Dr. Stacey Simmons has a plaque in her office that says: “If you ignore them, they will go away.” When patients come in and expect a miracle but have limited finances, fears, and other barriers, is there a secret to keeping them on board with proposed dental treatment?
This article first appeared in the newsletter, DE's Breakthrough Clinical with Stacey Simmons, DDS. Subscribe here.
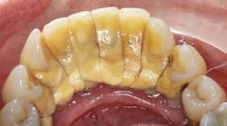
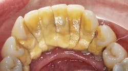
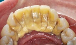
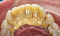
I have this plaque (no pun intended) hanging in my office: “If you ignore them, they will go away.” So, when this 57-year-old woman told me that it had been 40 years since she’d seen a dentist, I absolutely believed her. Her chief complaint: My teeth are moving. She has 70% to 90% generalized bone loss with severe mobility, and she wants a miracle. The catch? Her finances are limited.
This scenario, while extreme, is something that we all encounter daily. I understand that there are reasons why people don’t go to the dentist—they’re scared, it’s expensive, "nothing hurts," etc., but when they come in and expect a miracle from us, a tirade of emotions arises that can either propel their care in the right direction or find them never walking through the door again.
Is there a secret to keeping people in situations like this on board with proposed dental treatment? What do you do? How do you counter those dental fears and other barriers?
This month we will explore the world of opioid abuse and addiction. As prescription drug writers, we are in a unique position to either enable this addiction or be a part of the solution.
Oral cancer and human papillomavirus (HPV): It’s out there and we need to know the 101 on it, from prevention to treatment. Simply by doing our job, we can save a life.
Dr. Kevin Connor has his answer to last month’s pathology case. This is a really fascinating diagnosis and follow-up to his initial presentation. It shows the importance of working together collectively with our colleagues across the entire medical profession.
Happy spring, everyone, and cheers!
Stacey L. Simmons, DDS
Editorial Director, DE’s Breakthrough Clinical with Stacey Simmons, DDS
This article first appeared in the newsletter, DE's Breakthrough Clinical with Stacey Simmons, DDS. Subscribe here.
LAST MONTH . . . 'I want to sue you because I neglected my teeth'
For more articles about clinical dentistry, click here.
For the most current dental headlines, click here.
About the Author
Stacey L. Simmons, DDS
Editorial Director of DE's Breakthrough Clinical e-newsletter
Dr. Stacey Simmons grew up in Hamilton, Montana. She did part of her undergraduate work at Purdue University and then received her bachelor’s degree in exercise physiology from the University of Utah. After applying to both medical and dental school, she decided that dentistry was her career of choice. She received her DDS degree from Marquette University School of Dentistry in Milwaukee, Wisconsin, in 2004. In private practice, she focuses her care on prosthodontics and cosmetic dentistry. She is a guest lecturer in the Anatomy and Physiology Department at the University of Montana. Outside the office, she trains for triathlons and spends time with her family. You may contact Dr. Simmons by email at [email protected].
In 2015, Dr. Simmons became the editorial director of DE's Breakthrough Clinical with Stacey Simmons, DDS, an e-newsletter focused on breaking through plateaus in clinical practice. Subscription information may be found here.
Updated May 4, 2016





