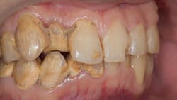
Calculus bridge: Do your patients know the risks?
Dental pros may know the prevalence of periodontal disease and how its presence increases the risk of patients developing myriad oral and oral-systemic problems. Among those issues is calculus bridge—a buildup of calculus to an extent that it creates a “bridge” across adjacent teeth. In more severe cases, it can spread into the gumline or up along the surface of the teeth.
Fortunately, both calculus and calculus bridges are preventable. “Calculus bridge: What you need to know” in Forbes Health breaks down the causes, side effects, and treatments to share with your patients—before they need extensive dental treatment.
