Simple BruxGuard® fabrication
Heat, seat, and form
By Rachel Teel Wall; Photos by Dr. Chris Bowman, Charlotte, N.C.
According to the ADA, 95 percent of Americans experience bruxism at some point in their lives. Clinical observation confirms this statistic, and yet patient acceptance of protective and therapeutic bite-guards presents a unique challenge. Often, the signs of bruxism are subtle, and it can be difficult to get patients toacknowledge their tooth-grinding habits and the consequences. Sometimes, it may take a tooth fracture or severe, noticeable signs of wear for patients to take biteguard recommendations seriously.
The bottom line is to get each bruxing patient into a protective appliance before major damage occurs. Dentists, hygienists, and assistants have a huge impact on treatment enrollment. This presents the perfect opportunity to utilize intraoral cameras, patient-education videos, and bite-analysis tools. Sometimes, a simple mirror is all that is needed to show patients how their grinding habits are creating visible wear patterns.
It is our job as dental professionals to educate patients about their current condition and the multiple treatment options available. The traditional treatment using a lab-fabricated biteguard has proven to be very successful. There are, however, challenges associated with the cost and time required to prepare, fabricate, and deliver the guard. In addition, dentists frequently wait until all major restorations are complete before making a lab-fabricated guard. This lag time can result in damage to the existing restorations.
Introduced in 2003, Dental Concepts’ BruxGuard® is a quick and affordable chairside-treatment option used to prevent damage from tooth-grinding. It also provides immediate relief of bruxing-induced TMJ disorders. The patented combination of soft and hard materials produces a guard which is both durable and comfortable. As you will see in the following step-by-step fabrication guide, no impressions or plaster models are required.
As with all of the dental materials we use, specific instructions must be followed for the product to perform to its greatest potential. This outline will follow the fabrication process with step-by-step instructions. Having made hundreds of BruxGuards, I have included a few insider tips which will ensure the best final product.
Before making a BruxGuard, I suggest you create a BruxGuard fabrication kit and store all necessary materials together in one place. The kit should include the following:
- BruxGuard kits in small, medium, and large sizes
- Impression trays - one of each size
- Wooden spoon or cotton pliers
- Minute timer
- Boiler pot
- Bowl for cooling/setting water
- Surgical scissors
- Latex gloves
Step 1: Determine proper size
As previously mentioned, BruxGuard comes in three sizes: small, medium, and large. In the beginning, it helps to use standard impression trays to determine the proper size for the guard. Over time, most dental assistants and hygienists can look at a patient’s mouth to determine which size BruxGuard will fit.
- You may use standard impression trays to determine the proper size guard. A Size 1 tray is comparable to a small BruxGuard. Size 2 trays are equal to a medium, and Size 3 trays are the equivalent of a large.
Step 2: Examine the guard form
Look closely at the guard before beginning the fabrication. Notice there is a trough that runs through the central portion of the guard. Also notice the ridge that extends along the inner and outer edge of the guard form. Along the outer ridge, there is a small notch in the center. This notch will align with the maxillary central incisors. The teeth will fit into the trough, and the ridge will become the malleable material which will be formed around the teeth and the palate to create a custom fit.
- Review fitting instructions and examine the guard form before beginning the fabrication process.
Step 3: Educate patients
Give patients a step-by-step explanation of how the guard will be fabricated. Let them know their part in the process. Let them know the guard will be warm when it is placed in their mouth, and that you will need to work quickly to take full advantage of time before it cools.
- Give patients clear instructions on how they can assist you in making the best BruxGuard possible.
Step 4: Boil the BruxGuard
The next step is to heat the guard. This allows the thermoplastic liner material to become malleable, so it can be formed around the teeth and palate. Fill the heating appliance about half full with tap water. Turn the pot on high and bring water to a rolling boil. Allow guard to remain in the boiling water for 55 seconds. Don’t let the guard form touch the sides of the plastic pot. Use pliers to keep the guard in the center of the boiler pot and to remove it from the water. After 55 seconds in the boiling water, remove the guard.
