Enamel pearl case studies
Case #1: “Enamel projection with furcation involvement”
by Dr. John Y. Kwan The below pictures and corresponding video show a tooth with an enamel projection which has developed bone loss. In the video “Enamel Projection,” a Satelec diamond tip was made Magnetostrictive by the Tony Riso Co. and is used to remove the projection and clean into the furcation.
by Dr. John Y. Kwan The below pictures and corresponding video show a tooth with an enamel projection which has developed bone loss. In the video “Enamel Projection,” a Satelec diamond tip was made Magnetostrictive by the Tony Riso Co. and is used to remove the projection and clean into the furcation.
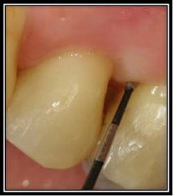
Photo 1 
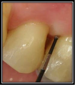
Photo 2 Photo #1 identifies the enamel projection. Photo #2 shows the curved unltrasonic insert removing the projection and cleaning into the furcation.
As the above picture demonstrates, the enamel projection has been removed and the furcation is now clean and clearly defined post instrumentation.
Prior to the Perioscopy System, this area would have required surgical intervention to view and treat.
The below Enamel Projection video may be viewed at:
http://www.youtube.com/watch?v=d7OkAnXaoh4
By Dr. Robert Gottlieb and Suzanne Newkirk, RDH The below pictures and corresponding video show an enamel pearl found on a molar tooth that developed a periodontal infection with a 6mm pocket depth. With Perioscopy, the doctor removed the enamel pearl quickly and efficiently with no post treatment discomfort or downtime for the patient.
Enamel pearl MB #3 pre treatment
Post enameloplasty the root is clean 
3 months post treatment pocket is now 3mm
 To view the video “Enameloplasty visualized with the Perioscope”, go to:
https://www.youtube.com/watch?v=S1IKT2KoVj4
Dr. Kwan is a board-certified periodontist and maintains a private practice providing periodontal and implant care in Oakland/Berkeley, Calif. He is an Associate Clinical Professor at the University of California, San Francisco School of Dentistry. Dr. Kwan is also the President/CEO of Perioscopy Incorporated.
Dr. Bob Gottlieb received his Certificate in Periodontics from the University of Washington. Practicing for 35 years, he was voted one of Seattle’s Best Dentists. Dr. Gottlieb mentors and directs numerous study clubs.
Ms. Newkirk graduated from the University of Alaska, Anchorage, in 1981 and has dedicated the last 30 years to excellence in clinical dental hygiene and periodontics. Suzanne is a periodontal therapist, dental hygiene coach and mentor. She is also a Perioscopy instructor and speaker. Ms. Newkirk is a member of the American Dental Hygienists' Association and Washington State Dental Hygienists' Association.
To read articles in RDH eVillage FOCUS written by John Kwan, Robert Gottlieb, and Suzanne Newkirk, click on Kwan, Gottlieb, and Newkirk.












