Resources for Mothers, Children, and Caregivers
By Maria Perno Goldie, RDH, MS
Certain people — whether through age, disability, or other factors — require specialized health care. We know this is accurate when dealing with pregnant women, children, and adolescents. Many agencies and organizations offer resources to caregivers and clinicians, assisting us in rendering the best care possible.
The National Maternal and Child Oral Health Resource Center offers many resources for states, communities, and individuals regarding public oral health issues.1 Updated resources include Focus on Dental Caries in Early Childhood and Focus on Home Visiting.2,3
The Centers for Medicare & Medicaid Services (CMS) created the Think Teeth oral health education materials to help providers and other interested parties partner with recipients to increase their level of oral health knowledge. The Think Teeth materials focus on healthy oral care behaviors for pregnant women, parents, and caregivers of children. The resources are available in English and Spanish, and include tear pads, flyers, posters, web buttons, web banners, tweets, Facebook posts, and template newsletter articles.4
LINK: Think Teeth: Learn more about how Medicaid and CHIP cover children’s dental services
The American Academy of Pediatrics’ Oral Health Initiative presents Protecting All Children's Teeth (PACT): Oral Health in Adolescence. PACT was developed for medical students, residents, pediatric primary care providers, and others with a focus on infant, child, and adolescent health. The oral/systemic link is highlighted. The curriculum delivers detailed coverage of children’s oral health, oral health guidance, and preventive care to increase confidence in identifying dental disease and conditions and communicate with dental professionals.
The 13 modules of the training program review oral health promotion, disease prevention, diagnosis, and treatment of oral health disease in children. List common risk factors for dental caries during adolescence. The modules include items such as periodontitis and gingivitis; anticipatory guidance; prevalence and oral effects of tobacco use; adverse oral effects of methamphetamines and marijuana; and signs of oral cancer.
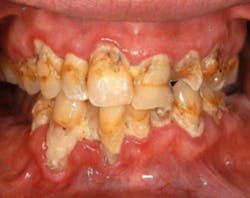
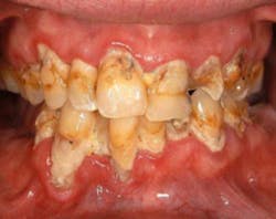
Meth mouth
The U.S. Preventive Services Task Force (USPSTF) has recommendations on prevention of dental caries and decay in children from birth through age five years. The most recent edition was released May 2014.6 The USPSTF recommends that primary care clinicians prescribe oral fluoride supplementation starting at age six months for children whose water supply is deficient in fluoride. It is a Grade: B recommendation.
They also recommend that primary care clinicians apply fluoride varnish to the primary teeth of all infants and children starting at the age of primary tooth eruption, also a Grade: B recommendation. They conclude that the current evidence is insufficient to evaluate the benefits and harms of routine screening examinations for dental caries performed by primary care clinicians in children from birth to age five years. It is a Grade: I Statement.6 Grades are described below.7
Remember that dental caries and decay is the most common chronic disease in children in the United States.8 According to the 1999–2004 National Health and Nutrition Examination Survey (NHANES), approximately 42% of children ages 2 to 11 years have dental decay in their primary teeth. After decreasing from the early 1970s to the mid-1990s, the prevalence of dental decay in children has been increasing, particularly in young children ages 2 to 5 years.9 Promoting wellness and prevention are actions that oral health professionals can embrace.
References
- http://www.mchoralhealth.org/.
- http://www.mchoralhealth.org/highlights/ECC.html.
- http://www.mchoralhealth.org/highlights/homevisiting.html.
- http://www.insurekidsnow.gov/professionals/dental/index.html.
- Clark M, Krol D. Protecting All Children's Teeth (PACT): Oral Health in Adolescence. MedEdPORTAL; 2014. Available from: https://www.mededportal.org/publication/9762.
- http://www.uspreventiveservicestaskforce.org/uspstf12/dentalprek/dentchfinalrs.htm.
- http://www.uspreventiveservicestaskforce.org/uspstf/grades.htm#brec.
- National Center for Health Statistics. Healthy People 2010 Final Review. Hyattsville, MD: National Center for Health Statistics; 2012.
- Dye BA, Tan S, Smith V, Lewis BG, Barker LK, Thornton-Evans G, et al. Trends in oral health status: United States, 1988–1994 and 1999–2004. Vital Health Stat 11. 2007;(248):1-92.






