New green toothpaste reveals biofilm
READ MORE | New patent on synthetic molecules brings researchers closer to new periodontitis treatment
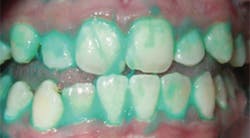
Plaque HD is a new, green toothpaste that binds to plaque biofilm and displays it as a teal green. The manufacturer claims that it can improve oral hygiene, particularly in children, elderly people with reduced dexterity, and people with braces that are hard to clean around. A small, short-term study by researchers at the University of Illinois at Chicago shows that Plaque HD resulted in a 51.3% reduction in plaque after brushing. The conclusion was that mechanical plaque removal by brushing with toothpaste containing plaque-indicating dye significantly reduced plaque compared to brushing with toothpaste without dye. This new dentifrice may have the ability to improve oral hygiene and reduce plaque-related damages to teeth and oral tissues. (1) To date there have been no tests researching long-term benefits.
The toothpaste, from TJA Health LLC of Joliet, Ill., contains a plant-based dye that sticks to plaque left on the teeth. The professional version, sold in dentist offices and online, costs $21 for 4.1 ounces; a consumer version with a less concentrated dye, coming out later in February, costs $14.95. To use Plaque HD, brush normally then spit out the toothpaste without rinsing, leaving the dye behind on areas that were missed, says TJA Chief Executive Lawrence Hier, an orthodontist who invented the product. Targetol Technology contains disclosing agents to color and identify plaque build-up on teeth.
The product comes in two flavors, berry bubblegum and fresh mint. You can purchase the product to be shipped to your home or office, or obtain it at dental and orthodontic offices across the United States. (2)
Editor's note: This article originally appeared in RDH eVillage Focus. Our editorial team would be happy to deliver content like this to your inbox twice a month. Just let us know by subscribing here.
References
1. Stevens K, Belavasky BZ, Evans CA, Viana G, Wu CD. Evaulation of Plaque Removal Efficacy of a Novel Dye-Containing Toothpaste: A Clinical Trial. Int J Dentistry Oral Sci. 2016;3(1):185-189. http://scidoc.org/articlepdfs/IJDOS/IJDOS-2377-8075-03-103.pdf.
2. http://www.plaquehd.com/.



