Subgingival anomalies and pathologies viewed with the Perioscope (Part 2)
Case #2: By Dr. Robert Gottlieb and Suzanne Newkirk, RDH
A patient with advanced periodontal disease, initially referred for a CTG (connective tissue graft) on the buccal of #2
Pre-Tx PC #2 Dec.9,2010
External root resorption has been found to be associated with inflammmation.
As the above photo and corresponding video demonstrate, the resorptive defect is filled with plaque which has been found to be a contributing factor in inflammation.
To view the video “External Root Resorption #2 Viewed with the Perioscope”, go to:
http://www.youtube.com/watch?v=lkkd_xim0SE.
Case # 3: By: Dr. Robert Gottlieb and Suzanne Newkirk
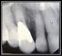
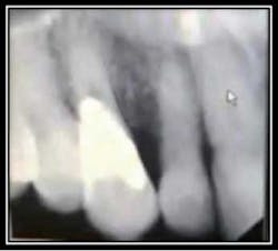
Radiographic Resorption:
Perioscopic view of external root resorption #15.Suggested Etiology: Impacted 3rd molar The below case identifies external root resorption which extends into the cementum and dentinal structures.
Pre-op radiograph #15
The above pictures identify the resorption. The interior of the resorption is quite hard and may be Reparative dentin, which is formed as a reaction to external stimulation.
Treatment for this type of defect may vary depending upon the extent of the resorption.
This case may be viewed at “External root resorption #15”:
http://www.youtube.com/watch?v=RVzJldSqdXI.
Treatment of Root Resorption by Dr. John Y. Kwan
The below pictures define an area of root resorption that clinically and radiographically exhibited pocketing and bone loss. The attached video link shows a microsurgical repair of root resorption with Geristore; a radiopaque, hybrid ionomer composite used for subgingival restorations.
Geristore repair
By Dr. John Y. Kwan The below photos and corresponding video link show a root resorption and Geristore repair of #25 lingual.
A probe defines the resorption
Retention grooves being placed for Geristore placement
To read articles in RDH eVillage FOCUS written by John Kwan and Suzanne Newkirk, click on Kwan and Newkirk.




















