Case study: use of perioscopy and LANAP for treatment of advanced periodontal disease
Case #3 depicts a patient with extremely advanced periodontal disease with a history of FM osseous surgery 25 years previously.
His PreViser Risk analysis and clinical findings dictate a surgical treatment plan.
Case #3:
Perioscopy by Suzanne Newkirk, RDH
LANAP surgery by Dr. Robert Gottlieb
Male age 70
No social habits
Medical History:
Arthritis, high cholesterol, gastroesophageal reflux disease (GERD)
Medications:
Motrin (OTC) as needed for arthritis, Simvastatin daily for cholesterol, Omeprazole for GERD as needed
Chief Complaint: Has had periodontal disease his entire adult life
PreViser Risk Analysis:
Risk Score 4
Disease State 99
Periodontal Clinical Findings
•Advanced periodontal inflammation
• Moderate to advanced sulcular bleeding and suppuration
•Many advanced pockets >6mm
• Missing teeth; 1,16,17,19,25,32
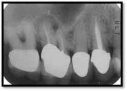
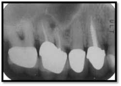
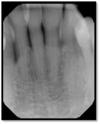
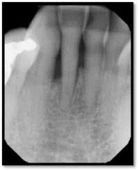
Pockets 4-9mm Class ll furcation involvement in both molars, possible endo abscess #3, (tooth is asymptomatic)
LR Pre TxPockets: 4-8mm
LA Pre-TxPockets 5-8mm.
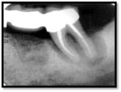
Severe bone loss #26, 8mm DF, 5mm straight facial, +2 mobility
Pockets 4-7mm Possible periapical abscess #15
LL Pre TxPC 4-12mm, Class lll buccal and lingual furcation
Possible endodontic abscess #18
UR Quadrant
Pockets 2-4mm, no BOP
LR QuadrantPockets 2-4mm, no BOP
UL Quadrant
Pockets 2-4mm, no BOP
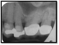
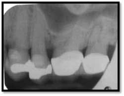
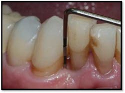
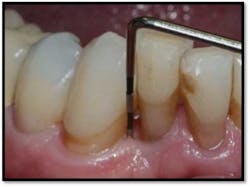
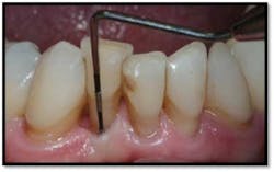
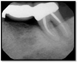
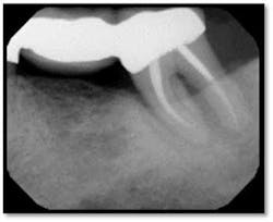
LL Quadrant#27M, now 2mm reduced from 6mm, tissue tight and firm
#26 DF, now 2mm from 8mm
#26 F now 2mm. All tissue is light pink, tight and firm.
Bone fill #26 and 27,no mobility
#18 buccal reflected in a mirror. Now probes 2mm reduced from 9mm
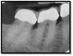
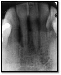
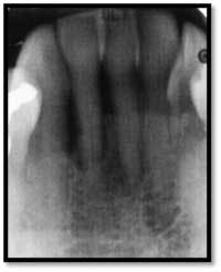
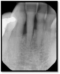
1 year post treatment Conclusion:
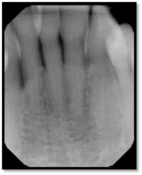
A full set of radiographs taken 13 months post therapy show bone fill in the deepest pockets, with generalized pocket reductions of up to 7mm.
#3 was referred for endodontic evaluation.
#’s 15 and 18 show no signs of endodontic involvement, #15 tests vital.
This patient now has a periodontally stable dentition for the first time in his adult life and is very happy with the outcome of his therapy.
