- The water will boil faster if the lid is kept on the pot. Be careful when removing the lid.
- Heating the guard must take place in the same operatory where the patient is seated. This ensures maximum working time.
- After heating the guard, the operator has only one-to-two minutes of working time to complete the fabrication of the biteguard.
- The guard must remain in the boiling water for 55 seconds.
Step 5: Cool the BruxGuard
Immediately drop the guard into a bowl of water or rinse under running water. This step cools the guard to reduce its temperature before placing it in the patient’s mouth.
- Use lukewarm water to cool the guard. Using cold water greatly reduces working time.
- For best results use latex gloves when fitting the guard.
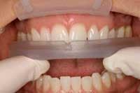
Step 6: Place guard in patient’s mouth
Place the heated guard in the patient’s mouth. Have patient bite with upper anterior teeth inside the trough, but just behind the outer ridge. Align the maxillary anterior teeth with the notch in the center of the ridge. Placing the teeth inside the ridge allows enough material to mold around the teeth to create a snug fit. If the arch is wider than normal, the sides of the guard can easily be pulled apart to match the width of the maxillary arch. After the guard is placed, have the patient bite down quickly.
- Have the patient bite on the outer edge of the trough. This ensures a snug fit without creating bulk at the front of the guard.
Step 7: Forming the ideal fit: outer surfaces
Immediately after the patient bites down, use your fingers to firmly push the clear material against the facial surfaces of the teeth and up toward the gums on both sides of the arch. Begin pushing around the molars and work toward the front of the mouth. During this step, the patient should be biting down and sucking in, using the tongue to push the soft material on the lingual surface up toward the palate.
- As the patient is biting, have him or her use the tongue to push the soft material up toward the palate.
Step 8: Forming an ideal fit: inner surfaces
Now have the patient open his or her mouth. Using your thumbs and forefingers, firmly pull the material from behind the front teeth and push into the roof of the mouth and back toward the soft palate. Do this around the entire arch. Next, pinch the material around the entire arch with your fingers. After you do this, have the patient bite and hold the BruxGuard in place for five seconds.
- Firmly press the soft material up and back across the palate with fingers. This ensures retention of the guard when it is worn.
Step 9: Removal and “setting” of BruxGuard
Instruct the patient to bite down firmly once again for a second or two. Remove the BruxGuard from the patient’s mouth and place in a bowl of very cold water for 30 seconds to set the guard. This allows the thermoplastics to harden and retain the exact impression of the mouth and teeth.
Step 10: Test for fit
Show the patient the new BruxGuard. Have the patient place the BruxGuard back in his or her mouth and close the mouth comfortably. If the guard has been made properly, it should remain on the patient’s upper arch when he or she opens and closes the mouth. The dentist may check the biting surface of the guard with articulating paper. The hard surface may be adjusted to create the desired occlusal pattern.
- Rinse the guard before placing in the mouth. The moisture will aid in retention of the guard.
- Each BruxGuard may be customized. The hard biting surface can be adjusted with an acrylic bur. The soft liner can be easily trimmed with scissors.
Following these instructions will help you easily create a customized biteguard. BruxGuard provides an effective solution for bruxing and clenching - no messy impressions or models to trim and no waiting for the patient. The process takes 10 minutes or less from start to finish, and the patient leaves the office with the BruxGuard in hand. This means immediate relief from grinding and an end to tooth destruction!
Special thanks to Mary Catherine Ellis, RDH, who modeled for the photographs.
Rachel Teel Wall, RDH, BS, is a national speaker and founder of Inspired Hygiene, a hygiene consulting company. She also is an active clinician in a cosmetic and comprehensive dental practice. Wall’s career includes 12 years of clinical practice in cosmetic dentistry and periodontics, and research and clinical teaching at the University of North Carolina. She can be reached at [email protected].










