Pathology case: It just takes one medication to delay dental treatment
Editor's note: Originally published in 2016. Updated April 11, 2024.
Case presentation
A 64-year-old female presents for her scaling and root planing (SRP) appointment. Prior to commencing with care, she expressed concern over some lesions in her mouth that had developed over the course of the last few weeks after her last SRP appointment—sores that had only progressively gotten bigger. She stated that eating and drinking were difficult.
Clinical assessment
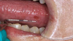
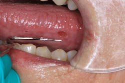
Clinical assessment revealed overall red, inflamed tissue throughout the oral cavity. Most notably present were large, ulcerlike lesions on the right and left lateral borders of the tongue (figures 1 and 2). The edges were well-defined and the red center slightly concave and very tender to palpation. Further, the vestibular tissue, upon the slightest touch, sloughed and hemorrhaged easily. Angular cheilitis was observed, and opening was painful (figure 3).
Health history
To better understand, here is the patient’s history ...
Prior to the patient's recare appointment, which was 1.5 months ago, it had been almost two years since she had been seen. During this hiatus, she had a heart attack and stroke. She has a history of hepatitis C, for which she has been on the liver transplant list. Her list of medications include furosemide (blood pressure/diuretic), escitalopram (depression), ursodiol (gallstones), omeprazole (GERD, heartburn), baclofen (muscle relaxant), spironolactone (blood pressure, diuretic), bupropion (depression), potassium (urinary), trazodone (depression), gabapentin (antseizure), lactulose (laxative), and estradiol (hormone). Just three weeks prior to this scaling and root planing, she began the medication Harvoni, a drug used to treat chronic hepatitis C.
Treatment and discussion
The patient was referred to an oral surgeon where an in-depth discussion took place regarding her medical history. As mentioned previously, this patient had a history of hepatitis C, for which she has been on the liver transplant list. She had begun taking the medication Harvoni, a drug used to treat chronic hepatitis C, just three weeks prior to the SRP appointment before the lesions had appeared.
The patient’s laundry list of medications was enough to induce her dry mouth, which alone put her at risk for oral lesions. However, the presence of these lesions in tandem with the chronic hepatitis C medication was too convenient. One of the side effects of Harvoni is oral lesions, and in this case—in conjunction with her dry mouth—those lesions were exacerbated. Since this medication was mandatory (for three months), the only treatment is palliative.
The patient was given a prescription of magic mouthwash, which is a common solution given to patients who are suffering from mucositis (very common with cancer patients). Magic mouthwash typically consists of three ingredients mixed in equal proportions (1:1:1): 2% lidocaine viscous solution, an antihistamine (i.e., Benadryl), and an antacid (Maalox). The oral surgeon discussed his findings with the patient’s infectious disease doctor, who concurred with the assessment and recommended care.
All invasive procedures—scaling and root planing, operative, etc.— have been postponed until the patient’s symptoms clear up. She was given detailed home-care instructions with regard to her oral health and will be followed up on as needed.
Take-home point
The take-home point with this case is to ensure that health history and medication lists are complete, accurate and reviewed every time a patient walks through the office door. Oftentimes we neglect to ask, especially if we see the patient frequently. In this particular case, the addition of one medication set the stage for a three-month battle of mucositis and delayed dental treatment.
About the Author
Stacey L. Gividen, DDS
Stacey L. Gividen, DDS, a graduate of Marquette University School of Dentistry, is in private practice in Montana. She is a guest lecturer at the University of Montana in the Anatomy and Physiology Department. Dr. Gividen has contributed to DentistryIQ, Perio-Implant Advisory, and Dental Economics. You may contact her at [email protected].






