The Perioscopy System, Part 3: Case studies by Dr. David Trylovich and Shelly Andreoli, RDH, and Dr. Morris Wasylenki and hygiene staff
By John Y. Kwan, DDS, and Suzanne Newkirk, RDH
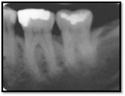
Case #3: Endoscopic Debridement and Arestin by Dr. David Trylovich and Shelly Andreoli, RDH
Case #3: Endoscopic Debridement and Arestin by Dr. David Trylovich and Shelly Andreoli, RDH
#26: 12mm MF and ML (above left); BOP, Class ll mobility (above right)
3 Years post treatment:
3 Years post treatment:
PD #26: 2mm M and F (above left), Great bone fill (above right)
David J. Trylovich, DDS, MS, is a practicing periodontist in Las Vegas since 1993 and is the director of the Las Vegas Dental Study Club. He is committed to having his hygienists use the Perioscope for all root planing since 2009.
Shelly Andreoli, RDH, graduated from the College of Southern Nevada in 1993 and has worked in the periodontal office of Dr. David Trylovich for 15 years. Shelly has been using the perioscope since 2003 and says "the perioscope has completely changed how I practice.”
Case #4: Perioscopy plus Emdogain by Dr. Morris Wasylenki and hygiene staff
Pre-treatment:
Case #4: Perioscopy plus Emdogain by Dr. Morris Wasylenki and hygiene staff
Pre-treatment:
Probing depths posterior and anterior teeth, 4 to 8mm
Note the severe vertical bone loss on the mesial of #'s 8-9
#19 presents with Class I furcation involvement
#18 presents with a mesial vertical defect and Class II furcation involvement
9 months Post-Treatment:
#18 presents with a mesial vertical defect and Class II furcation involvement
9 months Post-Treatment:
Probing depths posterior and anterior teeth 3-4mm
Note the bone fill on the vertical defects of #8-9 and 18 and 19
The furcation involvement in both molars has resolved
The furcation involvement in both molars has resolved
Morris Wasylenki, DDS, MS obtained a Master's Degree in Oral Biology and a Certificate in Periodontics from Northwestern University in 1990 and currently maintains a full-time private practice in Mansfield, Ohio.
Dr. Kwan is a board-certified periodontist and maintains a private practice providing periodontal and implant care in Oakland/Berkeley, Calif. He is an Associate Clinical Professor at the University of California, San Francisco School of Dentistry. Dr. Kwan is also the President/CEO of Perioscopy Incorporated.
Ms. Newkirk graduated from the University of Alaska, Anchorage, in 1981 and has dedicated the last 30 years to excellence in clinical dental hygiene and periodontics. Suzanne is a periodontal therapist, dental hygiene coach and mentor. She is also a Perioscopy instructor and speaker. Ms. Newkirk is a member of the American Dental Hygienists' Association and Washington State Dental Hygienists' Association.
















