Why contacts are so important to success in dentistry
There are two kinds of contacts in dentistry that are absolutely crucial to your success: the technical kinds involved with teeth and the relational kinds involved with patients. If you want your dental office to be more than just mediocre, Dr. Lisa Knowles has some very specific advice for you.
Editor's note: This article first appeared in Breakthrough Clinical, the clinical specialties newsletter created just for dentists. Browse our newsletter archives to find out more and subscribe here.
THERE ARE TWO KINDS of important contacts in dentistry: the contacts we make with patients and team members to strengthen our relationships, and the technical kinds of contacts that close teeth tightly against one another. Both types of contacts—relational and technical—are extremely essential to our success in dentistry.
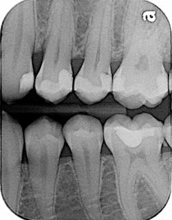
First, let me explain the technical importance of contacts in teeth. Patients hate food impaction. “Food gets caught right here,” my new patient said annoyingly the other day as he pointed in between his lower left molars. “I just had this filling placed a few months ago with a dentist my wife goes to, and now I have to floss it every time I eat, or I will have half my meal in there.”
Patients get angry over poor contacts and food traps. They don’t want to be bothered with the hassle of food impaction, and they may not even know that poor contacts are a source for further decay or even periodontal effects. So, it’s important that we get contacts right the first time. After all, it’s not that hard to check for open contacts at the end of treatment. This point of aggravation comes up in my office more times than I would like to think, which is why I want to review the importance of getting good contacts when we restore teeth, particularly when we complete fillings for patients.
Further, there usually is not much I can do to adapt in these situations, but contacts are different. I have only found a couple of ways to make a really good contact, especially when restoring cavities with composite restorations. I will skip amalgam fillings, because condensing amalgam tightly is not typically a problem; it’s usually the composite fillings that create problems for us.
Before ring systems came into use, traditional Tofflemire band holders and bands were used. I find the bands somewhat difficult to use, but you can make a contact if you use a softer, thinner band and some lateral condensing occurs on the band itself against the adjacent tooth. This precondensing and forming of the band helps ensure that a contact is formed.
I find the ring system design to be even more helpful. I have used the Garrison brand in the past, and I use Dentsply’s brand now. Both provide nice contours against the adjacent teeth; these contours help create optimal contacts. Sometimes, I still have to use a thin diamond or a 12-blade to shave off some of the interproximal overhangs to help guarantee that a smooth edge exists and a nice, popping contact sound occurs.
If you don’t want to be a dentist who leaves open contacts, creates food impaction sites, and has annoyed patients, it is paramount that you learn to create perfect contacts consistently. Otherwise, patients will complain, question your abilities, and maybe even leave to find a different dentist.
💎 It is paramount that you learn to create perfect contacts consistently. Otherwise, patients will complain, question your abilities, and maybe even leave to find a different dentist.
This leads me to the next kind of contact that is ever crucial in dentistry: patient contact. A recent trip to a hardware store reminded me of the importance of great service. As soon as we entered the store, the woman behind the counter asked if she could help me. I saw the adhesive I was after and motioned to her that I was OK, but then I noticed there were a couple of options to choose from. I went back to the woman and asked if she had a recommendation between the two adhesives. She smiled in a friendly way and, in a pleasant tone of voice, she explained the differences between Gorilla Glue and E6000. She was helpful, but not pushy. She was knowledgeable, but she didn’t make me feel stupid.
When we asked for bait to purchase, she added some humor for my son and me with a grin: "Do you want the regular ones, or the ones guaranteed to help you catch fish?" I joked back with her, "I suppose the better ones are more expensive, right?" It was a pleasant exchange.
As we left, my daughter said, "Mom, she was really nice." I noticed too. "Yeah, it’s not that hard to be nice, is it?" I said to my daughter. But in reality, it is hard to be consistently nice in a service world where every person brings a different need through your door. Some needs are easy to fulfill, and others are very demanding and difficult. For us as dentists—regardless of which patient presents first—the next patient expects the same pleasant experience, even if the previous patient was taxing to treat. This is where an intentional effort is required on the part of each team member (especially the doctor who leads by example) to rebound quickly and serve that next patient with a smile.
💎 It is this ability to bounce back and be intentionally ready for each and every patient—at each service opportunity—that makes an office great over one that is just mediocre.
The contact between each person must be tight and contoured correctly. Sometimes, the contact even needs to be preformed and prepared just like our bands during restorative procedures. It is this ability to bounce back and be intentionally ready for each and every patient—at each service opportunity—that makes an office great over one that is just mediocre.
I recently had a newer assistant help cover for a maternity leave in our office. This assistant had a hard time recovering for each patient in the schedule.
"I think you need to hire someone happier and more energetic like you," she said, when I asked her to have a friendlier tone and make each patient’s experience better.
She was content to bring her life’s problems to work and feel miserable or happy, depending on her whim for that day. She didn’t care as much about each patient contact. I think we were both happy when the maternity leave ended, and we were able to get back to our normal routines.
It’s not easy to make every contact with every patient pleasant every chance we get—but that is the only chance we get when we work in a service industry. Yes, we are health-care professionals, and, yes, we have a certain level of expertise to offer. Despite that, however, we are still in a service industry, and we must know how to make good contacts with our patients. Every patient. Every time. Does that always happen? No. But if that is our goal, it will happen much more frequently than if there were no expectations set from the beginning.
💎 Technical contacts are vital for patient satisfaction. Emotional contacts...are vital to allow long-term relationships to form. If we ignore the need for good contacts, we miss out on many opportunities for greater success in dentistry.
Contacts are crucial. In our work, technical contacts are vital for patient satisfaction. Emotional contacts with our patients are vital to allow long-term relationships to form. If we ignore the need for good contacts, we miss out on many opportunities for greater success in dentistry.
Editor's note: This article first appeared in Breakthrough Clinical, the clinical specialties newsletter created just for dentists. Browse our newsletter archives to find out more and subscribe here.



