAIP, FPFA, FACD, FADI, DICOI, DADIAWe all try to reassure our patients before they undergo dental treatment. But until we have gone through the experience ourselves, can we truly say to them, “This will be easy”? My own journey took me first through endodontics on a lower second molar and onto an extraction and immediate implant placement on the same tooth. Why this particular journey? Well, life gets busy, hectic, and procrastination sometimes takes a front seat as we travel down life’s road.As the divorce bump reared its head in my path, my molar let me know it wasn’t going quietly into the night. Endo was completed and life got hectic again with several lecture trips out of the country. I kept saying there was time to get the tooth crowned and when things slowed down, I would have a friend do it. Well, my tooth had other plans.Upon landing in Thailand on a lecture trip, I bit down on something and the tooth split. I consulted with a periodontist friend and we weighed the options: crown lengthening and compromise the adjacent tooth, or extract and place an implant. Looking at the long-term predictability, I opted for the implant route.Memories of my third molar extraction in dental school and the swelling that ensued (making me look like a chipmunk storing nuts for the winter) gave me some trepidation that this would be another similar experience. Since I have a tendency to swell and bruise easily, a year ago a surgeon recommended that I take the herbal anti-inflammatory Arnica Montana several days before surgery, and it prevented swelling and bruising. The scientist in me believed using this again would be definite proof that this was an effective medicament for inflammation.Being the dental nerd I am — and seeing more material for another article — I decided to photo document the surgery. Local anesthetic was administered, a flap elevated, and the residual root was removed atraumatically. The site was prepared and an immediate super wide body implant was placed. This was followed by flap closure, and I headed home. A few hours passed and the local anesthetic wore off. I waited for discomfort and some sign of swelling, but it didn’t arrive as I headed to bed. I figured tomorrow is another day, and that’s when I would notice the common issues that tend to occur with oral surgery. The next day there was still no pain at all, no real tenderness, and absolutely no swelling. This phenomenon continued through the following days. If not for the sutures I could feel with my tongue, I would be hard-pressed to say I had any dental procedure performed. Now, I can honestly tell my patients, “This will be easy. I have been through it myself.” 
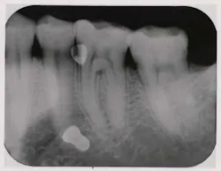
Fig. 1: Preoperative radiograph showing remaining endodontically treated roots.
Fig. 2: Extraction of the residual roots
Fig. 3: Placement of a Southern Implants MAX implant into the prepared extraction site
Fig. 4: Southern Implants MAX implant seated in the osteotomy
Fig. 5: Healing abutment placed and flap closed with sutures
Fig. 6: Radiograph showing placement of the Southern Implants MAX implant in the immediate extraction siteAuthor bioGregori M. Kurtzman, DDS, MAGD, FAAIP, FPFA, FACD, FADI, DICOI, DADIA, is in private general practice in Silver Spring, Md., and a former assistant clinical professor at the University of Maryland. He has lectured internationally on the topics of restorative dentistry; endodontics and implant surgery and prosthetics; removable and fixed prosthetics; and periodontics. He has more than 230 published articles. Dr. Kurtzman has earned fellowship in the AGD, AAIP, ACD, ICOI, Pierre Fauchard Academy, ADI, mastership in the AGD and ICOI, and diplomate status in the ICOI and American Dental Implant Association (ADIA).







