Tips from the lab
By David French, Burbank Dental Laboratory
With all of the advances in dental restorative materials, have we outgrown metal-reinforced ceramics? As a lab, we have invested hundreds of thousands of dollars in incredible all-ceramic systems, so you can bet that we believe that there is a market for strong esthetic metal-free systems. On the operative side of the equation, there are new adhesive systems that provide predictable adhesion with greater and greater ease. The public is demanding metal-free, non-prep, brand name specific restorations, with very high expectations on esthetics and an assumption of permanence.
So in today’s realistic dental practice, is there a place for metal-reinforced restorations? The answer is a resounding YES! There are so many great options available today that solve most of the past concerns with porcelain fused to metal restorations. There are several metal-reinforced options that became available concurrently with the metal-free revolution. Your patients deserve metal-reinforced restorations when the clinical needs require. With materials and techniques available today, you do not have to sacrifice esthetics for predictability when metal reinforcement is indicated.
Problems associated with PFMs
- Opaque gingival 1/3 or more
- Gray to black shadow at the margin
- Overall color challenges
- Negative tissue problems
- Occlusal table opaque
- Abrasive porcelain systems
What improved options are available today?
The two specific systems that stand out are Captek and pressed to metal. Captek’s ability to deliver maximum esthetics with minimal prep and tissue response make it a perfect option for smaller bridge scenarios, while pressed to metal technology delivers a metal-free look in long span bridges and cases that require RPDs or attachments.
About Captek
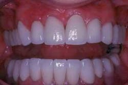
Captek addresses many of the age-old issues with porcelain fused to metal.With Captek, there are no more black lines! Captek eliminates gray oxide layer at the margins. Captek uses its unique patented bonding system to adhere the ceramic to the metal (see Image 1 Full Captek Restorations without porcelain margins).
Prep requirements - 1.2 to 1.5 axial and occlusal reduction.
Margin prep requirements - chamfer, shoulder, bevel, and feather edge (we recommend bevel and feather edge using a .5 millimeter metal margin).
Cementation techniques compatibilities - Any auto cure cementation system is compatible with Captek.
Captek’s limitations and contraindications:
- Not recommended for spans over two consecutive pontics.
- Not recommended for abutments used as anchors for partial, or attachments. Also, no metal occlusions.
Where does it work best?
- When you want the maximum esthetics, with minimal reduction.
- When avoiding adhesive dentistry is desirable.
- he above is even more an indication for Captek if you have bridges as part of the prescription.
- When 100 percent block out of compromised tooth color is desirable.
Pressed to metal
Dentistry has embraced pressed ceramics. Pressed ceramics launched an esthetic revolution. Pressed to metal takes pressed ceramic to a whole new level, truly yielding all of the benefits of both systems. Pressing to the opaqued metal allows for the capture of extended porcelain margins that are extremely accurate and as translucent as you want them to be. More advanced designs remove all metal from the facial with a metal frame embedded in the pontic and from the lingual. This is very esthetic, but must be bonded using a dual or auto cure resin.
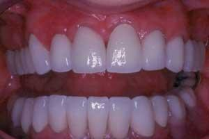
Compare a well-known metal-free bridge system above with pressed to metal below.
System improvements:
- Metal-free look especially at the marginal 1/3
- With “window margin” can be conventionally cemented.
Window margin design allows conventional cementation
Pressed to metal with full facial cut back
null
Prep requirements - 1.5-2 millimeters axial and occlusal reduction
Margin prep requirements - Heavy 1 millimeter chamfer
Cementation techniques compatibilities - Any auto cure cementation system is compatible.
Limitations and contraindications
- Heavy preparation is required.
Where does it work best?
- Great when you have combination of bridge and veneer cases as the bridge and veneers can be pressed out of the same material.
- When you need to have fixed and removable work together well in an esthetically demanding case. Allows for clasps to be used, rest seat can be developed, as well as any attachment that you could use with a conventional cast fixed case.
David French comes from a dental family and as such has been exposed to issues in dentistry for many years and from diverse perspectives. Since 1975, he has been a dental technician. His initial training began as an in-house technician for Dr. Archie French in Arcadia, Calif. He came to Burbank Dental Laboratory in 1996. He may be reached by e-mail at [email protected].






