Case report: Extraction/immediate implant placement with provisional, using the Ditron Ultimate Implant System
Clinical treatment by Robert J. Miller, DDS, and Technics Laboratory
Featuring Ditron Ultimate ImplantClinical case overview—
- Patient age/gender: 72-year-old male
- Chief complaint: Fracture of clinical crown tooth no. 10
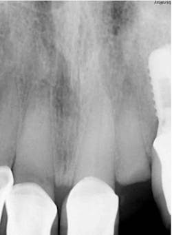
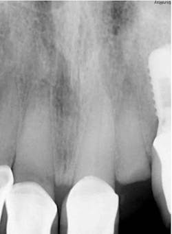
- Radiographic findings: Fractured lateral incisor with periapical pathology
- Clinical findings: Oblique fracture no. 10 to bone level
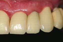
- Diagnosis: Unrestorable maxillary lateral incisor
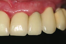
- Treatment plan: Extraction/immediate implant placement with nonfunctional provisional
Featured products—
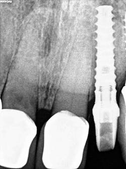
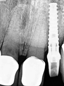
- Implant: Ditron Ultimate 3.75 x 16 mm
- Abutment: Final straight 11.5 mm titanium abutment delivered at time of implant placement
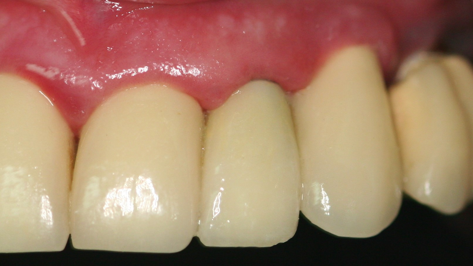
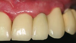
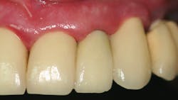
Treatment notes
Conclusion
The patient related to our office that he had absolutely no postoperative discomfort, no prosthesis complications, and was very impressed by the entire experience as he had a different outcome for his previous implant tooth replacements.Disclosures or conflicts of interest: Dr. Miller has a financial relationship with Ditron Dental USA. Products mentioned are used in the regular course of practice.
Editor’s note: This article first appeared in Through the Loupes newsletter, a publication of the Endeavor Business Media Dental Group. Read more articles and subscribe to Through the Loupes.Dr. Miller is a board-certified diplomate of the American Board of Oral Implantology, diplomate of the International Congress of Oral Implantologists, honored fellow of the American Academy of Implant Dentistry, fellow of the American College of Dentists and Academy of Osseointegration, and the acting chairman of the department of oral implantology at the Atlantic Coast Dental Research Clinic in Palm Beach, Florida. He is director of the Center for Advanced Aesthetic and Implant Dentistry in Delray Beach, Florida, and codirector of the Pacific Institute for Advanced Dental Education.
Dr. Miller has a full-time practice dedicated to Implant Dentistry and revision surgery and maintains an active international lecture schedule as well as being engaged in biomaterial, laser, and dental implant research.
About the Author

Robert J. Miller, DDS
Robert J. Miller, DDS, received his B.A. from New York University and M.A. from Hofstra University, both in biology. He graduated with honors from New York University College of Dentistry in 1981, where he received the International College of Dentists Award for clinical excellence and then completed his residency at Flushing Medical Center in New York City.
Dr. Miller is a board-certified diplomate of the American Board of Oral Implantology, diplomate of the International Congress of Oral Implantologists, honored fellow of the American Academy of Implant Dentistry, fellow of the American College of Dentists and Academy of Osseointegration, and the acting chairman of the department of oral implantology at the Atlantic Coast Dental Research Clinic in Palm Beach, Florida. He is director of the Center for Advanced Aesthetic and Implant Dentistry in Delray Beach, Florida, and codirector of the Pacific Institute for Advanced Dental Education.
Dr. Miller has a full-time practice dedicated to Implant Dentistry and revision surgery and maintains an active international lecture schedule as well as being engaged in biomaterial, laser, and dental implant research.









