Detecting cement in the peri-implant sulcus
By Valerie Sternberg Smith, RDH, BSImplant restorations can be either screw-retained or cement-retained. Cement-retained restorations are much like traditional crown and bridge techniques. When the crown margin is deep within the peri-implant crevice, cement removal can prove difficult.It can be beneficial to recall the patient about a month after cementation and check for clinical signs of inflammation around the newly seated restoration. The clinician should note any redness, bleeding, or suppuration after palpation or probing. If early signs of inflammation are noted, the inflammation may be contained in the soft tissues and not negatively affect the bone. As long as the cement used to retain the crown is radiopaque, parallel periapical radiographs can be a useful tool when identifying retained cement.1Cement removal can be challenging. In some cases, the cement can be removed by debridement with curettes or Slimline ultrasonic tips. A follow-up radiograph should be taken to determine that complete cement removal was accomplished. In some cases, open flap debridement is necessary for complete cement removal. Retained cement around an implant can lead to peri-implantitis, and in some cases implant failure.2
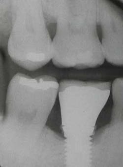
Fig. 1: Radiograph retained cement causing peri-implantitis.
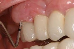
Fig. 2: Clinical probing showing suppuration around the implant-supported crown.
Fig. 3: After using Slimline ultrasonic, cement is removed.
Fig. 4: Probing around implant-supported crown reveals depth and suppuration.
Fig. 5: Surgical intervention revealed retained cement.
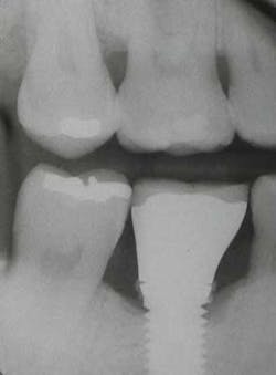
Fig. 6: Radiograph reveals retained cement.
Fig. 7: Surgical intervention to remove retained cement.Author bioValerie Sternberg Smith, RDH, BS, has been a dental hygienist and surgical assistant in a practice limited to periodontics and implant surgery since 1984. She is on faculty in the Ashman Department of Periodontology and Implant Dentistry at New York University, College of Dentistry. She is a full member of the Academy of Osseointegration. She has sat on the editorial review board for the Journal of Practical Hygiene, and has been on the “Ask the Expert” Panel for Dimensions of Dental Hygiene. Valerie has lectured, published, and researched on the topic of preventive care for dental implants. References1. Wadhwani C et al. A descriptive study of the radiographic density of implant restorative cements. J Prosthet Dent. May 2010; 103(5):295-303. 2. Gapski R et al. Endosseous implant failure influenced by crown cementation: a clinical case report. Int J Oral Maxillofac Implants. 2008; 23:943-946.







